Gå till innehållet
Gå till startsidan

Denna webbplats vänder sig till läkare

Sök

Nya forskningsrön om Alzheimers sjukdom vid Downs syndrom

Läs artikel som PDF

Downs syndrom är den vanligaste kromosomavvikelsen med över 120 födda per år i Sverige, vilket motsvarar omkring 1 per 800 födda. På 1980-talet var medellivslängden i denna patientgrupp bara lite över 20 år [1], men den har ökat snabbt och uppgår nu ofta till 50-65 års ålder, framför allt beroende på förbättrad medi­cinsk vård.Dessa patienter får oftare än andra hjärt–kärlsjuk­domar samt syn- och hörselnedsättningar när de åldras [1], beroende på en accelererad åldringsprocess i vissa organsystem i kroppen, som hjärt–kärl- och nervsystemet. 

Personer med Downs syndrom drabbas av Alzheimers sjukdom i mycket högre utsträckning och betydligt tidigare i livet än andra. Upp till 90 procent av alla individer med Downs syndrom drabbas av demenssjukdom [1]. Syndromet innebär en extra kopia av kromosom 21. Då genen som kodar för moderproteinet för amyloid är lokaliserad till kromosom 21 antas denna gen, men också and­ra gener lokaliserade till kromosom 21, förklara den höga förekomsten av Alzheimers sjukdom vid Downs syndrom [2]. Andra gener som i dessa fall tros vara involverade i patologin för Alzheimers sjukdom är Dyrk1A och RCAN1, två proteiner som påverkar fosforyleringen av tau-protein, samt superoxiddismutas 1 (SOD1), som ökar oxidativ stress och inflammation i hjärnan [1, 2]. 

De förändringar som sker i hjärnan vid Downs syndrom liknar i stort de karaktäristiska patologiska förändringar som ses hos personer med Alzheimers sjukdom, såsom intracellulära neurofibrillära nystan bestående av tau och extracellulära ansamlingar, plack, bestående av toxiska former av amyloid [2]. Parallellt med dessa ansamlingar av toxiska proteiner pågår en progressiv neuronal celldöd i hjärnan hos personer med Downs syndrom, speciellt i basala framhjärnan (kolinerga neuron) samt i hjärnstammen (noradrenerga neuron i locus coeruleus) [1, 2]. 

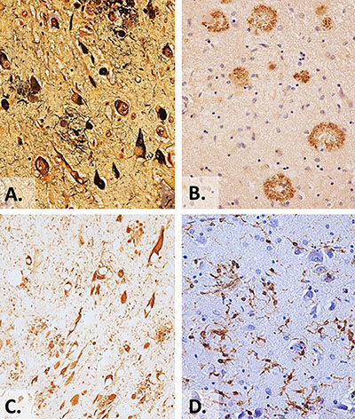
Figur 1 visar typiska neuropatologiska förändringar i hjärnan hos en patient med Downs syndrom och Alzheimers sjukdom. Silverfärgning och immunhistokemisk färgning med tau- och amyloidantikroppar visar både plack och nystan, och immunhistokemisk färgning med en antikropp mot mikroglia, Iba-1, visar ökad neuroinflammation i temporalloben [3]. Longi­tudinella hjärnavbildningsstudier med PET [4] hos personer med Downs syndrom som var över 40 år gamla har visat kortikala amyloid-beta-depositioner i samma utsträckning som tidigare setts hos personer med idiopatisk Alzheimers sjukdom, och dessutom fann man både diffusa och kompakta (»dense core«) amyloidplack samt dystrofiska neuriter, vilka har visat sig vara av diagnostisk relevans vid Alzheimers sjukdom [4]. 

Forskning på biologiska orsaker till sambandet mellan Downs syndrom och Alzheimers sjukdom ligger – vid en jämförelse med and­ra länder i Europa och USA – något efter i Sverige, speciellt vad gäller kliniska studier. I många andra europeiska länder, till exempel England, Tyskland, Irland och Spanien, finns forskargrupper som både diagnostiserar och behandlar Alzheimers sjukdom hos patienter med Downs syndrom. Nya diagnosmetoder såsom kognitiva undersökningar, hjärnavbildningsmetoder och nya metoder för analys av biomarkörer i plasma används inom forskningen (se nedan). 

