Nya implantat möjliggör rekonstruktion av orbita med hög precision
Frakturer som engagerar ögonhålan (orbita) kan uppkomma efter olika typer av våld mot ansiktet eller skallen. Lågenergivåld, som slag mot ansiktet i samband med lek, sport eller vid misshandel, ger ofta rena orbitaväggsskador. Det högenergetiska våld som ofta ses vid trafik- och arbetsplatsolyckor kan däremot ge omfattande skador i ansiktets skelett, där ögonhålefrakturen är en del i ett komplicerat fraktursystem. Etiologin varierar beroende på skadepanoramat i landet eller regionen där man befinner sig. På Akademiska sjukhuset utgör de rena orbitafrakturerna ca 40 procent av alla fall som opereras.
Resttillstånd efter orbitafraktur
Förändringar i orbitavolym och förlust av ögats stödpunkter sekundärt till skador i en eller flera av orbitans väggar kan med tiden resultera i felaktig position av ögat. En ökning av orbitavolymen vid sk blow-out-fraktur kan ge insjunket öga, eller enoftalmus. Intryckning av orbitavägg (blow-in) leder till exoftalmus, och den trängsel som skapas i orbitan kan vara tillräcklig för att utveckla bulbär tryckstegring.
Felställningar av ögat kan leda till ett handikappande dubbelseende. Andra problem som kan uppstå vid frakturer i ögonhålan är associerade skador i orbitala eller periorbitala strukturer, såsom fastklämning av extraokulär muskulatur, synnervsskador, skador på motoriska nerver till extraokulär muskulatur, bulbskador och ögonlocksskador. Man har exempelvis vid ansiktsfrakturer som engagerar orbitan sett traumatisk optisk neuropati i 20 procent av fallen vid diagnostillfället [1]. Förekomsten av sådana associerade skador kan påverka tidpunkten liksom tillvägagångssättet för frakturkirurgin.
Rekonstruktion av orbitan anses vara en särskilt krävande del i behandlingen av ansiktsfrakturer, och stora krav ställs på kirurgisk kompetens. Kirurgin bedrivs i dag av plastikkirurger, öron-, näs- och halskirurger, käkkirurger eller ögonkirurger på region- och länssjukhus beroende på var i landet man befinner sig. Antalet patienter som opereras årligen på de olika sjukhusen varierar. Trots behandling ser man vid orbitafrakturer ofta kvarstående resttillstånd såsom sekundär enoftalmus eller iatrogena skador på ögonlock [2, 3]. Det är av stor vikt att den första operationen lyckas, eftersom sekundär kirurgi försvåras av periorbital ärrvävnad och frakturer som läkt i felställning.
Klinisk bild
Typiska symtom som tyder på orbitafraktur vid anamnes på våld mot ansiktet är dubbelseende, känselnedsättning på kinden (påverkan av nervus infraorbitalis) och inskränkt ögonmotorik. Skador mot ögonlock och tårapparat kan ge ökat tårflöde. Allvarligare skador som involverar bulb och/eller synnerv kan ge akut synpåverkan. I den kliniska undersökningen ska särskild uppmärksamhet riktas mot ögats funktion, och remiss till ögonläkare är här av mycket stort värde. I det akuta skedet gör den periorbitala svullnaden att det oftast är omöjligt att värdera ögats position och ögonmotiliteten. Den akuta svullnaden kan kompensera för en volymökning av orbitan, vilket gör att man sällan ser enoftalmus i det akuta skedet [4]. Vidare kan inskränkt ögonmotilitet bero på svullnad och behöver inte indikera fastklämd muskel. Detta är en viktig distinktion, då fastklämning av extraokulär muskulatur indicerar halvakut operation. Viktigt att påpeka är att en patient med uttalade frakturer av flera av orbitans väggar helt kan sakna dubbelseende.
Utredning
Noggrann klinisk undersökning är av största betydelse i utredningen och en förutsättning för att upptäcka och bedöma de olika komplikationerna, såsom fastklämd extraokulär muskulatur, bulbskada eller synnervsskada. Vid misstanke om fraktur ska ansiktsskelettet undersökas med datortomografi med tunna axiala snitt, och från de axiala snitten görs koronara och sagittala reformaterade serier. Avbildning av ögonhålan i dessa tre plan är nödvändig för diagnostik av orbitaväggsskador och för planering av rekonstruktionen. Tredimensionella bilder ger framför allt en bra visualisering av ansiktsfrakturer utanför orbitan och av implantat vid postoperativa undersökningar.
