Gå till innehållet
Gå till startsidan

Denna webbplats vänder sig till läkare

Sök

Recidiverande appendicit hos appen­dektomerad patient 

Oupptäckt appendixduplikatur kan fördröja diagnos

Läs artikeln som pdf

En 35-årig kvinna sökte till en närakut i Stockholm då hon hade ont i magen. Det framkom att hon 2 år tidigare haft en appendicit och sedermera genomgått en laparoskopisk appendektomi. I övrigt var hon frisk och hade ingen relevant ärftlighet eller några signifikanta riskfaktorer. Hon hade för 6 månader sedan fött barn och inte haft några särskilda komplikationer relaterade till detta.

Fallbeskrivning

Kvinnan beskrev på närakuten att smärtan i magen började tidigt på morgonen samma dag. Den lokaliseras till epigastriet och beskrevs som konstant och huggande. Epigastralgin var associerad med illamående, och hon hade kräkts en gång under dagen. Hon hade också haft totalt tre stycken diarréepisoder. 

På närakuten uppvisade hon normala vitalparametrar motsvarande National early warning score (NEWS) 0 poäng; CRP <5 mg/l, U-hCG negativt. Hjärta och lungor auskulterades invändningsfria. Buken auskulterades med normala tarmljud och palperades mjuk utan några resistenser. Det fanns en lättare ömhet epigastriellt samt dunkömhet över höger arcus. 

Läkaren ordinerarade antacida, varpå kvinnan förbättrades och skickades hem med recept på protonpumpshämmare samt remiss för uppföljning på en vårdcentral. Differentialdiagnostiskt diskuterades att det möjligtvis rörde sig om en begynnande kolecystit men att det mest sannolikt var en gastrit.

