Gå till innehållet
Gå till startsidan

Denna webbplats vänder sig till läkare

Sök

Neurosarkoi­dos – inflammation som drabbar nervsystemet

Diagnostik och behandling av en mångfasetterad sjukdom

Läs artikel som pdf

Sarkoidos är en multisystemisk, immunmedierad granulomatös inflammation som uppstår som svar på ännu ej identifierade antigener. Sjukdomen beskrevs första gången 1879 av Jonathan Hutchinson. Den drabbar vanligtvis lungorna (95 procent av fallen), men kan också angripa andra organ såsom hud, leder, ögon, skelett, lever och hjärta. I 5–10 procent av fal­len drabbar sarkoidos nervsystemet, vilket kallas neurosarkoidos. I de flesta fall av neurosarkoidos finns det tecken på systemisk sarkoidos, då nervsystemet drabbas sekundärt, men isolerad neurosarkoidos, som enbart drabbar nervsystemet, förekommer också [1].

Sarkoidos är vanlig i Skandinavien, med en incidens på 11–24/100 000 invånare [2, 3]. Neurosarkoidos är däremot ovanlig, med en incidens på 1–2/100 000 vid samtidigt multiorganengagemang. Incidensen av isolerad neurosarkoidos beräknas till mindre än 0,2/100 000 [4]. Sjukdomen drabbar kvinnor i högre utsträckning än män, och debutåldern är vanligen mellan 50 och 70 år [3]. HLA-typning kan ge information om förloppet vid sarkoidos. HLA-DRB1*14 och HLA-DRB1*15 är associerade med kronisk sjukdom och extra­pulmonella organmanifestationer. Förekomsten av HLA-DRB1*03 vid sarkoidos indikerar däremot en god prognos [1, 5]. Syskon till en patient med sarkoidos löper 2–5 gånger högre risk att drabbas av sjukdomen, och risken är betydligt högre för tvillingar. Sjukdomsfenotypen hos syskonen kan vara helt olika [6].

Typiskt för sarkoidos är förekomst av icke-nekrotiserande granulom i de organ som drabbas, men upp till en tredjedel av granulomen kan visa central ne­kros. Detta kan försvåra särskiljandet av de patologiska fynden från tuberkulos, som bildar granulom med central nekrotisering [7]. Det paradoxala i immunologin vid sarkoidos är den perifera anergin, vilket innebär uteblivet immunologiskt svar vid tuberkulintest (PPD) hos sarkoidospatienter. Detta står i kontrast till den överdrivna immunreaktionen i de drabbade organen [8].

Vid sarkoidos uppstår granulomatös inflammation som svar på ett ännu okänt antigen som presenteras för lymfocyterna av HLA-molekyler på antigenpresenterande celler, det vill säga dendritiska celler, makrofager och B-celler. Detta sätter igång en specifik Th1-dominerad immunrespons, som leder till en anhopning av epiteloida celler som är derivat av differentierade makrofager. Epiteloida celler bildar typiska flerkärniga jätteceller, som tillsammans utgör granulom. Det typiska för granulomen är att de omges av en tunn, perifer randzon av lymfocyter och plasmaceller. T-regulatoriska celler och dämpande cytokiner, som normalt motverkar den kraftiga immunreaktionen, har visat sig ha nedsatt funktion vid sarkoidos. Under den inflammatoriska processen frisätts också en rad cytokiner (TNF-alfa, interferon-delta, IL-1, IL-6 och IL-17) som är delaktiga i granulombildningen. Slutstadiet av den inflammatoriska processen är fibrosbildning [8].

Sjukdomen betraktas som autoimmunt betingad och uppkommer som resultat av en interaktion mellan okända miljöfaktorer och genetisk sårbarhet [9]. År 2018 uppdaterade Neurosarcoidosis Consortium Consensus Group de kliniska kriterierna för neurosarkoidos (Fakta 1) [10].

