Spontan intrakraniell hypotension sannolikt underdiagnostiserat
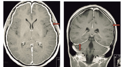
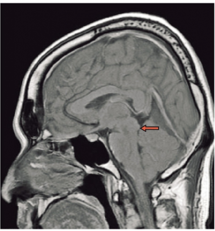
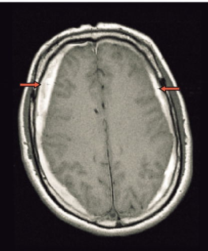
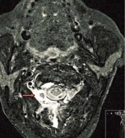
Spontan intrakraniell hypotension är sannolikt ett underdiagnostiserat tillstånd som man bör tänka på hos patienter med nytillkommen daglig huvudvärk, särskilt om den förvärras i stående (Fakta 1). För att ställa diagnos gäller att likvortrycket ska vara lågt, helst <6 cm H2O i liggande, och MRT med kontrast (helst före lumbalpunktion) ska visa generell dural uppladdning (s k pakymeningit) och karakteristiska förändringar av hjärnstammen (Fakta 2) [1, 2]. Initial behandling är symtomlindring med sängläge och gradvis mobilisering. Den kompletteras ofta med rikligt vätskeintag och koffein, antingen i tablettform eller som dropp. Om detta inte ger effekt är epidural injektion av autologt blod (»blood patch«) nästa steg, som ger snabb effekt hos de flesta patienter men som kan behöva upprepas [3]. Vid terapiresistens övervägs utvidgad neuroradiologisk utredning för att lokalisera likvorläckagestället. Då finns möjlighet att upprepa blodinjektionen över själva läckagestället. Om det inte hjälper kan kirurgiskt ingrepp diskuteras [2]. Etiologi och patogenes År 1938 beskrev den tyske läkaren Georg Schaltenbrand det tillstånd som kom att kallas spontan intrakraniell hypotension [4, 5]. Då trodde man att orsaken var minskad produktion av likvor från plexus choroideus eller ökad absorption, men bevis saknades. I dag vet man att tillståndet beror på likvorläckage, sannolikt på grund av en defekt i dura mater. Vid utredning har man kunnat påvisa spinala epidurala cystor (divertiklar) som bedömts ha rupturerat spontant eller vid en plötslig tryckstegring i likvorrummet. Det är också känt att osteofyter och diskbråck kan orsaka läckage genom att erodera duran [6, 7]. I dessa fall kan operation bli nödvändig [8]. Vid kirurgi kan man se många olika durala avvikelser, såsom rifter och meningeala cystor [9-11]. Spontan intrakraniell hypotension uppkommer förmodligen i vissa fall av en kombination av lindrigt trauma och underliggande spinal patologi [2, 12]. Enligt litteraturen har upp till en tredjedel av patienterna en oupptäckt bindvävssjukdom. Många har morfologiska tecken på bindvävssjukdom, såsom lång och smal kroppsbyggnad, spindelfingrar och överrörlighet i lederna [13, 14]. I de flesta fall är dock bindvävssjukdomen ospecifik, och endast i ca 5 procent av fallen har en specifik diagnos kunnat ställas, såsom Marfans syndrom eller Ehlers–Danlos syndrom typ II [13, 15-17]. Familjär spontan intrakraniell hypotension har även beskrivits [18]. Det är viktigt att veta att ett normalt spinalt öppningstryck (7–20 cm H2O) inte utesluter diagnosen [12]. Hos en patient med normalt tryck är det symtomen och tecknen på MRT som ger diagnosen. Många menar att förlust av likvor är den verkliga orsaken till syndromet och att hypotensionen är en följd av hypovolemin [19]. Likvorhypovolemisyndrom (CSF hypovolemia syndrome) har därför föreslagits som ett nytt namn på tillståndet [19]. Läckagestället är nästan alltid beläget i cervikotorakala delen, ofta i cervikotorakala övergången [12]. I praktiken kan det vara svårt att fastställa ett exakt läckageställe. Ofta samlas vätska bakom durasäcken i höjd med kotkropparna C1–C2 [20]. Denna vätskeansamling är dock inte ett säkert tecken på läckage från detta område. Det kan vara en falsk lokalisation. Sannolikt kommer läckaget från en annan nivå, och vätskan förflyttas uppåt till övre