Det europeiska konsortiet Horizon 21  är ett nätverk av forskare från tio länder bland annat med syfte att förbättra vården för vuxna med Downs syndrom och Alzheimers sjukdom (https://horizon-21.org/). Forskargrupper i Lund, Göteborg och Stockholm samarbetar nu med Horizon 21 för att öka forskningsinsatsen i Sverige vad gäller demenssjukdom hos personer med Downs syndrom. 

Även i det svenska kvalitetsregistret Svedem, som är det största i världen förkognitiv svikt och demenssjukdomar, kan man sedan 2021 registrera Alzheimers sjukdom vid Downs syndrom som en egen diagnos. Svedem är ett verktyg för att förbättra demensvårdens kvalitet, från diagnos och genom hela sjukdomsförloppet [5]. Med hjälp av data om personer med dessa tillstånd finns nu också goda möjligheter att nationellt följa upp kvaliteten på vården och bidra till att förbättra kvaliteten på utredningen i hela Sverige. 

Forskningsmetoder för demensutredning

Kognitiva testmetoder

Personer med Downs syndrom har ofta nedsatt kognitiv funktion, men graden av intellektuell funktionsnedsättning varierar stort från individ till individ. Dessutom finns det komplicerande samsjuklighet, till exempel ökad risk för syn- och hörselnedsättning, övervikt, epilepsi och ataxi eller andra svårigheter med gång och balans [6]. Ytterligare komplicerande faktorer är svårigheter att förstå instruktioner, speciellt sådana som ges i samtal och inte via visuella hjälpmedel [6], eftersom förståelsen för visuella instruktioner är bättre än för muntliga [2]. Tyvärr finns det en generell uppfattning att man inte kan skilja på utvecklingsrelaterade funktionsnedsättningar hos personer med Downs syndrom och en begynnande demensutveckling [7], vilket försvårar dia­gnostisering och behandling. 

Trots dessa svårigheter har forskare i England under senare år utvecklat bättre metoder för att undersöka kognitiv funktion hos personer med Downs syndrom. CAMDEX-DS (Cambridge Examination for mental disorders of older people with Down syndrome and others with intellectual disabilities) är ett kliniskt instrument som innefattar ett omfattande semistrukturerat frågeformulär kring hälsa och symtom [8, 9]. Informationen samlas in tillsammans med en närstående till patienten. Syftet är att ge vägledning kring diagnostik av demenssjukdom hos personer med Downs syndrom. CAMDEX-DS innefattar förutom dessa kliniska frågeformulär ett kognitivt testbatteri, CAMCOG-DS (Cambridge Cognitive examination for older adults with Down syndrome). Detta testbatteri är anpassat för vuxna med Downs syndrom. Testbatteriet mäter flera kognitiva domäner viktiga för diagnostiken av demenssjukdom hos personer med Downs syndrom. Testet har validerats [9].  Dessa instrument kan jämföras med en svensk metod, »Tidiga tecken«, som utvecklades i Uppsala och finns tillgängligt i en nyreviderad version hos Svenskt demenscentrum (www.tidigatecken.se). 

En vanlig startpunkt för demensutredning hos personer med Downs syndrom är när ADL-förmågan (aktiviteter i det dagliga livet) försämras i 40–50-årsåldern, men i forskningssammanhang satsar man i stället på att undersöka yngre personer i åldern 25–40 år för att kunna studera hjärnfunktionen innan demenssymtom har tillkommit. Förändringar i ADL-förmåga, beteendeförändringar (till exempel förändrat socialt engagemang eller minskat intresse för sociala aktiviteter) eller humörsvängningar kan vara vanligare begynnande demenssymtom hos vuxna med Downs syndrom än minnesförändringar [2, 8, 9]. Det finns också andra kognitiva test som visat sig fungera väl, till exempel NTG-EDSD (National Task Group – Early detection screen for dementia) [10] samt »Tidiga tecken«. Flera av dessa metoder fungerar utmärkt för att särskilja funktionsnedsättning från en begynnande demenssjukdom. 