Kliniska manifestationer

Neurologiska symtom vid neurosarkoidos kan vara mycket varierande, beroende på vilken eller vilka delar av nervsystemet som drabbas och i vilken grad den inflammatoriska processen påverkar dessa. Kranialnervspåverkan är det vanligaste symtomet vid neuro­sarkoidos. Vid inflammation i hjärnparenkymet ses kramper och fokala motorik- eller känselnedsättningar. Engagemang av hypofys/hypotalamus och ryggmärgen förekommer i mindre utsträckning, och myopati är sällsynt. Personlighetsförändringar och kognitiva och psykiska symtom har beskrivits. Insjuknandet vid neurosarkoidos är vanligtvis subakut. Ibland kan förloppet vara utdraget och föregås av feber, nattsvettningar, hosta och trötthet innan de neuro­logiska symtomen uppträder. I 50 procent av fallen finns tecken till multisystemengagemang vid insjuknandet [11].

Centrala nervsystemet (CNS)

Kranialnerver. Samtliga kranialnerver kan drabbas, antigen som mononeuropatier eller multipla neuropatier. Vanligast är recidiverande facialispares (30–40 procent), optikusneuropati med synpåverkan samt vestibulocochlearisneuropati [6, 12].

Leptomeninger (pia mater och araknoidea, som tillsammans kallas mjuka hjärnhinnor). Leptomeningealt engagemang är vanligt före­kommande vid neuro­sarkoidos (75 procent) och brukar angripa skallbasen och ibland även ryggmärgen. Detta leder till kronisk meningit med huvudvärk. Vid svårare former, och över tid, kan processen leda till utveckling av hydrocefalus [6]. Både MR och likvor visar en inflammatorisk bild. Leptomeningit är den mest aggressiva formen av neurosarkoidos, varför det är viktigt att man påbörjar behandling så snart som utredningen är avslutad. Paky­meningit, som är mindre vanlig vid neurosarkoidos, innebär en diffus eller lokaliserad förtjockning av dura mater (hjärnans skyddshinna), med bland annat huvudvärk som ett vanligt symtom. Pakymeningit kan också uppkomma i samband med infektioner, tumörer och andra systemsjukdomar, vilket är viktigt att ha i åtanke vid utredningen [13]. 

Hypofys/hypotalamus/hjärnparenkym. Engagemang av hypofys, hypotalamus eller hjärnparenkym förekommer i 10–25 procent av fallen med neurosarkoidos. Patienterna insjuknar med progredierande symtom på hypofyssvikt, såsom diabetes insipidus, hypotyreos, kortisolbrist och andra hormonrelaterade störningar [14]. De neurologiska symtomen utgör bland annat huvudvärk, dubbelseende samt bitemporalt synfältsbortfall vid påverkan på chiasma. Engagemang av hypo­talamus är ovanligare; symtomen är mer diffusa och kan förorsaka trötthet, problem med temperaturreglering, törst och apati [14]. Neurosarkoidos i hjärnparenkymet ger upphov till fokala neurologiska symtom, såsom pareser, nedsatt känsel, talpåverkan, epilepsi och koordinationssvårigheter.

Blodkärlsengagemang (stroke och vaskulit). Vid ischemisk stroke hos patienter utan kända riskfaktorer bör neurosarkoidos beaktas som en möjlig orsak, särskilt om hjärtsarkoidos förekommer. Inflammationen i de mindre perforerande artärerna eller venerna i hjärnan leder till mikroblödningar [15].

Ryggmärgen. Ryggmärgen kan angripas av sjukdomen både i anslutning till leptomeningit i hjärnan och genom isolerad granulomatös inflammation (myelit), oftast i bröstryggen. Sjukdomen kan ge upphov till olika former av myelopati med sensoriska eller motoriska symtom, torakal radikulopati med subjektiv känsla av smärtsamt band över bröstkorgen eller progressiv ryggmärgsatrofi. Långtidsprognosen är avhängig av symtomens svårighetgrad vid insjuknandet [13, 16].

