Gå till innehållet
Gå till startsidan

Denna webbplats vänder sig till läkare

Sök

Stressfrakturer: hjulaxlar och idrottskarriärer brister

Det finns en viss likhet mellan hjulaxlar på till exempel tåg och ben i människokroppen – båda riskerar att drabbas av stressfraktur, dvs att mikrosprickor vid ogynnsamma omständigheter kan växa till en fraktur.

Läs artikel som PDF

Inom ortopedin är utmattningsbrott i plattor, skruvar och andra implantat inte ovanliga. På 1980-talet implanterades ett antal höftproteser med ett tillverkningsfel, som ledde till att proteshalsen utmattades och brast (Figur 1). Med elektronmikroskopi kunde man se det typiska vågmönster i brottytan som uppstår när sprickan avancerar en liten bit för varje belastningscykel, alltså varje steg patienten tagit (Fakta 1, Figur 2 till höger) [1].

Utmattningsbrott i ben

Hur mycket av kunskaperna från 1800-talets alltjämt giltiga hållfasthetslära (Fakta 1) kan överföras till människans ben? Förmodligen ganska mycket, om man nöjer sig med att resonera om kompakt, kortikalt ben, såsom stressfrakturer på skenbenets framsida. Det finns en hel del djurförsök där man utsatt rörben hos råttor för cykliska belastningar i en maskin som automatiskt stannat när benets materialegenskaper börjat förändras som tecken på att stressfrakturen är på väg [2]. Några tusen cykler brukar behövas [3].  

Skadorna man finner i ben är inte så koncentrerade som i typfallet i metaller (Fakta 1), utan man ser mikrosprickor här och var och även en diffus förändring av små områden [3]. Osteocyterna bildar med sina dendritiska utskott ett nätverk som penetrerar allt benmaterial. När dessa skadas av sprickorna dör cellerna, som då skickar ut biokemiska signaler som sätter fart på de oskadade cellerna i grannskapet [2]. Dessa sänder i sin tur ut signaler (främst en utsöndrad molekyl som kallas RANKL [receptor activator of NF-κB-ligand]) till benmärgen [4]. Därifrån rekryteras osteoklaster, som bryter sig in i benet i riktning mot det skadade området. På så sätt kommer skadade områden att tas bort selektivt. Sedan ersätts de med nytt ben på samma sätt som vid vanlig benomsättning. Detta kallas målstyrd benremodellering [5]. 

Denna process kan påverkas med läkemedel. Bisfosfonater (som hämmar osteoklasternas aktivitet) fördröjer den [6], medan parathormon (som ökar osteoblasternas benuppbyggnad) påskyndar den [7].

Stressfrakturer hos människa förekommer inte bara bland idrottare, dansare och soldater, utan också bland t ex äldre kvinnor som behandlas med bisfosfonater, s k atypiska femurfrakturer [8]. En förklaring skulle kunna vara att bisfosfonater hämmar den målstyrda remodelleringen [9]. Små sprickor uppstår normalt i benet [10]. Bisfosfonaterna kan tänkas göra att dessa inte hinner tas om hand innan de vuxit och ger symtom [11, 12]. I vanliga fall balanseras den fysiologiska sprickbildningen av den målstyrda remodelleringen [13]. Balansen kan rubbas, antingen genom att remodelleringen minskas eller genom att sprickbildningen ökas [14]. Idrottare får hela tiden mängder av mikrosprickor, men de ger inga problem så länge sprickbildningen inte överstiger vad den målstyrda remodelleringen hinner med. 

Diffust utspridda mikrosprickor är i vanliga fall gynnsamma för skelettet. De hindrar större sprickor från att bli ännu större genom att spänningen fördelas från sprickans spets till omgivningen [15]. När dessa sprickor remodelleras bildas resorptionskaviteter som kan bromsa utbredningen och i bästa fall hindra sprickan från att växa vidare [11] (på samma sätt kan man göra borrhål i metaller för att fördela spänningen). Under bisfosfonatbehandling är den målstyrda remodelleringen hämmad [9], och mikrosprickor skulle därför lättare kunna bli större och växa samman till en större spricka [11]. Rimligen finns det ett optimum för den normala förekomsten av mikrosprickor. Blir antalet för stort är det skadligt för benets materialegenskaper.