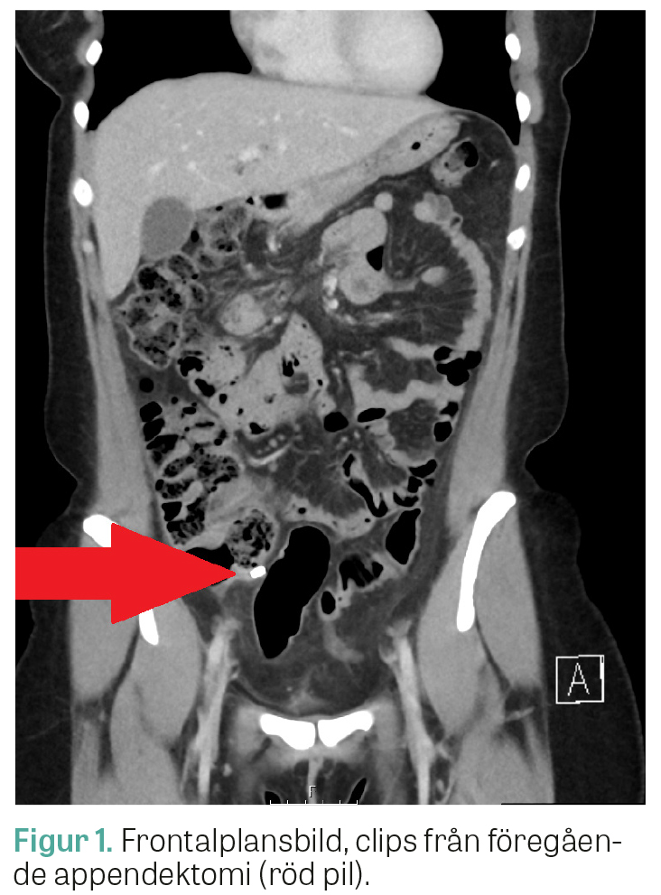
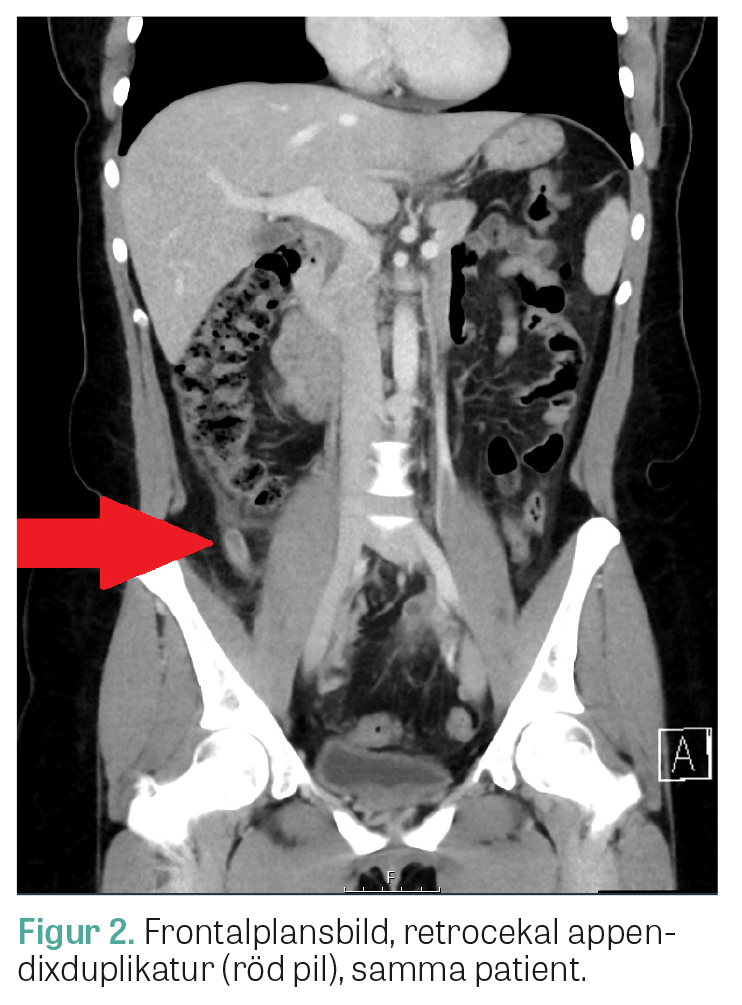
2 dagar senare sökte patienten till en akutmottagning med förvärrade smärtor som hade blivit tydligare lokaliserade till höger i nedre delen av buken. Patienten hade fortsatt NEWS 0 poäng. CRP hade däremot stigit till 38 mg/l. LPK var 11 × 109/l. Buken palperades med lokal peritonit i höger fossa. Akutläkaren remitterade patienten till en akut gynekologisk undersökning. Bedömningen var att patienten inte hade någon påvisbar gynekologisk åkomma, och symtombilden tolkades som en kirurgisk buk. En datortomografi av buken beställdes, och patienten återvände efter denna till akutmottagningen. Datortomografin visade clips från tidigare appendektomi (Figur 1), men även lokal retning i fettvävnaden kring en retrocekal struktur som tedde sig tubulär och väggförtjockad, och radio­logen väckte frågan om abscess, alternativt stumpappendicit (Figur 2). Tanken att det kunde röra sig om en appendixduplikatur väcktes också. Kvinnan lades in fastande med smärtlindring och uppvätskning på en kirurgisk avdelning. De kommande dagarna förbättrades hon kliniskt och laboratoriemässigt. Fallet drogs efter 2 dagar på kirurgklinikens konferens med bildgranskning, och diagnosen appendixduplikatur ställdes baserat på sammanställning av radiologisk och klinisk bedömning samt klinskt förlopp. Patologisk-anatomisk diagnos (PAD) kan inte användas för att säkerställa diagnosen om patienten behandlas konservativt, men eftersom patienten var kliniskt återställd gjordes bedömningen att hon kunde skrivas hem under aktiv exspektans. Patienten informerades om att hon har en appendix­duplikatur som sitter retrocekalt och som bör uppmärksammas vid framtida kontakt med vården.

Diskussion

Appendicit är en av de vanligaste kirurgiska orsakerna till buksmärta, med en rapporterad global incidens på 233 per 100 000 invånare/år [1]. Appendixduplikatur är däremot mycket mer sällsynt: incidensen var 1 per 25 000 invånare/år enligt en studie av Collins et al 1955 [2] där 50 000 obduktioner genomfördes. Dessa siffror (2 per 50 000 invånare/år) angav också Tinkham et al 2021 [3] och Christodoulidis et al 2012 [4]. Kjossev uppskattade 1996 incidensen till 1 per 11 000 invånare/år [5]. Enligt Kjossev fanns det totalt 60 fall beskrivna medicinhistoriskt fram till 1996. Tinkham et al menade att den siffran var uppe i 100 fall 2021. Dessa studier verkar vara samstämmiga vad gäller incidensen av appendixduplikatur.

