Gå till innehållet
Gå till startsidan

Denna webbplats vänder sig till läkare

Sök

Snabbspår vid lungcancer gav halverad utredningstid

Läs artikel som PDF

Långa väntetider inom tumörsjukvården är ett problem. Inte minst gäller det lungcancer, som har varit en eftersatt tumörgrupp, trots att det är den vanligaste orsaken till cancerdöd i Sverige och numera även dödar fler kvinnor varje år än bröstcancer gör. Den dåliga prognosen har sannolikt bidragit till ett begränsat intresse för sjukdomen jämfört med andra tumörgrupper och därmed till en »ond cirkel« vad gäller omhändertagandet av dessa patienter. 

Data från det nationella kvalitetsregistret för lungcancer visar att mediantiden för utredning av lungcancer (tiden från remissankomst till behandlingsbeslut) är 30 dagar [1]. Vid tidig lungcancer är denna tid 49 dagar! Till detta kommer patient- och läkarfördröjning (tiden till dess att remiss sänds till utredande klinik). Slutligen dröjer det innan behandlingen startas; totalt kan det röra sig om många månader [2]. Femårsöverlevnaden vid lungcancer är endast 15 procent [1, 3]. De flesta som överlever har undergått kurativt syftande kir-urgi, men långtidsöverlevnad kan också ses efter multimodal onkologisk behandling [1]. PET/DT har förbättrat möjligheterna till en mer noggrann stadieindelning, vilket är en förutsättning för att kunna välja adekvat behandling. Socialstyrelsens riktlinjer för lungcancer rekommenderar också metoden [4].

Fakta 1. Snabbspårsmodell

Vecka 1:

  • Remissgranskning av erfaren specialist, planering.

Vecka 1–2:

  • Fredag: Nybesök hos specialist
  • Måndag: PET/DT
  • Tisdag: Fiberbronkoskopi (endobronkiellt ultraljud om PET/DT så indikerar)
  • Torsdag: Terapironder
  • Fredag (eller måndag vecka 3): återbesök

Snabbspår Karolinska

I Stockholms läns landsting är utredning och behandling av lungcancer centraliserade till Karolinska universitetssjukhusets lung- och allergiklinik vid utredningsenheterna i Solna och Huddinge. Över 1 000 patienter utreds där varje år för misstänkt lungcancer, och 700 nya fall diagnostiseras. I december 2009 infördes i Solna ett schemalagt utredningsprogram, Snabbspår Karolinska, som inkluderar PET/DT, för att försöka förkorta utredningstiden. Utredningen sker i nära samarbete med klinikerna för röntgen, nuklearmedicin, toraxkirurgi och onkologi. Programmet ingår i ett större projekt som syftar till att skapa ett lungonkologiskt centrum för att förbättra utredning och behandling av lungcancer. 

Material och metod

Ett flödesschema för utredning av starkt misstänkt lungcancer i stadium I–III, dvs potentiellt botbara patienter, skapades (Fakta 1). Från starten har till att börja med en, numera två, patienter per vecka ingått. Patienterna selekterades av en erfaren lungspecialist utgående från remissuppgifter och röntgenutlåtanden. Inbokning av mottagningsbesök, diagnostis       ka ingrepp och bilddiagnostik görs av mottagningssköterska. Vi redovisar här de första 80 patienterna.

Resultat

Av totalt 80 patienter hade vid remisskrivandet 71 redan genomgått DT-undersökning; övriga nio endast lungrönt­gen­undersökning. 78 patienter fullföljde programmet, och PET/DT och bronkoskopi utfördes på 79 patienter. En undersökning avbokades då det vid röntgengranskning uppdagades att det rörde sig om spridd sjukdom. 58 patienterna hade lungcancer, varav flertalet adenokarcinom. Tre patienter hade metastaser från annan malignitet, och två visade sig vara lymfom. 64 procent av lungcancerpatienterna ansågs vara färdigutredda efter utredningsprogrammet. 

Ytterligare diagnostik behövdes för 21 av de 58 patienterna med lungcancer, vanligen för att bekräfta cancerdiagnosen i tveksamt operabla fall eller där riktad strålbehandling (i regel med transtorakal punktion) övervägdes (nio fall) eller för att utesluta eller konfirmera spridd sjukdom. Sensitiviteten för cancer var hög vid PET/DT. Endast en av de 63 maligniteterna bedömdes vara negativ (Tabell I, Figur 1). Spridd sjukdom (stadium 4) kunde påvisas hos 17 patienter. 

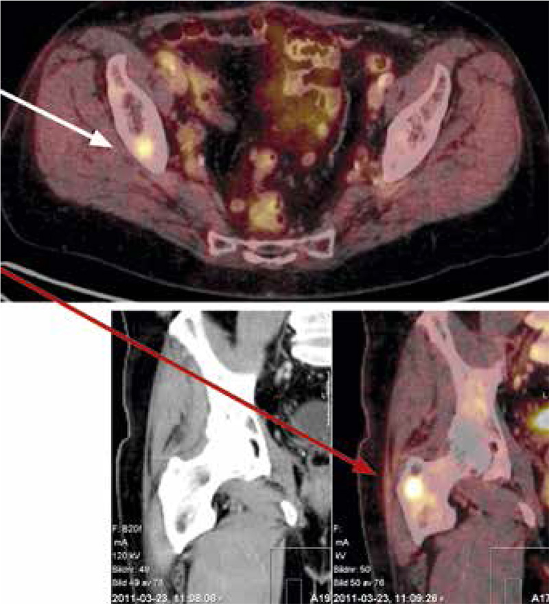
Den vanligaste metastaslokalen var skelettet, där flertalet patienter saknade lokala symtom (Figur 2 och 3). Engagemang av regionala lymf­körtlar påvisades också i många fall. Tre fall av tidigare ej känd synkron tumör påvisades: bröstcancer, prostatacancer respektive rektalcancer. Falskt positiva fynd förekom också vid t ex infektioner. 