Fraktursprickan innehåller amorft material

Vi har lyckats samla in några biopsier som innefattar själva skadan vid bisfosfonatassocierade stressfrakturer (atypiska frakturer) (Figur 3). Vi tror att dessa liknar stressfrakturerna hos idrottare, även om idrottare lär ha aktivare remodellering. Likheten återstår dock att visa. Själva sprickan i de atypiska frakturerna är tunn, omkring en tiondels mm i diameter. Makroskopiskt är den alldeles rak, vinkelrät mot dragkrafterna i benet, men mikroskopiskt vindlar den sig fram, med många små förgreningar (Figur 4) [16]. Själva sprickan är inte tom, utan den innehåller ett amorft material, som vi inte vet vad det är: troligen proteinutfällningar, men till en del kanske också krossat ben. Runt sprickan ser vi ökad benomsättning med osteoblaster och osteoklaster, men i själva sprickan bara detta amorfa material. 

Förklaringen finns att hämta i frakturläkningsforskning från Davos på 1970-talet, vilken menade att om en frakturspalt är tunn, kommer mycket små rörelser orsakade av benets eller frakturfixationens elasticitet att vid normal belastning leda till kraftiga deformationer [17]. En vidgning av sprickan från 0,1 till 0,2 mm låter försumbar, men det betyder en deformation på 100 procent, vilket sliter sönder alla celler i sprickan. Ett sätt för kroppen att hantera situationen är att ta bort benet runt sprickan så att den blir vid, och deformationerna därmed tolerabla [18]. 

I våra biopsier från atypiska frakturer har vi inte sett någon sådan vidgande process, men i djurmodeller är det tydligt visat [19]. Man kan förvänta sig att sprickvidgning och remodellering förekommer också hos idrottare, som till skillnad från personer som behandlas med bisfosfonater har en ohämmad remodellering.

Ett annat sätt för kroppen att läka sprickan är att bygga en kraftig benpålagring utanpå det skadade området, en periostal kallus. Så sker också, och vi har sett det i biopsierna (Figur 4). Emellertid verkar detta ben inte alltid styvt nog, utan det kan fjädra så att sprickan fortsätter att röra sig. Därmed kan den inte läka. Vi har också sett att sprickan växer in i det nybildade benet i kallusen [opubl data]. 

Belastningutlöst smärta och ömhet typiska symtom 

Den kliniska bilden av en stressfraktur kan vara svår att skilja från andra smärtsamma tillstånd. Men intressant nog beskrevs diagnosen utmattningsbrott i metatarsalben (marschfraktur) redan samma årtionde som August Wöhler beskrev dem i hjulaxlar (Fakta 1), långt innan röntgen fanns. 

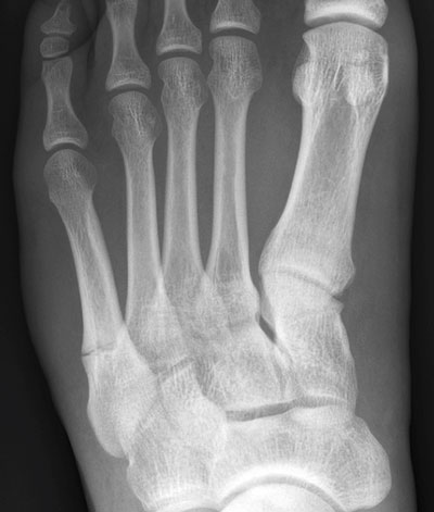
Belastningsutlösta smärtor och ömhet i benet omkring frakturen är typiskt vid stressfraktur [20]. Smärtorna minskar med vila. I de allra flesta fall kan slätröntgen ge diagnosen [21]. Efter några veckor bildas en kallusreaktion, som man kan se som en benpålagring både periostalt och endostealt. Ibland kan man se en frakturlinje som löper vinkelrätt mot benets längsaxel (Figur 5). Sprickan kan dock vara för tunn för att synas. 

Vid MR-undersökning kan man se frakturen i ett tidigare stadium: dels frakturlinjen, dels en reaktion i benmärgen [22]. Det är dock sällan nödvändigt att verifiera diagnosen med MR. 