Fördelen med CAMDEX-DS är att detta testbatteri används i nio andra länder i Europa, vilket gör att forskningsresultat från till exempel England och Norge direkt kan jämföras med resultaten från svenska studier och underlättar internationella samarbeten.

Hjärnavbildningsmetoder vid utredning

MR-undersökningar vid Downs syndrom

MR-mätningar har visat att barn med Downs syndrom (<5 år) har utvecklingsrelaterade förändringar i lillhjärnan och hjärnstammen; studien gjordes på 20 barn på Boston Children’s Hospital [11]. Även vuxna med Downs syndrom och begynnande demenssjukdom har utretts med MR. Studier i ett forskningsprogram i London har funnit förändringar i långa nervbanor i hjärnan, till exempel i corpus callosum och associationsbanor [12]. Vidare har forskare korrelerat specifika MR-fynd och kortikal atrofi med minnesförlust i specifika domäner hos personer med Downs syndrom och Alzheimers sjukdom [13]. 

En forskargrupp i Barcelona undersökte vuxna med Downs syndrom med eller utan demenssymtom och fann att de patienter som hade alzheimersymtom hade en specifik atrofi i posteriora parieto-­temporo-occipitala kortex som korrelerade med närminnesfunktion [13]. Trots dessa nyligen genomförda forskningsstudier är det svårt att tänka sig att MR-undersökningar ska kunna används som rutin för utredning av demenssjukdom hos personer med Downs syndrom, då anpassning måste göras. Däremot kan man tänkas använda de biomarkörer för plasma som beskrivs nedan, speciellt de som redan har tagits i bruk vid vissa forskningsinstitutioner i Sverige. 

PET-undersökningar vid Downs syndrom

Positronemissionstomografi (PET) erbjuder möjlighet att studera neuropatologiska förändringar i hjärnan karaktäristiska för Alzheimers sjukdom, såsom påverkan på nervcellsfunktion (cerebral glukosmetabolism), amyloida plack och neurofibrillära nystan, men också inflammatoriska förändringar. Amyloid-
PET-studier på kognitivt normala vuxna individer med Downs syndrom visar ökning av amyloidplack i kortikala regioner och striatum med ett tidsförlopp liknande det som beskrivs för autosomalt dominant ärftliga former av Alzheimers sjukdom [14, 15]. Ett liknande mönster av regional hypometabolism i hjärnan har påvisats med 18F-fluorodeoxiglukos (FDG)-PET vid Downs syndrom såväl som vid sporadisk alzheimersjukdom. Några få PET-studier med tau som spårämne hos personer med Downs syndrom har visat förekomst av tau från Braak-stadium III (en gradering av spridningen av tau-nystan vid Alzheimers sjukdom) [15].

Vår grupp på Karolinska institutet har visat att PET-ligander för både tau och amyloid binder till postmortemvävnader från personer med Downs syndrom, och till en högre grad i frontalkortex jämfört med personer med idiopatisk Alzheimers sjukdom [16]. 

Redan 2015 visade en amerikansk forskargrupp [17] att PET-liganden florbetapir, som binder till amyloid­plack i hjärnan, var mycket förhöjd hos vuxna med Downs syndrom och Alzheimers sjukdom jämfört med kontroller, och man fann också att amyloidaggregat i hjärnan var en tidig förändring vid Downs syndrom som predicerade en framtida alzheimerdia­gnos [17]. 

I det europeiska konsortiet Horizon 21 används PET för visualisering av både tau och amyloid för att utveckla bättre diagnostiska verktyg för vuxna med Downs syndrom och Alzheimers sjukdom, se till exempel [18]. PET finns i dag tillgänglig på alla universitetskliniker i landet. Det är en kostsam undersökning, men kan med fördel användas i forskningen för att förbättra demensdiagnostiken både vid Downs syndrom och misstänkt Alzheimers sjukdom och vid sporadisk Alzheimers sjukdom. Där­emot bör PET kanske ännu inte användas som rutin­undersökning på grund av kostnaderna och svårigheter med att genomföra dessa undersökningar på personer med funktionsnedsättning.

