Nytt ljus över infektiös endokardit
Den hittills etablerade uppfattningen av patogenesen vid infektiös endokardit kan nu komma att behöva revideras, alternativt kompletteras, efter nya observationer. Nyligen publicerades fynd av tidig bakteriell infektion i spongiosa-lagret av mitralklaffar hos kliniskt friska grisar, som sålunda bar på endokardit [1].
Det centrala budskapet är att inflammationen/infektionen var begränsad till klaffens inre och att klaffens endotelytor var intakta och saknade beläggningar av varje slag.
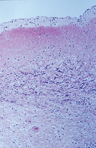
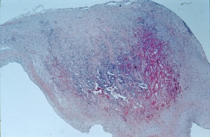
Figur 1 och 2 är PAD-bilder från mitralklaff från 2 av 14 kliniskt friska, 6 månader gamla grisar, som slaktades på vanligt sätt vid svenskt slakteri. Mitral- och trikuspidalklaffarna togs ut, och en del klipptes sterilt ner i transportmedium till bakteriologisk odling. Återstående del formalinfixerades, bäddades och färgades för mikroskopisk undersökning [2]. Inuti klaffarna fanns en anhopning av leukocyter (Figur 1), där streptokocker kunde framodlas hos 4 av 6 grisar.
Kapillärer som ingångsport
Närmare typning av bakterierna utfördes inte, men sannolikt var det frågan om Streptococcus suis, som grisar är koloniserade med i svalget [3]. Mycket vanligt är att grisar biter varandra i svansen, varför bakterier från munhåla och svalg lätt kommer in i blodet på bitna grisar.
I klaffarna hos 2 av grisarna fanns även Erysipelothrix rhusiopathiae, en annan vanlig kolonisatör hos gris.
Av avgörande intresse var att endotelbeklädnaden av såväl ovan- som undersida av klaffen var intakt och saknade ojämnheter, vegetationer eller andra förändringar på sin yta (Figur 1). Däremot fanns nekrotiskt material och granulationsvävnad inuti vissa av klaffarna, i vilka infektionen/inflammationen hunnit utvecklas längre. I detta mer framskridna infektionsskede hade även endokardiet på klaffytan börjat påverkas (Figur 2).
Eftersom klaffarnas endotelytor var intakta i tidigt infektionsskede, återstår endast möjligheten att bakterierna nådde klaffen via kapillärer i klaffarnas kanter. Dessa kapillärer bedömdes sålunda utgöra ingångsport för bakterierna. Kapillärer kunde påvisas i mitralklaffarna i samtliga 14 grisar [2].
Kapillärer har tidigare påvisats i mitralklaff hos gris [4, 5], men också hos nötboskap [5], får [5], kanin [6], marsvin [6] – och människa [7-10]!
Sedan länge etablerad patogenes
Patogenesen av infektiös endokardit hos människa har länge ansetts etablerad, och den har kunnat reproduceras i experimentella studier hos kanin och andra species.
I korthet bedöms startpunkten utgöras av en initial endotelskada eller endoteldysfunktion på klaffens yta, följd av trombpålagring på klaffytan. Först därefter fastnar bakterier, vilka tillfälligtvis befinner sig i blodet, på ytan av den initialt sterila tromben. Framför allt grampositiva bakterier har egenskaper som möjliggör denna adhesion.
Det klassiska exemplet är munhålans alfastreptokocker, som redan vid en minimal tandköttsskada, åstadkommen exempelvis vid tuggning av mat mot visst motstånd, kommer ut i blodet och cirkulerar några minuter innan det retikuloendoteliala systemet (RES) avlägsnar dem ur blodbanan.
Därmed dras en händelsekedja i gång som bl a innebär att fibrinogen utfälls till fibrin, som varvas med replikerande bakterier så att en vegetation bildas. För att en endotelskada eller endoteldysfunktion på klaffens yta och efterföljande alfastreptokockendokardit ska uppstå krävs i regel en preformerad klaffskada, klaffanomali eller klaffdysfunktion.
Stafylokocker, däremot, kan ge upphov till endokardit även utan tidigare känd klafförändring.
Kapillärer även i humana hjärtklaffar
Eftersom kapillärer påvisats i hjärtklaffar även hos människa, aktualiseras ett flertal frågor. Hur vanligt är det med kapillärer i humana hjärtklaffar? Vilka klaffar gäller det? Vilka omständigheter gör att cirkulerande bakterier slår sig ner och ger upphov till en lokaliserad infektion i en klaff via klaffens egna kapillärer? Har en från start skadad eller anomal klaff ökad mottaglighet även från kapillärsidan? Etc.
I en nordamerikansk studie från 1936 av hjärtan från 100 personer, som avlidit av andra orsaker än endokardit och som saknade sjukhistoria för endokardit tidigare i livet, återfanns tecken på aktiv eller utläkt valvulit hos 12 [7]. Gissningsvis hade dessa haft subklinisk reumatisk valvulit, eftersom detta var före penicillineran och bakteriell icke-reumatisk valvulit i flertalet fall har ett dödligt förlopp utan antibiotikabehandling.
Hos några, men inte alla dessa 12, kunde kapillärer påvisas i klaffarna. Det är givetvis omöjligt att avgöra huruvida dessa kapillärer hade uppstått sekundärt till valvuliten eller om de hade funnits från början. En avgörande observation var därför att bland de 88 fall som saknade tecken på valvulit återfanns blodkärl i klaffarna hos 74, dvs 84 procent.
Det var främst atrioventrikularklaffarna, dvs mitralis och tricuspidalis, som innehöll blodkärl. I aortaklaffarna var blodkärl betydligt mer sparsamt förekommande, återfanns oftast i en enda kusp och utgjorde då grenar från kärlen i de rikligt vaskulariserade kommissurerna.
Även i ett antal senare studier har fynd av blodkärl gjorts i hjärtats klaffar, främst atrioventrikularklaffarna [8-10].
Återstår att visa hos människa
De nya fynden hos gris – vilka otvetydigt visar att endokardit kan uppkomma genom att bakterier når och etablerar sig i en hjärtklaff via klaffens egna blodkärl – utgör en tidigare okänd och ytterst intressant patogenetisk mekanism.
Det återstår att visa om den förekommer även hos människa och i så fall hur vanlig den är. De anatomiska förutsättningarna, dvs vaskulariserade hjärtklaffar, i första hand av mitralis, finns uppenbarligen även hos homo sapiens.
Uppenbara svårigheter föreligger emellertid att systematiskt undersöka detta. Endokardit i så tidigt stadium att vegetationer eller klaffperforationer ännu inte hunnit utvecklas är knappast möjlig att diagnostisera intra vitam på människa med nu existerande tekniker. Däremot är det möjligt att undersöka hjärtklaffarna hos personer som obduceras efter att ha avlidit på grund av bakteriemi och sepsis.
*
Potentiella bindningar eller jävsförhållanden: Inga uppgivna.

