Psykopati och hjärnavbildning – en litteraturgenomgång
Medialt uppmärksammade våldsbrott i Sverige under de senaste åren har aktualiserat frågor om psykisk störning och våldsamt beteende. Moderna hjärnavbildningstekniker erbjuder ett angreppssätt för att bättre förstå de mekanismer som kan öka risken för att en individ ska bli våldsam. Med dagens tekniker kan vi inte bara avbilda hjärnans struktur och anatomi, utan även visualisera hur hjärnan arbetar. Det går exempelvis att mäta aktiveringsmönster i hjärnan under det att en person utför en uppgift eller exponeras för bilder eller filmsekvenser, vilket i sin tur kan leda till bättre förståelse för det avvikande beteende som vi möter hos patienter och klienter inom rättspsykiatri och kriminalvård.
Bland dessa individer finns ofta gemensamma drag såsom brist på empati och nedsatt impulskontroll, oavsett diagnos. Båda dessa drag är också centrala i begreppet psykopati. Vi har i denna översiktsartikel valt att fokusera just på psykopati, som utgör en av de enskilt viktigaste riskfaktorerna för återfall i våldsbrott [1-3].
Skräddarsydd behandling krävs för att minska återfallsbrott
Fördjupad kunskap om strukturella och funktionella avvikelser i hjärnan hos lagöverträdare kan sannolikt komma att influera en rad applikationsområden inom rättspsykiatri och kriminalvård, tex inom riskbedömning och riskprevention.
I en rapport om riskbedömningar, utgiven av Statens beredning för medicinsk utvärdering (SBU), framkommer vid systematisk genomgång av resultat från internationella vetenskapliga studier att det är svårt att förutsäga vilka individer inom psykiatrin och rättspsykiatrin som kommer att återfalla i brottslighet [4]. På gruppnivå kan vi uttala oss om riskfaktorer, men på individnivå är det svårare. Behovet av att kunna förutsäga risk för återfall i brott på individnivå är dock stort. Omhändertagande och riskpreventiva åtgärder måste ytterst skräddarsys på individnivå om vi ska kunna bli bättre på att minska risken för återfall i våldsbrott.
I detta sammanhang är det av centralt intresse att diskutera hur kunskap om hjärnans struktur, aktivitet och reaktivitet kan komma att bidra med information för att upptäcka individer med särskild sårbarhet avseende våldsamt beteende.
Förutom vid riskbedömningar skulle modern hjärnavbildningsteknik i framtiden även kunna vara ett komplement och hjälpmedel i förfinad diagnostik för att ytterst kunna individualisera och skräddarsy olika behandlingar.
Inom psykiatrin och rättspsykiatrin används i dag det diagnostiska systemet DSM-IV [5, 6]. Det bygger på att ett antal symtomkriterier ska vara uppfyllda för att en patient ska bli tillskriven en viss diagnos. Eftersom två patienter med samma diagnos kan ha uppfyllt olika symtomkriterier, kan dessa personer te sig väldigt olika i kliniska sammanhang, trots att de har samma diagnos.
Inom rättspsykiatrin och i kriminalvården har patienterna och klienterna det gemensamma att de alla är lagöverträdare och att många av dem har begått våldsbrott. De personlighetsdrag som ökar sannolikheten för upprepade negativa handlingar, avvikande beteendemönster och ytterst en kriminell livsstil med våldsamt beteende låter sig inte enkelt förklaras av diagnoser. De kanske snarare kan förklaras av komplexa interaktioner mellan arv och miljö som i sin tur påverkar kognitiv utveckling och social funktionsnivå.
Psykopati – brist på empati utmärkande drag
Konceptet psykopati introducerades första gången 1809 av Phillippe Pinel, som myntade begreppet »mania sans délir« (vansinne utan förvirring). I boken »The mask of sanity«, utgiven 1946, konceptualiserar författaren Hervey Cleckley begreppet ytterligare och ger i boken beskrivningar av patienter med symtom som ytlighet, egocentricitet, brist på känslor, svårighet att ta ansvar och oförmåga att lära sig av negativa erfarenheter [7].