Christodoulidis et al [4] beskriver i sin artikel ett fall med misstänkt appendicit där en explorativ laparotomi utfördes och en oretad appendix i vanlig lokal hittades, men efter vidare exploration hittades en andra retrocekal appendix med pågående inflammation, och båda appendektomerades komplikationsfritt. Yanar et al [6] från beskriv 2004 ett fall där en 15-årig pojke sökte med tre dagars anamnes på buksmärtor såsom vid en akut appendicit och där man under operation fann en perforerad inflammerad appendix samt en oretad appendixduplikatur. Yanar et al menar att en kirurg måste vara medveten om att diagnosen existerar, då det finns risk för allvarliga komplikationer om detta missas.

Travis et al beskriver i en artikel från 2008 ett fall med en 17-årig tidigare appendektomerad pojke som sökte akutmottagningen med appendicitsymtom där datortomografi visade vätska i höger fossa men utan appendicitbild [7]. Patienten utvecklade buksepsis, och explorativ laparoskopi påvisade en andra retrocekal rupturerad och gangränös appendix, som appendektomerades. Travis et al menar att det finns stor risk att missa dessa appendixduplikaturer, speciellt om de sitter retrocekalt, och rekommenderar att kirurgerna alltid inspekterar hela cekum vid appendektomier.

Bluett et al beskrev 1987 en patient med viktnedgång och ileus med misstänkt  adenokarcinom nära cekum som föranledde högersidig hemikolektomi och ileo-transversal kolostomi, där PAD visade en appendixduplikatur [8].

Wallbridge et al lade i British Journal of Surgery 1962 [9] fram ett första klassifikationssystem, som är en vidareutveckling av anatomen Caves arbete från 1936 [10] (se Tabell 1 och Figur 3). Typ A och B beskrivs som de vanligaste typerna av appendixduplikatur, och övriga varianter är betydligt ovanligare och inte sällan associerade med missbildningar som upptäcks redan i barnaåren. Vissa av dessa kan upptäckas en passant vid radiologiska undersökningar hos asymtomatiska patienter. Nageswaran et al [11] menar i sin artikel att B2-varianten är den vanligaste och utgör cirka 37 procent av alla fall där anatomiska förhållanden beskrivits och 53 procent av dem som kan klassificeras i enlighet med Cave–Wallbridge. I studien framkommer att den retrocekala varianten tenderade att vara längre (median 67,5 mm, variationsvidd 20–200 mm) jämfört med den framåtriktade varianten (median 50 mm, variationsvidd 15–80 mm). Avståndet mellan de två typerna av appendix var i genomsnitt 30 mm (variationsvidd 10–200 mm). Författarna menar också att det är rimligt att överväga profylaktisk borttagning av en icke-inflammerad appendixduplikatur, särskilt om den ligger nära den inflammerade appendixen. Detta bör dock vägas mot patientens individuella förutsättningar och risker.

I en fallrapport från 1968 beskriver Tinckler [12] ett ännu sällsyntare fall av appendixtriplikatur hos en 12 månader gammal kinesisk pojke med normal karyotyp och kognitiv utveckling. Till att börja med noterades det att pojken hade missbildningar i form av blåsexstrofi, penisduplikatur, ofullständig slutning av symfysen samt malrotation av mag–tarmkanalen och njurarna. Under en bilateral ureteroileal transplantation såg kirurgerna att patienten hade tre appendix, och en trippel-appendektomi utfördes.

Den 35-åriga kvinnan i vårt fall verkade, enligt vad som framkom i journalgenomgången, ha en appendixduplikatur av typ B2. Fallet avlöpte väl trots viss fördröjning. Vid hennes appendektomi två år tidigare hade man inte upptäckt den retrocekala duplikaturen, vare sig radiologiskt via ultraljud eller vid laparoskopi. Modaliteten ultraljud var sannolikt suboptimal för att upptäcka en icke-inflammatorisk retrocekal appendixduplikatur. Att tillståndet kan vara svårt att identifiera kan i värsta fall leda till en fördröjning i handläggningen med kliniskt signifikanta konsekvenser på kort och lång sikt, exempelvis allvarliga bukinfektioner, perforationer, abscesser och ileustillstånd såsom beskivits i tidigare fallrapporter ovan. Läkare som arbetar inom akutsjukvård bör vara medvetna om denna sällsynta anatomiska variation samt övriga differen­tialdiagnoser, som stumpappendicit och cekaldiverti­kulit, när patienter som tidigare appendektomerats söker med en appendicitbild på nytt.

Jobb i fokus

Mer att läsa

Mer att läsa