Perifera nervsystemet 

Perifert nervengagemang förekommer i 17 procent av fallen [17]. Grovnervfiberpåverkan, som leder till distal sensorimotorisk axonal polyneuropati, är vanligast. Även Guillain–Barrés syndrom och kronisk inflammatorisk demyeliniserande polyneuropati (CIDP) har beskrivits [18]. Tunnfiberneuropati vid systemisk sarkoidos är vanligare (32–44 procent) och kännetecknas av brännande smärta, domningar i händer och fötter samt dysautonomi [18]. 

Myopati

Myopati vid sarkoidos är sällsynt (1,4–2,3 procent) [19]. Två typer av myopati förekommer: en form med proximal svaghet, förhöjda CK-värden och typiska EMG-förändringar, samt en nodulär variant med smärta och palpabla noduli, utan svaghet eller EMG-förändringar. Myositliknande tillstånd har också rapporterats [20].

Diagnostik och utredning

Det är viktigt att man i sin utredning försöker påvisa extraneuronal sarkoidos, särskilt genom att fokusera på de organ där sjukdomen är vanligast, det vill säga lungorna. Om extraneuronalt engagemang påvisas bör biopsi först och främst tas från dessa organ för att bekräfta diagnosen. I de fall där man inte finner engagemang utanför nervsystemet utförs biopsi vid misstänkt neurosarkoidos endast när risken för mortalitet och morbiditet bedöms vara låg. Falskt negativa resultat (30–40 procent) förekommer ofta vid hjärnbiopsi [21]. Biopsi tas i princip aldrig från ryggmärgen och mycket sällan från hjärnstammen. I praktiken kvarstår ett omfattande och detaljerat utredningsarbete, särskilt med tanke på de differentialdiagnoser som kan härma neurosarkoidos (Fakta 2). Utredning och diagnostik av neurosarkoidos bör ske på eller under ledning av specialiserad neurologisk enhet med erfarenhet av tillståndet. 

Serumprov

Serumprov tas främst för att utesluta infektioner eller andra autoimmuna sjukdomar som kan utgöra differentialdiagnoser till neurosarkoidos. En genomgång av serummarkörer för neurosarkoidos visade att angiotensinkonvertas (ACE), lysozym och gammaglobuliner hade hög specificitet, medan löslig interleukin-2-receptor (sIL-2R), serum­amyloid A (SAA), CRP och kitotriosidas visade hög sensitivitet för systemisk sarkoidos [22]. Hyperkalcemi förekommer hos 6 procent av patienter med systemisk sarkoidos [23]. Det finns inga data vad gäller förekomst av hyperkalcemi vid neurosarkoidos.

Likvordiagnostik

Undersökning av cerebrospinalvätskan (CSV) eller likvor är av betydelse för att påvisa inflammatorisk aktivitet i CNS, såsom lätt till måttlig lymfocytär pleocytos, förhöjd proteinhalt och ett ökat IgG-index. Oligoklonala band förekommer i 25–30 procent av fallen vid neurosarkoidos. Ju mer utbredda förändringar som syns på MR, desto större är sannolikheten för att hitta inflammatoriska tecken i likvor. En CD4/CD8-kvot >5 i likvor, i kombination med pleocytos, kan ge stöd för diagnosen neurosarkoidos [24, 25]. CSV-ACE och dess diagnostiska värde har varit föremål för omfattande diskussioner. En positiv korrelation mellan ACE och proteinnivåer i likvor har observerats [13, 26]. CSV-ACE har dock låg sensitivitet (24–55 procent) och kan också vara förhöjt vid tumörer och infektioner i CNS [27]. En genomgång av två stora patientserier visade en hög specificitet (94–95 procent) för neuro­sarkoidos, varför ett förhöjt värde i kombination med ovanstående fynd kan ge ytterligare stöd för diagnosen [28-30]. sIL-2 kan vara förhöjt vid neurosarkoidos, men även vid andra inflammatoriska tillstånd [31]. Vid enstaka kranialnervspåverkan kan likvor vara normal.