Dessa undersökningar kan vara av stort värde vid kirurgisk planering, postoperativa kontroller och i undervisning. Emellertid är det med dagens teknik svårt att visualisera de tunna orbitaväggarna på dessa tredimensionella bilder, och orbitaväggsdefekter kan här vara artefakter. För att ägna sig åt rekonstruktiv kirurgi i orbitan krävs vana vid arbete med datortomografiskt bildmaterial. Vidare är ett nära samarbete mellan specialintresserad radiolog och orbitakirurg av stort värde.
Indikation för kirurgi
Orbitafrakturer som är en del av större ansiktsfrakturer åtgärdas oftast i samband med reposition och fixation av dessa. Absoluta indikationer för orbitafrakturkirurgi är annars fastklämd extraokulär muskulatur, blow-in-fraktur med tryck mot muskel och/eller bulb, retrobulbärt hematom och fraktur som skapar trängsel i fissura orbitalis superior. Indikationerna för rekonstruktion av orbitans väggar vid ren blow-out-fraktur är ett omdiskuterat område, och olika praxis tillämpas på olika sjukhus. Här gäller det att förutse eventuell framtida enoftalmus, beroende på orbitaväggsdefektens storlek och läge. Ett riktvärde som brukar nämnas är att en volymökning på 1 cm3 ger en enoftalmus på 1 mm [5, 6]. Det finns i dag mjukvara för beräkning av orbitans volym. Exakta volymberäkningar förutsätter emellertid att man på datortomografibilderna lyckas markera den skadade orbitans yttre begränsningar, och ofta är de volymbestämningar som görs av hernierad vävnad grova uppskattningar. Orbitaväggsdefektens placering i relation till ögats stödpunketer är också av stor betydelse för utvecklingen av enoftalmus [7]. Således krävs en sammanvägning av dessa parametrar med den kliniska bilden.
Exspektans för att se om insjunkning av ögat utvecklas bör undvikas, eftersom kirurgin försvåras av den fibros som då hunnit bildas runt periorbitan i frakturen [8]. Vid frånvaro av komplikationer som kräver akut insats bör operationen utföras inom två veckor. Vid samtidig bulbskada finns det emellertid ofta skäl att skjuta på operationen i en månad, då kirurgiska manipulationer och periorbitalt ödem riskerar att förvärra skadan mot bulben.
Principer för rekonstruktion av orbitans väggar
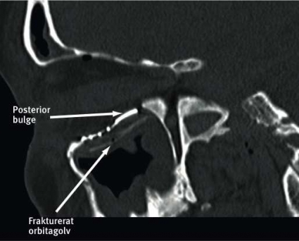
Kirurgisk rekonstruktion av orbitan syftar till att återställa orbitaväggarnas anatomi och orbitans volym. Vid blow-out-frakturer är rekonstruktion av orbitabotten vanligast, följt av rekonstruktion av orbitans medialvägg. Orbitabotten är inte en plan yta utan har en tredimensionell struktur som man bör återskapa vid rekonstruktionen. Orbitagolvets yta är konvex medialt baktill i ett område som kallas »posterior bulge«, medan den främre laterala delen av orbitabotten är skålformat konkav. Orbitagolvets mediala begränsning sluttar uppåt i 45 graders lutning för att möta den mediala orbitaväggen.
Blow-out-fraktur av den mediala orbitaväggen leder i stor utsträckning till enoftalmus, särskilt i kombination med defekter i orbitagolvet [9]. Kombinationen av medialväggsfraktur och blow-out-fraktur av orbitabotten kräver särskilt övervägande. På Akademiska sjukhuset har vi varit med om att en mindre fraktur i medialväggen, som i sig inte kräver placering av implantat, kan förvärras till en stor defekt efter att man rekonstruerat orbitabotten. I detta fall ledde orbitabottenrekonstruktionen till att bulben fördes uppåt och frakturerade den tunna och redan skadade medialväggen (lamina papyracea).
Nya material för rekonstruktion
Traditionellt har man framför allt använt sig av bentransplantat vid rekonstruktioner av orbitaväggarna. Bentransplantat har dock följande nackdelar som rekonstruktionsmaterial:
De är svåra att forma enligt den tredimensionella formen.