Psykopati finns inte som diagnos i DSM-IV [5, 6]; däremot finns diagnosen antisocial personlighetsstörning, vilken ofta förväxlas med begreppet psykopati. Diagnoserna har ett flertal gemensamma drag men är inte likvärdiga. Ett vanligt sätt att bedöma grad av psykopati är att använda sig av checklistan Psychopathy checklist-revised (PCL-R), utvecklad av den kanadensiske psykologen Robert Hare [8, 9].
PCL-R består av två dimensioner: en med fokus på interpersonellt agerande och känsloliv och en med fokus på beteende. Just det att personlighetsdrag och beteende blandas anses vara en svaghet med skalan. Det finns skäl att misstänka att det finns subgrupper av psykopater med avseende på störning i känslolivet och antisocialt utagerande beteende. Ett flertal forskare har gjort en distinktion mellan primär och sekundär psykopati [10-13]. Vid studier av hjärnans funktion och aktiveringsmönster hos psykopater har dessa eller andra undergrupper sällan beaktats, vilket möjligen är en av anledningarna till de motsägelsefulla resultat man ibland finner inom forskningsfältet.
Ett utmärkande drag i den psykopatiska personligheten är brist på empati. En viktig komponent i empati är förmågan att fysiologiskt reagera på känslomässiga stimuli. Vid ett skrämmande stimulus reagerar hela kroppen: musklerna spänns, andningen blir ytligare, puls och blodtryck stiger och kroppen gör sig beredd på att antingen kämpa eller fly. Det finns studier som tyder på att individer med psykopati inte reagerar med stress i potentiellt farliga situationer, vilket leder till att de inte förstår att avhålla sig från dessa [14-18].
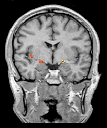
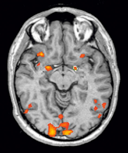
Responsen från autonoma nervsystemet styrs av bla amygdala, en central struktur för affektiv bearbetning, lokaliserad framför hippocampus i mediala temporalloberna. Aktuell forskning tyder på att försämrad emotionell inlärning, till följd av dysfunktion i amygdala, kan vara en bakomliggande mekanism vid psykopati [19-21]. Betydelsen av förändringar i frontallobernas struktur och funktion kopplat till psykopati har också diskuterats.
De specifika områden av frontalloberna som reglerar emotionell kontroll – dorsolaterala prefrontala kortex, orbitofrontala kortex och mediala frontala kortex – kan i det aktuella sammanhanget förväntas vara av särskilt intresse, eftersom förändrad funktion i dessa områden skulle kunna leda till förändrad aktivitet i amygdala.
Syfte
Syftet med denna artikel är att presentera en genomgång av den befintliga litteraturen inom området hjärnans struktur och funktion hos individer med antisocial personlighetsstörning och/eller psykopati mätt med hjärnavbildningsmetoder.
Metod
Systematisk litteratursökning gjordes i PubMed, Cochrane och PsychINFO genom att kombinera sökorden »mentally disordered offender«/»aggression«/»violence«/»crime«/»forensic psychiatry«/»brain imaging«/»neuroimaging«/»fMRI«/ »MRI«/»PET«/»SPECT«/»lack of empathy«/»psychopathy«/ »antisocial personality disorder«. Vid sökningen angavs ingen specifik tidsavgränsning.
Sökningen resulterade i 59 artiklar, åtta böcker och två avhandlingar. Endast artiklar skrivna på engelska inkluderades. Studier som fokuserade på områden utanför vårt intresseområde, som inkluderade andra patientgrupper än just patienter med antisocial personlighetsstörning eller psykopati eller som använde andra metoder än hjärnavbildning exkluderades. Samtliga artiklars referenslistor har studerats, och relevanta artiklar som behandlar hjärnavbildning och psykopati har inkluderats.
Det referensmaterial som den aktuella litteraturgenomgången baseras på bestod slutligen av 46 artiklar, publicerade mellan 1991 och 2007. Vi har delat upp materialet i översiktsartiklar (12), strukturella studier (11) och funktionella studier (21). Dessutom har två »brev till redaktören« (letters to the editor) inkluderats [22, 23].