Magnetkameraundersökning

Vid misstanke om neurosarkoidos är det viktigt att utföra en MR-undersökning av hela CNS, det vill säga både hjärnan och ryggmärgen. Dessutom bör MR alltid göras med kontrast. Leptomeningeal uppladdning, både diffus och nodulär i skallbasen, är det vanligaste MR-fyndet (T1-viktad sekvens) vid neurosarkoidos, med en förekomst på 56 procent. Vid spridning till de basala hjärnhinnorna kan man även se påverkan på de lägre kranialnerverna (Figur 1 och 2). Pakymeningit är mindre vanlig som isolerat fynd vid neurosarkoidos (Figur 3) [32, 33]. Kontrastuppladdning i de drabbade kranialnerverna ses ibland vid MR, men inte alltid [34]. MR av hypofysen visar oftast en multi­fokal förstoring och kontrastuppladdning av främre hypofysen och infundibulum, och ibland även av hypo­talamus [35, 36]. Peri­ventrikulära och djupa vitsubstanslesioner, som är högsignalerande på FLAIR- och T2-sekvenser, är vanliga vid neurosarkoidos och kan vara svåra att särskilja från vaskulära förändringar [37]. Hydrocefalus och tumörliknande förändringar förekommer, men är ovanliga fynd vid neurosarkoidos [37]. Vid misstanke om vaskulit bör susceptibilitetsviktad MR-sekvens (SWI), kärlväggs­avbildning och konventionell angiografi utföras. Framträdande medullära vener har beskrivits som ett specifikt fynd vid neurosarkoidos [38]. 

Figur 1. MR hjärna, T1-viktad, Gd+. Bilden visar leptomeningeal uppladdning i bakre skallgropen, främst längs hjärnstammen men också i lillhjärnsfåror och basala cisterner med engagemang av kranialnerver.

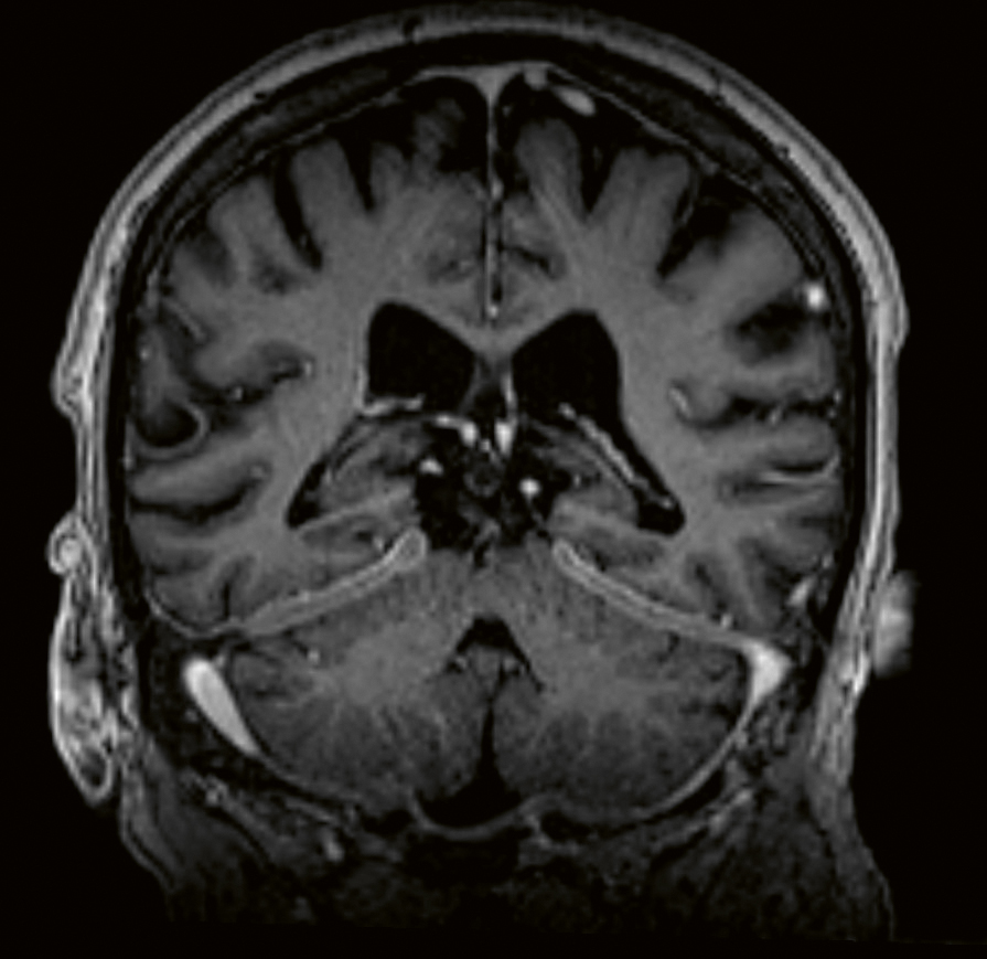
Figur 2. MR hjärna, T1-viktad, Gd+, som visar meningeal kontrastuppladdning, förtjockad dura bilateralt frontalt höger samt medialt i mellersta skallgropen. Små kontrastladdande noduli längs septum pellucidum.