halsryggen [20]. Ibland kan man se multipla läckageställen samtidigt [21]. Epidemiologi Spontan intrakraniell hypotension har länge ansetts vara mycket sällsynt. Men kanske är tillståndet inte så ovanligt. Inga säkra siffror från samhällsbaserade studier finns tillgängliga för att beräkna incidensen och prevalensen. I en studie av radiologiska undersökningar på en akutavdelning diagnostiserades sjukdomen ungefär hälften så ofta som spontan subaraknoidalblödning – med en uppskattad årlig incidens på 5/100 000 [22]. På ett sjukhus i Rom diagnostiserades 82 patienter under en 18-årsperiod, 1992–2009, av vilka 40 behandlades konservativt med sängläge och 42 med lumbal epidural injektion av autologt blod [3]. På vår klinik har vi haft 10–15 patienter med detta tillstånd de senaste fyra åren. Den högsta incidensen av spontan intrakraniell hyptension ses vid vid ca 40 års ålder, men fall har beskrivits hos personer mellan 3 och 86 års ålder. Sjukdomen tenderar att drabba kvinnor något oftare än män (kvot ca 1,5:1) [2]. Kliniska symtom Den vanligaste kliniska manifestationen av spontan intrakraniell hypotension är ortostatisk huvudvärk, som förvärras gradvis med maximal intensitet efter flera minuter till timmar. Det händer att huvudvärken debuterar plötsligt. Man misstänker då ofta subaraknoidalblödning, och patienten utreds av denna anledning [23]. De allra flesta patienter kan minnas dagen då huvudvärken började, om än inte den exakta tidpunkten. Huvudvärken brukar beskrivas som diffus, pulserande eller icke-pulserande och är vanligen lokaliserad till nackregionen men kan också vara frontotemporal. Huvudvärken behöver inte vara symmetrisk men är sällan helt ensidig. Hur allvarlig huvudvärken är varierar, och det är troligt att en del lindriga fall förblir oupptäckta och att läkning sker spontant. En ledtråd till diagnosen kan vara om patienten beskriver en dragningskänsla från huvudet ner till nacken. Ytterligare ledtrådar är om patienten föredrar att ligga ned på undersökningsbritsen eller har en kudde med sig [2]. Även om ortostatisk huvudvärk är det kliniska kännetecknet, vilket återspeglas i alla diagnostiska kriterier, är det välkänt att den ortostatiska komponenten ofta blir mindre framträdande eller försvinner med tiden. Dessutom har patienter vars huvudvärk från början har saknat ortostatisk komponent beskrivits [24, 25]. Den exakta orsaken till huvudvärken är inte känd, men man antar att det är förlusten av likvor som orsakar neddragningen av hjärnan med sekundär dragning av smärtkänsliga intrakraniella strukturer [12]. En alternativ förklaring är att det sker en kompensatorisk dilatation av smärtkänsliga intrakraniella venösa strukturer. Förutom huvudvärk har många andra symtom rapporterats. De vanligaste, som förekommer i mer än hälften av fallen, är nacksmärta eller nackstelhet, illamående och kräkningar. Upp till hälften av patienterna beskriver lockkänsla eller tinnitus, och ca 10 procent uppvisar kranialnervspåverkan (vanligtvis abducenspares) med dubbelseende [12]. Abducensnerven har en lång och komplicerad väg intrakraniellt och är därför särskilt utsatt. MRT-undersökning av hjärnan MRT har revolutionerat inte bara erkännandet av sjukdomen utan också förståelsen av den [2]. MRT har i hög grad underlättat möjligheten att komma fram till en säker diagnos utan att behöva använda ingrepp som lumbalpunktion. MRT är förmodligen den viktigaste faktorn bakom det ständigt ökade antalet patienter med spontan intrakraniell hypotension sedan början av 1990-talet [2]. Det typiska fyndet vid cerebral MRT är generell pakymeningit (Figur 1). Pakymeningit i samband med spontan intrakraniell hypotension beskrevs första gången år 1991 av Mokri et al [26]. Det är dock viktigt att veta att upp till 20 procent av patienterna med spontan intrakraniell hypotension inte har någon tydlig pakymeningit [27]. Man tror att den meningeala förtjockningen beror på dural vasodilatation. Grunden för detta är Monroe–Kellie-doktrinen, enligt vilken summan av intrakraniellt blod, likvor och hjärnvävnad ska vara konstant i ett intakt kranium. Det innebär att minskningen av likvor leder till kompensatorisk vasodilatation [12, 19]. De flesta av förändringarna som ses vid MRT kan förklaras av dessa kompensatoriska mekanismer med pakymeningeal uppladdning, vidgning av venösa strukturer och hypofysförstoring. »Sagging«, eller neddragning, av hjärnan är ett typiskt radiologiskt fynd vid spontan intrakraniell hypotension (Figur 2). Det ses tydligast på en sagittal MRT-bild med neddragning av hjärnstam och lillhjärnstonsiller genom foramen magnum som vid Chiari-missbildning typ 1 (Figur 2). Subdural vätska (effusioner och hematom) förekommer hos ca 50 procent av patienterna (Figur 3). Oftast är dessa vätskeansamlingar tunna, bilaterala och lokaliserade till ovanför storhjärnshemisfärerna, orsakade av bristningar i bryggvener, utan någon märkbar expansiv effekt. Vätskeansamling ses ibland i bakre skallgropen, särskilt över lillhjärnshemsifärerna eller bakom clivus. Dessa vätskeansamlingar brukar försvinna när behandling sätts in mot det underliggande spinala likvorläckaget 28]. Om kirurgin riktas endast mot vätskeansamlingarna utan att läckaget behandlas är risken för recidiv ganska stor. Hypofysär hyperemi med förstoring av körteln är ett annat radiologiskt tecken på spontan intrakraniell hypotension [29]. Förstoringen kan bli ganska anslående och kan likna en hypofystumör. Det finns många tillstånd som radiologiskt kan likna spontan intrakraniell hypotension. Den förtjockade kontrastladdade duran kan misstolkas som ett kroniskt subduralhematom, men i dessa fall ses i regel ett vätskespatium mellan uppladdningarna. Idiopatisk hypertrofisk pakymeningit ger oftare fokal, dural förtjockning och inte den jämna, kontinuerliga uppladdningen som vid hypotensionssyndromet. Framför allt gäller detta vid granulomatös meningit och meningeal karcinomatos, vilka också oftare drabbar de mjuka hinnorna än den hårda hjärnhinnan. Meningealt lymfom och durala metastaser liksom meningiom med »dural svans« har ofta associerade skelettförändringar. Vid alla ovan nämnda tillstånd saknas dessutom den typiska bilden av neddragen hjärna. Spinal MRT Spinal MRT kan visa områden med extradural vätskeansamling (särskilt vid C1–C2) (Figur 4 och 5), meningeala divertiklar, dilatation av epidurala vener, dural uppladdning och komprimerad durasäck [30-32]. DT-myelografi Lumbalpunktion med injektion av jodkontrast följt av DT-myelografi med tunna snitt och reformateringar av hela ryggraden har visat sig vara en bra metod för att definiera läckagets exakta lokalisering och omfattning. DT-myelografi har visat sig ha störst känslighet vad gäller att lokalisera läckagestället [32]. Icke-invasiva undersökningar som spinal MRT rekommenderas dock i första hand [33]. Myelografi med intratekal administration av gadolinium följt av MRT är ett alternativ som ibland används utomlands [34] men är ännu inte godkänd på indikationen spontan intrakraniell hypotension i Sverige. Lumbalpunktion Vanligtvis är öppningstrycket <6 cm H2O, och det kan vara omätbart. Det är dock väl dokumenterat att en del patienter med spinalt likvorläckage