Neurologiska symtom vid endoskopi
När luft får tillträde till blodbanan kan följden bli embolisering. En fruktad sådan är cerebral luftembolisering med åtföljande infarkt. Endoskopi, särskilt interventionell sådan, är exempel på en åtgärd som kan orsaka luftembolisering. Ett fåtal fall av cerebral luftembolisering har rapporterats i samband med endoskopi. Sannolikt finns en underdiagnostik och därmed underrapportering, då luftembolisering kan orsaka allt från subtila svårtolkade neurologiska symtom till plötslig död. Snabb diagnostik och behandling kan vara skillnaden mellan en frisk patient och en patient med neurologiska restsymtom eller i värsta fall att patienten avlider. Det är därför viktigt att alla som utför endoskopiska undersökningar har kännedom om denna komplikation. Vi beskriver här det första kända fallet av cerebral luftembolisering under gastroskopi i Sverige och ger förslag till diagnostik och behandling.
Fallbeskrivning
På grund av sjuklig fetma (vikt 151 kg, längd 175 cm, BMI 49,3) genomgick en i övrigt frisk kvinna vid 38 års ålder gastrisk bypass-operation (Figur 1). Postoperativt mådde patienten väl och gick ner till sin idealvi kt (69 kg, BMI 22,5). Två år efter operationen utvecklade hon en järnbristanemi som var refraktär för oral järnsubstitution, och hon fick därför upprepade järninfusioner. Under året som följde tillstötte alltför tidig mättnadskänsla och kräkningar.
I svalganestesi och vaket tillstånd genomfördes övre gastrointestinal endoskopi, vid vilken man fann att den gastrojejunala övergången var mycket trång. Detta medförde svårigheter att få en ledare på plats. När väl ledaren var på plats genomfördes ballongdilatation till 12 mm under 60 sekunder.
När dilatationen var klar och endoskopet drogs tillbaka ulkade patienten kraftigt och blev omedelbart cyanotisk och kraftigt medvetandesänkt (RLS [Reaction Level Scale] 3–4) med blickdeviation åt höger.
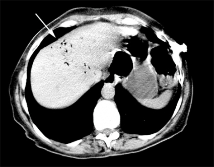
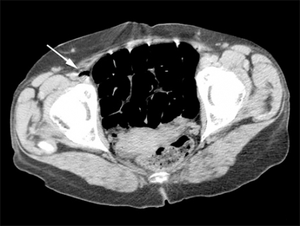
Patienten hade en grymtande spontanandning, vilken förbättrades genom extension i nacken. Patienten låg i vänster sidoläge, tippades i Trendelenburgläge och fick 10 liter syrgas på mask. I enlighet med våra rutiner vid plötslig medvetslöshet utlöstes hjärtlarm, och kardiolog och intensivvårdsteam anlände. Datortomografi (DT) av skallen genomföres under frågeställningen blödning, av torax under frågeställningen aspiration och av buken under frågeställningen fri gas. I det preliminära röntgenutlåtandet sågs rikligt med gas i tarmlumen och även intrahepatisk gas, sannolikt belägen i gallvägarna (Figur 2). Ingen cerebral infarkt eller blödning noterades. Patienten fördes till neurointensivvårdsavdelning och undersöktes av neurolog, som primärt misstänkte status epilepticus, men akut elektroencefalografi visade ingen epileptisk aktivitet.
Vid litteratursökning senare samma dag återfanns ett mycket snarlikt fall av cerebral luftembolisering [1]. DT-undersökningarna granskades på nytt. Som tidigare nämnts fanns luft intrahepatiskt, men den här gången noterades luft även i vena femoralis på höger sida (Figur 2) samt i mindre kärl i glutealregionen på höger sida och i båda sidors ovarikakärl. Misstanke fanns även om luft i mesenterialkärlen. På DT av skallen återfanns intrakraniellt belägen luft i flera kärl, främst parietooccipitalt på vänster sida (Figur 3) men även högt frontalt bilateralt.
Patienten intuberades, ventilerades med 100 procent syre och fördes till Rigshospitalet i Köpenhamn för hyperbar oxygenbehandling. Under transporten blev patienten cirkulatoriskt instabil, vilket krävde en hel del vätska och initialt också inotropt stöd. De danska kollegorna initierade behandling för att täcka eventuell sepsis.