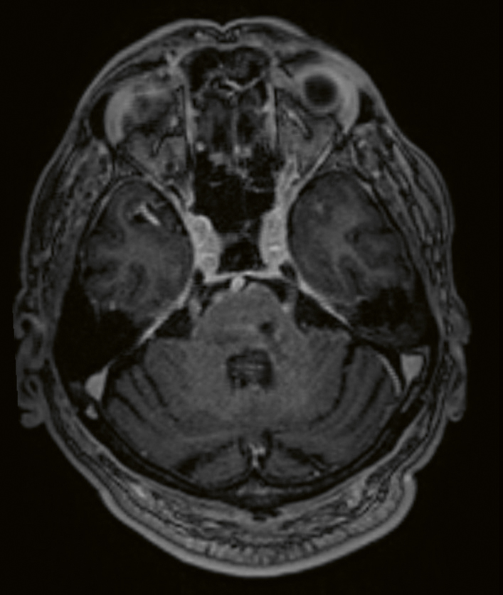
Figur 3. MR av hjärnan, T1-viktad, Gd+.Bilden visar utbredda kontrastladdande pakymeningeala förtjockningar bilateralt längs tentoriet, i falx mellan lillhjärnshemisfärerna och utmed sinus cavernosus, mer uttalade på höger sida.

MR av ryggmärgen visar oftast leptomeningeala uppladdningar och kort- eller långsegmentmyeliter (Figur 4) [39]. Treuddstecken på axiala snitt kan användas för att särskilja neurosarkoidos från andra typer av myelit [40]. 

Figur 4. MR av ryggmärgen i halsryggsnivå, T1-viktad, Gd+. Bil­den visar utbrett ödem och kontrastuppladdning i nivå C4–C7.

HRCT torax

HRCT (högupplösande datortomografi) av torax ingår alltid i utredningen vid misstänkt neuro­sarkoidos för att påvisa eller utesluta lungengagemang, såsom nodulära förändringar och förstorade perihilära lymf­körtlar. Biopsi från lymfkörtlar eller bronkoalveolärt lavage (BAL) med CD4/CD8-kvot kan verifiera granulomatös inflammation, vilket ger stöd för sannolik neurosarkoidosdia­gnos [41]. Vid kardiella besvär eller EKG-förändringar bör ultraljud av hjärtat utföras, och vid stark misstanke om sarkoidos med hjärtengagemang ingår MR hjärta i vidare utredning [42].