kan ha ett normalt öppningstryck [33]. Den förhöjda halten av protein och/eller förekomst av xantokromi beror troligen på ökad permeabilitet i dilaterade meningeala blodkärl. Behandling Även om detaljerade uppgifter saknas sker sannolikt spontanläkning i de flesta fall av spontan intrakraniell hypotension. Symtomlindring med sängläge och gradvis mobilisering är en väldokumenterad behandling [12]. Koffein och teofyllin har också visat viss effekt [12]. Om sängläge inte hjälper är den vanliga behandlingen injektion av autologt blod (10–30 ml) epiduralt i ländryggen [35]. Om behandlingen misslyckas kan den upprepas en till två gånger, och man kan då spruta in större mängder blod, upp till 40 ml. Med tanke på den potentiellt stora volymen blod som injiceras rekommenderas några dagars mellanrum vid upprepad behandling. Volymen blod som kan injiceras begränsas huvudsakligen av ryggsmärta eller radikulopati. Det rekommenderas att patienten bibehåller planläge efter injektionen för att minska likvorflödet genom duradefekten och därmed hjälpa till att stänga hålet. Det har diskuterats om injektion av autologt blod verkligen hjälper när läckagestället är på cervikotorakal nivå. En del rapporter finns som visar att behandlingen är effektiv [36, 37]. I den tidigare nämnda studien från Rom [3] behandlades 42 patienter med spontan intrakraniell hypotension på dettta sätt med stor framgång, trots att läckaget i de flesta fall var på cervikotorakal nivå. 38 patienter (90 procent) blev återställda efter ett ingrepp, 2 patienter (5 procent) efter två ingrepp och 2 patienter (5 procent) efter tre ingrepp. Författarna rekommenderar dock konservativ behandling under tio dagar innan blodinjektion ges. Romgruppen lät patienterna ligga i Trendelenburgläge 1 timme före och 24 timmar efter ingreppet. Intressant nog behandlade de patienterna med acetazolamid, 250 mg i tablettform, 18 och 6 timmar före ingreppet. Acetazolamid är en karbanhydrashämmare som minskar produktionen av likvor. Romgruppen för ett resonemang om huruvida premedicineringen och långvarigt Trendelenburgläge kan minska likvorflödet genom duradefekten och därmed hjälpa till att stänga hålet. Dessutom kan premedicineringen minska risken för återuppkomst av tillståndet [38]. Om den lumbala blodinjektionen inte hjälper kan man försöka injicera blod eller fibrinlim (Tissel) direkt över läckagestället. Dessa behandlingar kräver att läckagestället är känt. Placering av fibrinlim ger förmodligen den bästa symtomlindrande effekten [39]. När konservativ behandling och blod eller fibrinlim inte ger effekt kan kirurgi vara ett alternativ [8, 12]. Kirurgi innebär bl a ligering av meningeala divertiklar, packning med spongostan, fibrinlim eller gelskum i epidurala rummet, suturering av durarifter samt resektion av osteofyter och diskbråck. Prognos Långtidsuppföljningarna av naturalförlopp och behandlingsresultat är knapphändiga, men spontan intrakraniell hypotension tros återkomma hos ca 10 procent, oavsett behandling. Patienter med en radiologisk bild som är typisk för spontan intrakraniell hypotension och med känt läckageställe har utmärkt prognos, medan personer med normal MRT-undersökning och diffus spinalt likvorläckage på flera nivåer tycks ha sämre prognos [2]. Vissa patienter har kvarstående symtom efter behandling trots dokumenterat upphävt likvorläckage. Dessa patienter är svåra att behandla, och det är oklart om de har förändrad likvordynamik eller kanske små rester av likvorläckage som inte syns på röntgenbilder. * Potentiella bindningar eller jävsförhållanden: Inga uppgivna.