De kräver ett tagställe, vilket ökar morbiditeten.
De genomgår varierande och oförutsägbar resorption.
Dessa problem har föranlett utvecklandet av en rad olika biomaterial för orbitarekonstruktion. Poröst polyetylen, titannät och kombinationen poröst polyetylen–titannät är material som blivit vanliga i behandlingen av orbitafrakturer. Samtliga dessa material har visat sig ha hög vävnadsvänlighet, låg infektionsrisk och bra egenskaper för formning och fixering [10, 11]. Andra material som Silastic och PDS (polydimetylsiloxan) bör undvikas, då de är förenade med inflammatorisk reaktion, fibros och även risk för avstötning [12, 13].
För att ytterligare öka precisionen i rekonstruktionen har vissa centra i världen börjat använda datornavigerad placering av implantaten enligt en preoperativt skapad virtuell kirurgisk plan [14, 15]. Vidare har man introducerat individuell bokning av titanplattor (custom-made) efter en digital mall som skapas från datortomografibilder genom att spegla den friska sidans orbitavägg [16]. Dessa metoder kräver dock betydande investeringar, mer avancerad logistik och att man tillägnar sig kunskaper i datornavigerad kirurgi. Med postoperativa datortomografiundersökningar har man visat mycket fina resultat med dessa metoder. Det kvarstår dock att visa om man får bättre resultat avseende ögats funktion. Ett nytt tillskott i arsenalen av material för rekonstruktion av orbitaväggar är anatomiska standardformade titanimplantat. Dessa finns ännu så länge inte tillgängliga på marknaden, men utprovning och utvärdering sker på ett begränsat antal centra. Man baserar den standardiserade formen på att orbitans anatomi och dimensioner varierar i mycket liten grad hos vuxna individer [17].
Friläggning av orbitan
Olika tekniker finns beskrivna för kirurgisk åtkomst till orbitaväggarna. Orbitabotten nås genom olika typer av friläggningar via det undre ögonlocket, såsom transkonjunktival eller subciliär friläggning. Den laterala orbitaväggen kan i viss mån nås från en incision i övre ögonlocket eller vid ögonbrynet. Ett särskilt svåråtkomligt område är mediala orbitaväggen. Den nedre hälften kan nås via transkonjunktival/subciliär friläggning, men det mediala kantalligamentets och tårvägarnas position kräver andra tekniker för fullständig åtkomst till medialväggen. Transkurunkulärt ingrepp ger direkt åtkomst till mediala orbitaväggen via en minimal incision.
För fullständig åtkomst krävs emellertid bikoronar friläggning, som vid kraniofacial kirurgi, och tillsammans med friläggning via nedre ögonlocket får man möjlighet till 360 graders friläggning av orbitans benväggar. Friläggning av orbitans djupare partier mot apex kräver särskilt god kunskap i orbitans anatomi. Delning av bindvävsstråken som löper genom fissura orbitalis kan krävas för att nå defektens bakre kant och för att utföra en korrekt anatomisk rekonstruktion.
Orbitakirurgi på Akademiska sjukhuset
På Akademiska sjukhuset i Uppsala finns en grupp av plastik- och käkkirurger som bedriver och utvecklar rekonstruktiv kirurgi av orbitan. Samtliga orbitarekonstruktioner utförs av en av de två plastikkirugerna, ofta tillsammans med käkkirurg. Planering och utvärdering av kirurgin görs tillsammans med radiologer. En forskningsgrupp har skapats tillsammans med ögonläkare med specialintresse inom strabismkirurgi. De senaste åren har man inom denna gruppering utvecklat teknikerna och materialen för orbitafrakturkirurgi. År 2004 skedde en betydande ändring i val av material för rekonstruktion och i metoder för friläggning. Man gick helt ifrån användningen av bentransplantat och har sedan dess konsekvent använt poröst polyetylen med titannät. Vidare började man i större utsträckning frilägga orbitan bikoronärt när åtkomst till den mediala orbitaväggen erfordrats.