FDG-PET helkropp

PET/DT med spårämnet 18F-fluorodeoxiglukos (FDG) används för flera ändamål. FDG-PET av hjärnan kan påvisa upptag motsvarande de förändringar som är synliga vid MR, men den är inte specifik för att påvisa granulomatös inflammation. Helkroppsundersökning med FDG-PET används dels för att utesluta and­ra tillstånd, som tumörer och infektioner i CNS, dels för att påvisa systemisk sjukdom. Slutligen erbjuder undersökningen möjlighet att identifiera alternativa biopsiställen genom att påvisa ökad metabol aktivitet utanför CNS [17, 43].

Differentialdiagnoser vid misstänkt neurosarkoidos

Typen av insjuknande (akut, subakut, långsamt), lokalisationen av de aktuella förändringarna på MR, symtomatologin och förloppet är avgörande för att lägga huvudtyngden på det inflammatoriska spåret, det infektiösa spåret eller malignitetsspåret. Insjuknandet vid neurosarkoidos är nästan alltid subakut, men ibland tar det månader innan symtomen för patienten till vårdinstanser. Huvudgrupper av differentialdia­gnoser, förutom andra inflammatoriska tillstånd i CNS, är andra autoimmuna systemsjukdomar såsom vaskulit, IgG4-relaterad sjukdom, CNS-malignitet, speciellt lymfom, och CNS-infektioner, främst tuberkulos och svampinfektioner (Tabell 1) [10]. Malignitetsspåret blir mer framträdande vid galoppartade förlopp där patienten försämras snabbt på grund av ökat intrakraniellt tryck. Meningeal karcinomatos kan vara en riktig utmaning att diagnostisera, då likvorcytologi kan vara negativ i början av förloppet. Noggrant utvald FDG-PET helkropp är till stor hjälp vid misstanke om utspridd cancer och besparar onödiga undersökningar. Parallellt med det inflammatoriska spåret får man utesluta ovanliga granulomatösa infektioner som kan ge sarkoidosliknande bild. Tuberkulos har en histopatologisk bild som liknar sarkoidos, varför den infektionen alltid måste uteslutas vid misstanke om neurosarkoidos. Noggrann rese- och infektionsanamnes inklusive hiv- och syfilisprov har en självklar plats i utredning av alla oklara CNS-förändringar. Här hänvisas till tabell 1 i en tidigare publikation som sammanställer den utredningsgång som praktiseras sedan 2007 vid neurologkliniken på Akademiska sjukhuset i Uppsala [44]. Immunrekonstitutionssyndrom är en ovanlig komplikation av modern immun- och cancerterapi som kan leda till uppkomst av granulomatös inflammation. TNF-alfa-hämmare (paradoxalt nog används läkemedlet för behandling av neurosarkoidos), IL-6-hämmare (har använts för behandling av neurosarkoidos), interferoner, mono­klonala antikroppar (alemtuzumab) och immunkont­rollpunktshämmare inom onkologi har blivit förknippade med sarkoidosliknande reaktioner [45, 46]. Det är därför viktigt att inkludera en noggrann läkemedelsanamnes vid utredning av misstänkt neuro­sarkoidos.

Tabell 1.