Biomarkörer i plasma

Tau fosforylerat på position 181 (P-tau-181) i plasma kan skilja sig mellan personer med Downs syndrom med asymptomatisk demenssjukdom och de som har Alzheimers sjukdom [19]. P-tau-181 i plasma kan också differentiera mellan personer med Downs syndrom som inte har demenssymtom och de som har prodromal Alzheimers sjukdom [19]. P-tau-181 i plasma har också visats korrelera med atrofi och hypometabolism i tinning- och hjässloben i MR-undersökningar på 366 vuxna med Downs syndrom (Horizon 21-konsortiet) [19]. Analys av P-tau-181 finns tillgänglig för forskningsstudier och vid universitetskliniker men inte ännu i klinisk rutin. 

P-tau-217 har i forskning, baserat på 300 personer med Downs syndrom, visat ännu bättre diagnostisk precision  än P-tau-181 när det gäller att både detektera alzheimerförändingar i hjärnan samt predicera kognitiv nedsättning hos personer med Downs syndrom [20]. P-tau-217 kommer snart att vara tillgängligt inom vården. Eftersom det finns flera gener på kromosom 21 som specifikt ökar fosforyleringen av tau i hjärnan – till exempel Dyrk1A och RCAN1 [1, 2] – är de olika isoformerna av tau mycket viktiga biomarkörer för demenssjukdom vid Downs syndrom.

Neurofilament light chain (NfL) är ett protein som stabiliserar axon­proteiner i hjärnan och är också en biomarkör antingen i plasma eller CSF [21]. Förhöjda nivåer av NfL är en indikation för neurotrauma eller neurodegenerativa sjukdomar. Precis som plasma-P-tau kan plasma-NfL differentiera mellan personer med Downs syndrom som är asymtomatiska och de som har Alzheimers sjukdom [22], men NfL kan inte differentiera demenssjukdom från till exempel trauma och har därför inte ett lika bra dia­gnostiskt värde som P-tau. CSF-NfL finns tillgänglig som klinisk analys, och plasma-NfL är en rutinanalys vid Sahlgrenska sjukhuset sedan våren 2021.

Plasma-GFAP (gliafibrillärt surt protein) har föreslagits utgöra en markör för astroglios, och studier på personer med Downs syndrom har visat stigande nivåer 15 år före förväntade demenssymtom och en positiv korrelation med ökningen av amyloidplack i hjärnan [23]. Plasma-GFAP-nivåer vid Downs syndrom har även uppvisat en negativ korrelation med kortikal tjocklek och cerebral glukosmetabolism. Det har föreslagits att GFAP tillsammans med andra plasma-biomarkörer kan utgöra en panel för screening av individer med Downs syndrom med risk för att utveckla Alzheimers sjukdom [23]. 

Sammanfattningsvis utvecklas nya och mer känsliga biomarkörer kontinuerligt inom forskningen, och dessa kan tänkas komma i kliniskt bruk redan inom några år. Eftersom nya känsligare analysmetoder nu finns för plasma är blodprov ett mycket bättre alternativ än ett likvorprov, speciellt för personer med Downs syndrom, och kan göras som en del av ett rutin­läkarbesök och repeteras för att undersöka progression och effekter av läkemedel.

Behandling av Alzheimers sjukdom

Personer med Downs syndrom har i hög grad uteslutits från kliniska prövningar av mediciner för demenssjukdomar, trots att de är en utmärkt grupp för att studera effekter av preventiva läkemedel eller andra behandlingar, eftersom man redan när de föds vet att de antagligen (90 procent) kommer att drabbas av Alzheimers sjukdom. Det finns nu mer än 100 läkemedel eller kirurgiska ingrepp som systematiskt prövas hos patienter med sporadisk Alzheimers sjukdom, men endast ett fåtal har prövats på personer med Downs syndrom [24]. Det finns relativt få studier som undersökt memantin och kolinesterashämmare hos personer med Downs syndrom, men dessa medi­ciner kan öka livskvaliteten och eventuellt livslängden [25-27]. Eftersom personer med Downs syndrom föds med ökade nivåer av amyloid, då genen som transkriberar amyloid (APP, amyloidprekursorprotein) sitter på kromosom 21 [1, 2], borde de vara en idealisk grupp för att pröva amyloidvacciner, men endast ett fåtal studier har gjorts. Just nu pågår en sådan studie i USA, där man har fokuserat på ACI-24 (lipo­somalt vaccin mot aggregerade beta-amyloidpeptider, studienummer NCT02738450). Inga resultat har ännu rapporterats.