Transtorakal ultraljudsundersökning av hjärtat visade ingen septumdefekt, och ejektionsfraktionen var normal. På EKG fanns ett högersidigt skänkelblock, men i övrigt var det invändningsfritt. Efter stabilisering, 16 timmar efter gastroskopin, initierades hyperbar oxygenbehandling enligt US Navy tabell 6 under 4 timmar och 45 minuter, varefter patienten fördes till intensivvårdsavdelning.
Dagen efter genomfördes extubation, och patienten vaknade successivt upp. Även transesofageal ultraljudsundersökning av hjärtat var invändningsfri. På tredje dagen återfördes patienten somnolent och med högersidig homonym hemianopsi, total högersidig svaghet och svaghet i vänster ben. Efter ytterligare två dygn försvann hemianopsin och den vänstersidiga svagheten, även rörelseförmågan i högersidan återkom delvis.
Vid 3-månaderskontrollen, efter aktiv rehabilitering, var patienten utan syndefekt och gick utan stöd men hon noterade fortfarade svaghet i höger arm och en lätt svaghet i höger ben. Anastomoskontrollen visade vidd på 9 mm, och patienten försörjde sig väl. Vid 1-årskontrollen gick patienten obehindrat men hade svårt med högerhandens finmotorik.
Ytterligare ett år senare återkom järnbristanemin. Orsaken visade sig vara mycket rikliga menstruationer, vilka upphörde efter insättning av hormonspiral. Patientens blod- och järnvärden höll sig sedan inom normalområdena. Sväljningssvårigheterna återkom tyvärr, och röntgen med kontrast visade kraftig striktur i gastrojejunala övergången (Figur 1). Denna gång genomfördes dilatation vägledd av genomlysning och utan luftinsufflation. Patienten klarade dilatationen väl och hade inga kräkningsbekymmer. Patienten är nu så pass återställd att hon återgått på deltid till arbetet som städerska.
Råd vid cerebrala symtom vid endoskopi
Enligt läroboken orsakar gasembolisering cyanos, »mill-wheel«-blåsljud, ökat centralt ventryck, arteriell hypotension, takykardi, synkope samt respirations- och cirkulationssvikt [2]. (Något som sannolikt inte noteras, då det är extremt sällsynt, är Liebermeisters tecken, vilket sägs vara patognomont och innebär en blå eller blek tunga sekundärt till embolisering till lingualartären [3]. Ovan beskrivna patient hade onekligen en blå tunga, men i en situation där en patient plötsligt blir dålig och har grymtande andning är kausaliteten inte helt klar.) Om man hör blåsljudet är det typiskt och gör diagnosen tämligen klar. Övriga fynd är mer ospecifika delar av en elak symtomspiral med många alternativa orsaker. Man kan kort säga att om cerebrala symtom med eller utan hjärtarytmi uppträder under endoskopi ska luftembolisering misstänkas [4]. En förenklad algoritm för handläggning presenteras i Figur 4.
Om patienten får akuta neurologiska symtom under endoskopi och ligger i vänster sidoläge kan det teoretiskt vara en fördel att ha kvar patienten i detta läge, då gas flyttas mot apex, bort från trikuspidalklaffarna [5]. Då luft i blod söker sig uppåt ska patienten tippas i Trendelenburgläge, vilket minskar risken för cerebralt lufttillträde [6]. Tillkalla narkosläkare skyndsamt.
För att påskynda diffusionen och utvädringen av inert gas (kväve), och därmed minska den totala kvävgasvolymen i blodet, ska patienten ha minst 10 liter syrgas på mask. Möjligheten finns då att små bubblor i cirkulationen inte förenas till stora obstruktionsgivande bubblor, utan i stället minskar ytterligare i storlek och kan försvinna med ventilationen. Vidare ger syrgasbehandling bättre oxygenering av randområdet till det drabbade området. Om luftvägarna inte med en enkel manöver blir fria ska patienten intuberas.
God cirkulation är viktig för att säkerställa adekvat perfusionstryck i och omkring ett drabbat område, varför vätskebehandling ska initieras. Man ska dock inte använda glukoslösning, då risken för tilltagande cerebralt ödem sannolikt ökar.
Patienten ska skyndsamt genomgå DT av skallen med specifik fråga om luft intracerebralt. DT av torax kan vara till hjälp då eventuell intravasal eller intrakardiell gas kan visualiseras. Även DT av buken kan vara av värde då man får en uppfattning om mängden intravasal luft och även kan utesluta en samtidig perforation. Andra metoder för diagnostik av luftembolisering är transesofageal ekokardiografi, transtorakalt ultraljud eller ögonbottenundersökning. Vid intrakardiell luft har hjärtpunktion eller aspiration av luft från befintlig central venkateter beskrivits [4].