Figur 1 visar det totala antalet fall som opererats sedan 2004, som har legat mellan 25 och 31 årligen. Vidare ser man av fördelningen mellan typ av rekonstruktion en ökad andel komplexa rekonstruktioner av medialväggar, orbitatak eller kombination av flera orbitaväggar. Detta gäller även om man jämför med åren 2000–2003 (ej visat). Datornavigerad orbitakirurgi är under utveckling, och under 2008 opererades det första fallet med hjälp av datornavigator. Gruppen på Akademiska sjukhuset är ett sk market preference evaluation center (MPE) och ett av fem centra i världen som utvärderar nya, på marknaden ännu inte tillgängliga anatomiska standardimplantat av titan (Matrix). Den första operationen gjordes 2008 och är det andra att göras i världen. Fallet presenteras nedan.
Patientfall
En 53-årig kvinna föll ner för en trappa, slog sig i ansiktet och ådrog sig högersidiga orbitafrakturer. Preoperativt fanns inget dubbelseende eller enoftalmus, däremot smärta i ögat vid blickriktning uppåt och lateralt. Preoperativ datortomografi visade en ren blow-out-fraktur av orbitabotten och medialväggen (Figur 2). Defekterna involverade större delen av orbitabotten ända bak till orbitans apex samt den mediala orbitaväggen upp till sutura frontoethmoidalis. Volymbestämning gjordes i mjukvaran Osirix efter att orbitans begränsningar markerats på alla axiala snitt mellan orbitans övre och nedre begränsning (60 snitt). Den skadade sidan uppmättes till 31,3 cm3, att jämföra med den friska sidans 26,0 cm3.
Patienten opererades 14 dagar efter skadan. Orbitan frilades transkonjunktivalt och bikoronart, med 360 graders lösning av periorbitan från orbitans benväggar, koagulering och delning av arteria ethmoidale anterior respektive fissura orbitalis inferior. Ett kombinerat anatomiskt implantat för orbitabotten och medialvägg fördes in via den nedre friläggningen och fixerades med skruvar mot margo infraorbitalis. Operationstiden var 170 minuter och blödningen ca 150 ml. Postoperativ datortomografiundersökning visade att man med implantatet uppnått en i stort sett fullständigt korrekt anatomisk rekonstruktion av orbitans benväggar. Implantatet återskapade bla konvexiteten långt bak medialt i orbitan (posterior bulge) på ett sätt som är mycket svårt att åstadkomma med andra typer av implantat (Figur 3).
Den relativt långa operationstiden (170 mot normalt ca 120 minuter) kan förklaras av relativ ovana hos kirurgerna att hantera det nya materialet och svårigheter att placera det kombinerade orbitabotten–medialväggsimplantatet. Fullständig lösning av periorbitan var en förutsättning för att få implantatet på plats. Den postoperativa orbitavolymen uppmätt på den skadade sidan var 26,8 cm3. Detta gav en skillnad i volym på 0,8 cm3 mellan höger och vänster sida (Figur 4), att jämföra med en preoperativ skillnad på 5,3 cm3. Skillnaden i orbitavolymer mellan höger och vänster sida före skadan hos denna patient är inte känd, men i undersökningar på friska individer har man inte kunnat se statistiskt signifikanta skillnader mellan båda sidornas orbitavolymer. Noggrann granskning av postoperativa bilder visade att hela implantatet placerats en aning för långt medialt, vilket skulle kunna förklara en något större postoperativ orbitavolym på den skadade sidan (Figur 3).
Diskussion
Med rätt kirurgisk teknik och rätt material kan man i dag rekonstruera orbitaväggarna med hög precision till nära ursprunglig anatomi. I patientfallet som presenterats lyckades man med ett anatomiskt standardimplantat till stor del återskapa korrekt orbitavolym och orbitaväggarnas tredimensionella struktur. Placeringen av dessa implantat kräver emellertid extensiv friläggning av benorbitan. Det finns ett kvarstående problem med placering av implantatet i exakt rätt position, och detta kan motivera användning av datornavigerad kirurgi. Det är viktigt att påpeka att modern orbitakirurgi kräver färdighet i kirurgi och datortomografisk bildhantering som endast kan fås om man hanterar ett större antal patienter. Det återstår att undersöka om de precisa rekonstruktioner som fås med nya anatomiska standardimplantat eller skräddarsydda implantat ger färre resttillstånd i gruppen patienter som opererats för orbitafraktur.
*
Potentiella bindningar eller jävsförhållanden: Inga uppgivna.