Resultat
Översiktsartiklar
Det har tidigare publicerats 12 internationella systematiska översiktsartiklar [17, 19, 20, 24-32]. Dessa bygger till stor del på de originalarbeten som redovisas under de följande underrubrikerna »strukturella studier« och »funktionella studier«. Resultaten tyder på samvariation mellan strukturella och funktionella avvikelser i frontalloberna och antisocialt och våldsamt beteende [24, 26, 27, 29, 30]. Vidare tyder resultaten på att avvikelser i temporalloberna och det limbiska systemet samvarierar med psykopatiska drag [19, 24, 25, 32].
Blair föreslog i en översiktsartikel från 2006 att det är en störd emotionell inlärning, vilken kan leda till okänslighet för bestraffning, som är anledningen till att psykopatiska individer misslyckas med att undvika handlingar som skadar andra [20].
Störningar i limbiska systemet, okänslighet för bestraffning och extrem känslighet för belöning diskuterades vidare i en artikel skriven av van Honk och Schutter [31].
I en annan artikel redovisades resultat från funktionella studier gjorda på friska individer, vilka visade att det fanns belägg för samvariation mellan frontal aktivering och aggression även i en icke-psykiatrisk population [26].
Strukturella studier
Litteratursökningen resulterade i 11 strukturella studier [18, 28, 33-41], och i dessa har olika metoder för att mäta volym i hela eller delar av hjärnan använts, exempelvis segmentering [18, 33, 41], manuell utlinjering [35, 39, 40], semiautomatisk kombination av manuell och automatiserad segmentering [34] och stereologisk metod med Cavalieri-principen [36-38]. Strukturella skillnader har påvisats i frontalloberna, temporalloberna, corpus callosum och amygdala hos antisociala och psykopatiska personer jämfört med kontrollpersoner.
Dock har resultaten varit motsägelsefulla. En del studier har visat på en temporal substansförlust hos våldsamma patienter [28, 35] och antisociala patienter [35, 37, 38], medan andra visat på asymmetri i hippocampus hos kriminella psykopater [40]. Några studier har funnit minskad frontal volym [18, 33], medan andra inte kunnat påvisa signifikanta skillnader i hjärnstorlek mellan individer med psykopati eller antisocial personlighetsstörning och friska kontroller [34, 36].
I en studie av Raine och medarbetare 2003 undersöktes individer med antisocial personlighetsstörning och psykopati, och man fann hos dessa individer en ökning av vit substans i corpus callosum i jämförelse med friska kontroller [41].
I en nyligen publicerad studie undersöktes kortikal tjocklek hos våldsamma patienter med schizofreni och/eller antisocial personlighetsstörning jämfört med friska kontroller. Våldsamt beteende samvarierade med tunnare kortex i mediala inferiora frontala och laterala sensoriska motorkortex, särskilt i höger hemisfär. Mer detaljerade analyser visade att det var framför allt schizofrena patienter som också hade antisocial personlighetsstörning, som uppvisade tunnare kortex i inferiora mesiala regioner [39].
Funktionella studier
I de 21 funktionella studier som inkluderats har följande metoder använts: SPECT (single photon emission computerized tomography) [42-44], PET (positronemissionstomografi) [45-51] och fMRI (functional magnetic resonance imaging) [14, 52-61].
SPECT är en nukleär tomografisk bildteknik, som gör det möjligt att studera blodflöde i hjärnan antingen i vila eller under en aktiv uppgift. Två studier visade ett minskat frontalt blodflöde under vila både hos alkoholister med antisocial personlighetsstörning [43] och hos individer som begått våldsbrott [43, 44].
I en tredje studie jämfördes individer med psykopati enligt PCL-R [8, 9] från ett drogavvänjningsprogram dels med icke-psykopatiska patienter från samma drogavvänjningsprogram, dels med en grupp friska kontroller, under det att de utförde samma semantiska uppgift bestående av neutrala och emotionella ord. Jämfört med båda kontrollgrupperna visade de psykopatiska individerna en relativ ökning av blodflödet framför allt i frontala temporala regioner bilateralt vid utförande av de emotionella delarna av uppgiften. Detta tolkades som att de i högre grad var beroende av kognitiva resurser för att bearbeta emotionella ord än kontrollgrupperna [42].