Behandling av neurosarkoidos

Då sjukdomen är ovanlig saknas prospektiva dubbelblindade behandlingsstudier. Behandlingsrekom­mendationerna är därför baserade på observationsstudier och beprövad erfarenhet. Behandling av neuro­­sarkoidos är avhängig av symtomens svårighetsgrad, men i stort sett oundviklig då neurologiska symtom är funktionsnedsättande även om det rör sig om enstaka kranialnervspåverkan (Tabell 2). Hörnstenen i behandlingen är hög dos kortikosteroider med långsam nedtrappning, kombinerad med annat immunhämmande/steroidsparande läkemedel tidigt i förloppet, främst metotrexat eller mykofenolatmofetil [47]. Azatioprin kan också användas om patienterna får biverkningar av de andra preparaten. Infektionsrisken är dock högre med azatioprin jämfört med de övriga läkemedlen. Behandling med TNF-alfa-hämmare (infliximab) kan påbörjas direkt i kombination med steroider vid aggressivt förlopp och leptomeningealt engagemang/pakymeningit. Infliximab kan också sparas till steroidresistenta fall eller vid biverkningar av steroidbehandling [48]. TNF-alfa-hämmare kan med fördel kombineras med metotrexat och myko­fenolatmofetil för att minska risken för antikroppsutveckling [49, 50]. En tidsplan för 3 års behandling är vanlig, därefter fortsätter man med immunhämning i ytterligare 3–4 år (Figur 5). Pulsbehandling med cyklofosfamid kan sparas till mer allvarliga former, till exempel vid vaskulit, stroke eller kontraindikationer för infliximab. Syftet är att få kontroll över sjukdomsförloppet snarare än att använda cyklofosfamid som underhållsbehandling [51]. Patienter med neurosarkoidos svarar alltid på steroidbehandling på kort tid, och många uppnår ett stabilt tillstånd över tid. Då det saknas riktlinjer för neurosarkoidospatienter vad gäller kalcium- och D-vitamintillägg vid steroidbehandling i dagsläget, rekommenderas att man följer de principer som gäller vid steroiddoser över 20 mg dagligen [23]. 

Tabell 2.

Behandling vid perifer nervpåverkan följer samma principer som ovan. Vid smärtsam tunnfiberneuropati har intravenös immunglobulinbehandling  och infliximab visat sig ha effekt [18]. Tocilizumab (IL-6-hämmare) och rituximab (CD20-hämmare) har använts med framgång i enstaka fall. Övriga läkemedel som är på intåg är kontrollpunkts- och JAK-hämmare. Strålning kan övervägas som en sista utväg för patienter som inte svarar på läkemedelsbehandling [52]. Det finns ingen tillförlitlig biomarkör för uppföljning av behandlingen i nuläget [53]. En individanpassad uppföljning med MR och klinisk kontroll var 4:e månad under första året rekommenderas; därefter glesas kontrollerna ut till 2 gånger/år, och när sjukdomsaktiviteten avtar kan man övergå till årlig MR och klinisk bedömning. Man bör tidigt etablera ett samarbete med övriga specialister inom lungmedicin, endokrinologi, oftalmologi, reumatologi och neurokir­urgi.

Figur 5.

Förlopp och prognos

Det saknas validerade instrument eller skattningsskalor för att mäta prognosen hos neurosarkoidos­patienter. Varken EDSS (Expanded disability status scale), som används vid MS, eller modifierad Rankinskala, som används vid stroke, är utformad för att kunna fånga upp de breda kliniska manifesta­tionerna vid neurosarkoidos [54]. Vidare är det svårt att tillämpa en enhetlig sjukdomsdefinition på grund av den heterogena kliniska bilden, behandlingsbyten över tid och slutligen selektionsbias i olika studier. Patienter med neurosarkoidos har oftast ett kroniskt sjukdomsförlopp jämfört med andra typer av sarkoidos [55]. Generellt visar en tredjedel av patienter med neurosarkoidos ingen förbättring eller försämras trots avancerad behandling. En metaanalys av studier genomförda mellan 1965 och 2015 innefattande 29 artiklar och 1 088 patienter med neurosarkoidos visade att 27 procent uppnådde fullständig remission, 24 procent stabiliserades med behandling, 32 procent svarade delvis på behandling, 6 procent försämrades stadigt och mortaliteten var 5 procent [17, 56].

Jobb i fokus

Mer att läsa

Mer att läsa