Totalt gjordes 29 operationer, varav två med benignt fynd. Två fall utgjordes av lymfom och ett av metastas från gynekologisk cancer. En patient hade en ovanlig tumör, ett epitelialt hemangioendoteliom, med malign potential. Två av lungcancerfallen var inoperabla, medan 21 kunde opereras radikalt. En patient erbjöds strålknivsbehandling och 15 patienter kurativt syftande kemoradioterapi. Två patienter avled före behandling och en postoperativt. Totalt kunde alltså 37 av 58 patienter med lungcancer (63 procent) erbjudas kurativt syftande behandling. 

Mediantiden för nybesök var sju dagar efter att remiss anlänt. Utredningstiden var tio dagar i median. Hela utredningen (från remissankomst till behandlingsbeslut) tog 17 dagar i median för dem med lungcancer (Figur 4). Mediantiden från behandlingsbeslut till dess att behandling inleddes var 19 dagar för alla och 22 dagar för de opererade.

Diskussion

Ett snabbspår av denna typ kräver fasta tider som kan bokas av planeringssjuksköterska för mottagningsbesök, röntgen, bronkoskopi, PET/DT och konferenser med onkologer och toraxkirurger. Det är också viktigt att patolog-/cytologavdelningen kan ge snabba svar. Här behövs ett nätverk mellan inblandade och förståelse för utredningsprocessen. En fördel är att patienten från början kan ges en individuell plan för utredningen, vilket efterlysts från patienthåll. Stor erfarenhet hos remissbedömarna – liksom viss minimikvalitet på remisserna – är en förutsättning för att kunna upprätthålla kvaliteten. Kanske har vi varit väl restriktiva eftersom »träffsäkerheten« varit så stor, betydligt större än i t ex Danmark [5].

Risker

Det beskrivna snabbspåret är utvecklat specifikt för patienter med tumörstadium I–III och där kurativ terapi synes vara möjlig. Den största delen av våra patienter har tyvärr spridd sjukdom eller andra tillstånd som gör dem mindre lämpade för denna utredningsväg. Dessa patienter behöver klinisk bedömning, information och diskussion kring diagnostik och terapi och individuell planering. Risken för att ett snabbspår används på bekostnad av dessa patienter finns, men granskning av väntetiderna före och efter införandet av snabbspåret talar emot det. I stället sparas resurser. Det blir färre återbesök och inte minst färre samtidiga »bollar i luften«.

Tidens betydelse på gott och ont

Vilken betydelse har snabb utredning? Rent medicinskt har man aldrig kunnat påvisa någon effekt på t ex överlevnad. I stället föreligger ett omvänt förhållande. Ju snabbare utredningstid, desto sämre prognos. Det beror på att patienter med dramatiska symtom – som hemoptys, hjärnmetastasering, skelettsymtom, stora palpabla lymfkörtlar etc – snabbt kommer till läkare och är lätta att diagnostisera men ofta har spridd sjukdom med dålig prognos. 

I många fall, särskilt nu när DT av torax har blivit en vanlig undersökning, är förutsättningen också att man observerar patienten länge, ibland upp till två år, innan man ser en säker tillväxt av en förändring och en utredning därmed startas. Tiden har däremot stor psykologisk betydelse för patienten, och snabb och effektiv utredning sparar sannolikt också sjukvårdsresurser. 

Hur snabbt ska man då utreda? Vi tror att en vecka är optimalt. Då hinner patienten även »anpassa sig« bättre, vilket inte ska underskattas. Att få hela utredningspaketet på en dag har prövats [6]. Det innebär att patienten tas in på morgonen och får besked på eftermiddagen. Detta kräver mycket god tillgång till sjukvårdsresurser och kan leda till att patienten inte hinner med psykologiskt.

Konklusion

Projektet utgör en pilotstudie som ett led i ett projekt att förbättra utredningen vid misstänkt lungcancer. Som synes är erfarenheterna goda. Utredningen var snabb, välplanerad och därigenom kostnadseffektiv. Med tillräcklig tillgång till radiologi, nuklearmedicin och patologi bör denna utredningsväg kunna omfatta flera patienter.

Potentiella bindningar eller jävsförhållanden: Inga uppgivna.

Projekt har fått stöd från Sveriges Kommuner och landsting (SKL).

Figur 1. Kvinna född 1963. PET/DT bedömd som sannolikt benign. Transtorakal lungpunktion av tumör (pilen) visade adenokarcinom och torakotomi dessutom flera positiva N1-körtlar. DT vänster bild, PET/DT höger bild.

Tabell I.

Figur 2. Metastaslokaler vid lungcancer efter PET/DT-bedömning. 17 patienter med totalt 34 metastaser detekterades.

Figur 3. Ockult skelettmetastas vid rutinmässig PET/DT-undersökning.

Figur 4. Antal dagar från remissankomst till behandlingsbeslut för patienter med lungcancer (median 17 dagar).

Jobb i fokus

Mer att läsa

Mer att läsa