PET är en avbildningsteknik som bygger på emission av positronstrålar vid radioaktiva isotopers sönderfall. PET-teknik kan användas för att tex studera glukosmetabolismen i hjärnan. Resultaten från PET-studierna tyder på lägre glukosmetabolism i temporalloberna och frontalloberna, både i prefrontal- och i orbitofrontalkortex, hos våldsamma patienter [45, 46, 51].
Raine och medarbetare har publicerat flera resultat från en PET-studie av kriminalvårdsklienter dömda för mord i USA [47-50]. Dessa individer hade, enligt amerikansk lagstiftning, förklarats icke skyldiga till följd av psykisk sjukdom eller för sjuka för att delta i rättgång. De inkluderade fick genomgå ett uppmärksamhetstest som aktiverade frontalloberna samtidigt som deras hjärnaktivitet undersöktes med PET. Resultaten visade en signifikant lägre glukosmetabolism i mediala och laterala prefrontalkortex hos mördarna jämfört med en grupp friska kontroller [49, 50]. Då man i analysen kontrollerade för socioekonomiska faktorer under uppväxten visade det sig att endast de med en relativt stabil uppväxt uppvisade lägre glukosmetabolism prefrontalt jämfört med såväl den grupp som varit psykosocialt missgynnad under barndomen som en frisk kontrollgrupp [47].
I ytterligare analyser delades gruppen mördare upp med avseende på om de använt affektivt eller predatoriskt våld. Affektivt våld är reaktivt och impulsivt och följer som en direkt respons på stimuli. Fysiologiskt sett är det förenat med förhöjd autonom aktivitet [62]. Ett exempel på affektivt våld är en verbal konflikt som trappas upp till ett häftigt gräl och till slut övergår till slagsmål. Det predatoriska våldet däremot är mer instrumentellt, målinriktat och kontrollerat till sin natur och är inte förenat med ökat stresspåslag [62]. Exempel på predatoriskt våld kan vara en välplanerad hämndaktion som svar på en kränkning eller ett målinriktat våld, exempelvis i samband med ett bankrån.
Den grupp som använt affektivt våld uppvisade minskad glukosmetabolism prefrontalt men ökad högersidig metabolism subkortikalt, innefattande amygdala, hippocampus och talamus, jämfört med kontrollgruppen. Gruppen som använt predatoriskt våld uppvisade också ökad glukosmetabolism subkortikalt på höger sida men ett aktiveringsmönster mer likt kontrollgruppens i de prefrontala regionerna. Författarna tolkade detta som att ökad subkortikal aktivitet skulle vara förenad med aggressivt temperament och att det på så sätt hade funnits en bibehållen dämpande frontal aktivitet hos de individer som använt predatoriskt våld jämfört med dem som använt affektivt våld [48].
Med fMRI får man ett indirekt mått på hjärnaktivitet (Fakta). Studier som använt denna metod har visat avvikelser i hjärnaktiveringsmönster i samband med olika semantiska uppgifter hos kriminella psykopater. Individer med psykopati tog längre tid på sig att lösa semantiska uppgifter med abstrakta och konkreta ord än kontroller [56]. En del studier har undersökt friska individer som skattats högt på Psychopathy personality inventory (PPI), en checklista som kan användas för att bedöma psykopatiska drag i normalpopulationen [65].
I en studie jämfördes studenter som skattats högt respektive lågt på PPI med avseende på en igenkänningsuppgift med känslomässiga ansikten. De studenter som skattats högt på PPI uppvisade ett annorlunda aktiveringsmönster, tydande på att dessa individer använde ett mer konkret sätt att bearbeta känslomässiga stimuli på i jämförelse med dem som skattats lågt på PPI [53].
I en annan studie jämfördes kriminella psykopater dels med kriminella icke-psykopater, dels med friska icke-kriminella, vid utförande av ett emotionellt minnestest. Resultaten visade att balansen mellan det limbiska systemet och den mer överordnade frontala delen av hjärnan tycktes vara avvikande hos de kriminella psykopaterna. Vid emotionella stimuli aktiverades hos psykopaterna områden som annars mest används för bearbetning av kognitiva uppgifter, vilket skulle kunna tala för en förändrad funktion i deras limbiska system [55].