När cerebral luftembolisering diagnostiserats ska patienten genast transporteras till tryckkammare. Grunden för hyperbar syrgasbehandling (HBO2) har sammanfattats av Wherrett et al [3] och innebär för det första att ökat partialtryck minskar bubbelstorleken enligt Boyles lag (P1 × V1= P2 × V2). Ju mindre bubbla, desto mindre »främmande kropp« och därmed minskad endotelskada. För det andra ger den minskade bubbelstorleken en proportionell ökning av bubblans ytarea jämfört med dess volym, vilket ger en snabbare resorption av kvävgas. Processen snabbas också på av en ökad kvävgaslöslighet. För det tredje ger en hög nivå av löslig syrgas bättre oxygenering av nervvävnad i randzonen (den ischemiska penumbran), och för det fjärde kan HBO2-behandling möjligen minska det postischemiska cerebrala ödemet.
Trombosprofylax med lågmolekylärt heparin är sannolikt av värde, då intravasal luft ger endotelskador och därmed ökad trombostendens, vilket också visats i djurstudier [7]. Om patienten efter den akuta fasen har kvarvarande neurologiska symtom kvarstår ett digert arbete med rehabilitering och om möjligt successiv återgång till arbete.
Diskussion
Gastrointestinala endoskopiska undersökningar utförs på skilda frågeställningar och ofta på vida indikationer. Att genomgå gastrointestinal endoskopi är inte riskfritt. I en engelsk studie som inbegrep 13 036 diagnostiska gastroskopier dog 104 patienter, vilket ger en 30-dagarsmortalitet på 1/2 000 undersökta patienter. Av de 774 patienter som genomgick övre gastrointestinal endoskopisk dilatation dog 8, vilket ger en mortalitet på 1/100 [8].
Cerebral gasembolisering vid gastrointestinal endoskopi beskrevs första gången år 1988 och drabbade en 4 månader gammal flicka som genomgått Kasais procedur (hepatoportoenterostomi). Flickan dog och obduktionen bekräftade diagnosen [9]. Sedan dess har tillståndet beskrivits under endoskopi av patienter med olika underliggande sjukdomar (Tabell I), dock inte som ovan efter överviktskirurgi.
Vid gastrointestinal intraluminal endoskopi har cerebral luftembolisering uppstått med eller utan intervention efter esofagogastroduodenoskopi [10] och endoskopisk retrograd kolangiografi [11]. Under koloskopi har fall av intravasal gas konstaterats, liksom luftembolisering till ryggmärgen med efterföljande neurologiska symtom [12]. Något fall av cerebral luftembolisering relaterat till koloskopi har vi dock inte funnit.
Förutsättningen för luftembolisering är att lufttrycket överstiger ventrycket, antingen på grund av negativt ventryck som gör att luft sugs in eller genom att lufttrycket överstiger ett positivt ventryck och luften därmed pressas in. Luftflödet och lufttrycket vid insufflation vid gastroskopi är högt [13]. För att orsaka ett signifikant luft-till-ven-tillträde anses det behövas en större öppetstående ven, alternativt en rå yta med blottad kapillärbädd. Biliovenös shunt har också beskrivits vid obduktion [14].
En förutsättning för cerebral luftembolisering vid endoskopi är enligt många en öppetstående hjärtseptumdefekt, som leder till en så kallad paradoxal embolisering. I vissa fall är septumdefekten öppen bara vid Valsalvas manöver (som vid den beskrivna ulkningen hos patienten i fallbeskrivningen i samband med att endoskopet drogs ut). Obduktion efter cerebral luftembolisering har dock visat att hjärtseptumdefekt inte är nödvändig för att tillståndet ska uppstå [15]. Passage av venös luft till artärsidan har föreslagits kunna ske vid stor venös luftbelastning och kapillär passage av mikrobubblor som återförenas på artärsidan, alternativt via prepulmonell arteriovenös shuntning [16, 17].
Medvetenhet om cerebral luftembolisering som komplikation till gastrointestinal endoskopi, speciellt interventionell sådan, ger en mental beredskap. Vi hoppas att vår fallbeskrivning och våra råd kan bidra till att ge snabb diagnos och behandling om ytterligare patienter drabbas av denna ovanliga och allvarliga komplikation.
*
Potentiella bindningar eller jävsförhållanden: Inga uppgivna.