Personer med Downs syndrom utgör en viktig grupp för preventionsstudier för Alzheimers sjukdom. Dels vet man att det är troligt att personer med Downs syndrom utvecklar Alzheimers sjukdom i 40–50-årsåldern, dels är alzheimerpatologin mer homogen vid Downs syndrom än i den övriga befolkningen eftersom genförändringarna är relativt likartade hos olika individer, och slutligen finns en lång prodromal period på minst 20 år då man har möjlighet att behandla; se till exempel [28-30]. Trots detta har läkemedelsindustrin i stort sett hoppat över Downs syndrom i kliniska prövningar. Vi rekommenderar att man fokuserar forskningsresurser i Sverige och att samarbete med läkemedelsföretag stimuleras.

Sammanfattningsvis finns det nu metoder för dia­gnostik av Alzheimers sjukdom hos personer med Downs syndrom. Tidigare har man ansett att det är svårt att ta blodprov eller likvorprov på dessa personer och att det är svårt eller omöjligt att utföra radiologiska undersökningar. Tack vare forskningsrapporter från andra europeiska länder vet vi nu att ovanstående undersökningar med vissa anpassningar går utmärkt att utföra. Det finns också kognitiva test som är validerade och anpassade för personer med Downs syndrom och nya biomarkörmetoder för plasma. 

Förra året blev det möjligt att registrera patienter med Downs syndrom och demenssjukdom i Svedem, men endast ett fåtal patienter har ännu registrerats, kanske för att informationen om detta inte är tillräckligt spridd. Vi rekommenderar att registrering i Svedem görs. Det behövs mer utbildning av läkare i Sverige för att inkludera personer med Downs syndrom i den gängse utredningen och behandlingen av Alzheimers sjukdom och öka möjligheten till ett värdigt åldrande också för denna grupp. 

Det arbete som har gjorts av Barry Karlsson och medarbetare i Region Uppsala är föredömligt, och individer med Downs syndrom förtjänar ett liknande vårdprogram också i övriga Sverige. Eftersom personer med Downs syndrom ofta går till vårdcentralen för årliga kontroller rekommenderar vi att plasmaprovtagning görs för analys av till exempel GFAP och tau, eftersom dessa två markörer korrelerar väl med kognitiv funktion och kan informera om huruvida en vuxen med Downs syndrom börjar närma sig demenssymtom. Detta kan hjälpa både vårdpersonal och närstående med planering av fortsatt eller utökad vård. Trots att färre personer föds med Downs syndrom i Sverige på grund av ett ökat antal aborter, så finns det många som åldras och behöver hjälp med diagnostisering och eventuell intervention.

 

Figur 1. Neuropatologiska förändringar hos en 66-årig man med Downs syndrom och Alzheimers sjukdom. A: Silverfärgning visar täta amyloidinlagringar (svarta fibrer) och intraneuronala nystan i CA1-regionen av hippocampus. B: Immunhistokemisk färgning av temporalloben med amyloidantikroppar visar många amyloidplack. C: Tau-antikroppar färgar dystrofiska neuriter, intracellu­lära nystan och »ghost tangles« (rester av neurofibrillära nystan som återstår efter neuronets död) i subiculum. D: Immunhistokemisk färgning med antikroppar mot mikroglia (Iba-1, brun) visar täta ansamlingar av aktiverade mikroglia i hippocampus. Bakgrundsfärgning i B och D har gjorts med hyalin. Vävnaden är donerad av hjärnbanken i Medical University of South Carolina i samarbete med Down Syndrome Biobank Consortium.

Jobb i fokus

Mer att läsa

Mer att läsa