En annan studie visade dock på överaktivering i amygdala och andra limbiska strukturer hos en grupp psykopater då de tittade på emotionella bilder [58]. Resultat från ytterligare en studie visade på skillnader mellan kriminella psykopater, skattade med PCL-R [8, 9], och kontroller med avseende på förmåga att bearbeta emotionella ansiktsuttryck. Psykopaterna uppvisade signifikant lägre aktivering i gyrus fusiformis och extrastriatala kortex när de exponerades för glada, neutrala och rädda ansikten i jämförelse med kontrollerna [52].
De studier som undersökt den neurobiologiska basen för klassisk betingning hos psykopater, där man associerar ett neutralt stimulus med ett obehagligt, har varit motsägelsefulla. En studie visade att en grupp psykopater hade kraftigare aktivering i amygdala och prefrontala kortex än kontroller, vilket tolkades som att det krävdes större ansträngning och att det tog längre tid för psykopaterna att forma associationen [60]. I ytterligare två andra studier fann man däremot att en grupp psykopater inte uppvisade samma grad av aktivering i den limbiska prefrontala banan, involverande orbitofrontala kortex, insula, anteriora gyrus cinguli och amygdala, som kontrollerna gjorde [14, 61].
Kumari och medarbetare undersökte hjärnaktivitet relaterad till arbetsminne hos en grupp individer med antisocial personlighetsstörning, en grupp schizofrena individer och en grupp friska kontroller. Jämfört med den friska kontrollgruppen visade individer med antisocial personlighetsstörning lägre aktivitet i vänster frontallob och anteriora gyrus cinguli under uppgiften [57].
I en annan studie jämfördes en grupp schizofrena individer med samsjuklighet av antisocial personlighetsstörning och missbruk med en grupp schizofrena utan annan samsjuklighet, med avseende på impulskontroll. Resultaten visade att de schizofrena individerna med samsjuklighet av antisocial personlighetsstörning och missbruk hade signifikant lägre aktivering i frontala basala kortex men också högre aktivering i frontala motorkortex, premotorkortex och i anteriora gyrus cinguli i jämförelse med gruppen schizofrena utan annan samsjuklighet [54].
Slutligen, i ytterligare en studie testades friska försökspersoner som skattat sig själva på PPI med spelet Prisoner´s dilemma, som går ut på att fatta beslut som är grundade antingen på emotionella eller kognitiva motiv. De som uppvisade flertalet psykopatiska personlighetsdrag, och således skattades högt på PPI, hade lägre aktivering i frontalloberna och amygdala och bakre delen av anteriora gyrus cinguli [59].
Diskussion
Ett återkommande problem vid jämförelsen av olika studier inom det aktuella forskningsfältet är oklarheten kring vilka diagnosgrupper som studerats. Somliga studier undersöker individer med psykopati, medan andra undersöker våldsamma patienter med psykiatrisk diagnos. Dessutom finns det ofta psykiatrisk samsjuklighet av exempelvis schizofreni, beroendesjukdomar eller personlighetsstörningar hos dem som studerats. En individ med schizofreni kan uppvisa flera psykopatiska drag såsom ytliga affekter och brist på empati, men frågan är om detta är ett uttryck för schizofrenisjukdomen eller om det beror på en psykopatisk personlighet? Somliga studier är gjorda på kriminellt belastade personer, ofta frihetsberövade, medan andra studier är gjorda på individer i samhället som uppvisar psykopatiska drag.
Val av kontrollgrupp är också kritiskt; ofta har man valt att jämföra en grupp friska kontroller som inte är frihetsberövade och som är fria från kriminell belastning med en patientgrupp som kan bestå av livstidsdömda fångar på kriminalvårdsinrättning.
Såväl i den kliniska vardagen som i forskning är det viktigt att beakta att gruppen psykopater sannolikt inte är homogen. I framtiden kommer vi troligen att tala om olika subgrupper av psykopater, tex primära (mer kontrollerade) och sekundära (mer impulsiva) [13]. Innan någon sådan eventuell uppdelning blivit etablerad är det därför viktigt att noggrant redogöra för vilka typer av symtom som studeras. Den primära psykopaten med sin emotionella störning och sina interpersonella problem skiljer sig sannolikt en hel del från den sekundära psykopaten som är mer impulsiv, beteendestörd och ofta märkt av miljöfaktorer.
För att öka kunskapen om sådana subgrupper är bla studier av interaktion gen–miljö av stor betydelse. En möjlig skillnad mellan de två subgrupperna kan vara den empatiska förmågan. Går den förmågan att tränas upp? Med en relativt ny metod, sk real-time-fMRI, kan man se BOLD-responsen (blood-oxygen-level dependency) och indirekt hjärnaktiveringsmönstret online, medan personen undersöks i magnetkameran. Med hjälp av sådan »biofeedback-teknik« har man undersökt friska personer som, genom att själva framkalla olika känslor, kan påverka sitt eget aktiveringsmönster i amygdala [66-68].
I Sverige bedrivs för närvarande forskning där man försöker utveckla behandlingsprogram för psykiskt störda lagöverträdare med hjälp av datorbaserad simulering. Ett objektivt mått för att utvärdera behandlingseffekt skulle kunna vara att med hjälp av avbildningstekniker studera normalisering av aktivitet efter behandling i relevanta hjärnområden och nätverk, tex amygdala och interaktionen mellan frontala och subkortikala områden.
Vad kan en bild av hjärnan och dess aktivitet säga oss? Ska man betrakta en gärningsman som allvarligt psykiskt störd eller mindre ansvarig för sina handlingar bara för att personen har ett annorlunda sätt att bearbeta känslor i hjärnan? Kan bildtekniken i framtiden komma att ersätta vår nuvarande diagnosmanual DSM-IV? Troligen inte, men med dagens kunskaper inom hjärnforskning bör vi kanske fundera över om dessa undersökningar skulle kunna vara ett komplement till de nuvarande symtomdiagnoserna. I stället för att fokusera på endast diagnoser i DMS-IV kanske det är dags att fokusera på särskilda svårigheter, såsom brist på empati och impulsivitet, och då också beakta att dessa är dimensionella begrepp, som inte helt enkelt låter sig kategoriseras.
Såväl vid risk- och behovsanalys som vid försök till rehabilitering vore det kanske bättre att exempelvis beskriva omfattningen av impulsivitet och empatistörning hos den kriminella psykopaten i stället för att som i dag endast ange diagnosen antisocial personlighetsstörning.
Slutsats
Sammanfattningsvis tyder de hittillsvarande resultaten från hjärnavbildningsstudier på att en förändrad funktion och struktur i delar av frontalloberna (dorsolaterala prefrontalkortex och orbitofrontalkortex) och i temporalloberna (amygdala) är kopplad till våldsamt och antisocialt beteende samt psykopati. Flera studier har redan påvisat en stark relation mellan aktivitet i dessa kortikala och subkortikala hjärnregioner och emotionell reglering hos friska kontroller [69, 70].
De ibland rent motsägelsefulla resultat som redovisas tror vi beror på gemensamma problem inom forskningsfältet, såsom otydlighet kring vilka patientgrupper som undersökts och att olika test och metoder använts.
I nuläget används fMRI inom forskningen för att lära oss mer om vilka biologiska avvikelser som finns hos de individer som begår våldsbrott. Med framtida bättre bildteknik kan man tänka sig att detta verktyg skulle kunna vara ett komplement till den individuella kliniska bedömningen och dessutom användas vid utvärdering av behandlingseffekter.
Den enorma kunskapsutveckling som snabbt sker inom hjärnforskning gör att begreppet individuell sårbarhet snart kanske kan komma att inbegripa avvikande aktivitet och reaktivitet i vissa delar av hjärnan.
*
Potentiella bindningar eller jävsförhållanden: Lars-Olof Wahlund har konsultuppdrag åt AstraZeneca och General Electric.