Differentialdiagnostiskt är det viktigt att beakta träningsvolymen och andra riskfaktorer (Fakta 2). Stressfrakturer är hos de flesta en följd av mekanisk överbelastning. I vissa fall kan stressfrakturer uppstå vid normal belastning på grund av en underliggande svaghet i skelettet. Det kan ske vid osteopetros, morbus Paget, hypofosfatemi, adynamisk skelettsjukdom och hormonstörningar, t ex den kvinnliga idrottstriaden: anorexi, amenorré och osteoporos [23].

Den viktigaste differentialdiagnosen vid stressfrakturer i nedre extremiteten är s k periostit eller medialt tibialt stressyndrom [24]. Vid detta tillstånd är smärtorna begränsade till aktivitet och håller inte i sig efteråt, vilket är fallet vid stressfraktur. Smärtorna är mer diffusa, och palpationssmärtan sträcker sig över ett brett område baktill medialt på distala tibia. Patofysiologin är okänd. Troligen finns även här en obalans mellan mikroskador och remodellering. Kroniskt excitatoriskt kompartmentsyndrom är en annan differentialdiagnos [23].

Vila eller operation

Vilka behandlingsråd för stressfrakturer i kortikalt ben kan man resonera sig fram till?

När den kliniska diagnosen är uppenbar, med lokal ömhet i förening med reaktioner i benmärgen påvisade vid MR-undersökning eller benpålagringar som ger lokal förtjockning på röntgen, då har man också en spricka (eller i enstaka fall flera). Eftersom de är så tunna, kan man inte förvänta sig att se dem på röntgen [21]. När de ändå syns (senare i förloppet) beror det sannolikt på att benet alldeles intill sprickan undergår en kraftig remodellering som minskat röntgentätheten [23]. 

Med fortsatt hög belastning är det osannolikt att sprickan läker på rimlig tid. När nybildat ben utanför frakturen blivit tillräckligt tjockt och styvt kan man hoppas att sprickan elimineras genom den normala benomsättningen, vilket kan ta åratal [14]. Om kallusbildningen har stabiliserat sprickan, slutar frakturen dock att ge symtom, i de flesta fall efter några månader.

Stressfrakturer läker sämre på vissa ställen än andra, och risken att de går av helt och hållet är större på ställen med sämre läkning [25]. Typiska lokalisationer är lårbenshalsen, diafysen i de långa rörbenen och metatarsalbenen. I dessa fall bör utredningen påskyndas, och vid frakturer i de långa rörbenen bör operation övervägas [26].

Vid övriga stressfrakturer, alltså frakturer i övergången mellan diafys och metafys, räcker det oftast med vila i några veckor eller månader [27]. Under vilan ska alla rörelser som ger smärta undvikas, eftersom de innebär att mekaniska krafter verkar längs med frakturlinjen. Dessa krafter kan leda till dels att sprickan växer, dels att remodelleringsprocessen påverkas. Om vilan inte leder till förbättring efter några månader, eller om varken patienten eller läkaren har tålamod att invänta läkning, förekommer det att även dessa frakturer opereras [28, 29].

Operationen innebär att man sätter en spik i benets märghåla eller en platta utanpå. Om åtgärden ger fullständig stabilitet, kan man förvänta sig att benet kring sprickan slutar att röra sig och göra ont. Remodelleringen gör att sprickan förmodligen försvinner med tiden. Det är dock ett omfattande ingrepp, som kan medföra problem vid inslagsstället för spiken vid knät eller från området där plattan sitter.

Alternativ behandlingsmetod har gett lovande resultat

En hypotetisk, alternativ lösning skulle vara att man tar fasta på att hjälpa kroppens eget sätt att hantera situationen genom målstyrd benremodellering. Lösningen är helt enkelt att borra ett eller flera hål, som måste träffa sprickan. Därmed förvandlas sprickan från en 0,1 mm spalt till ett mycket vidare hål. Detta leder till att deformationerna minskas från storleksordningen 100 procent till värden som cellerna tål. Hålet kan då fyllas med nytt ben genom normal frakturläkning (borrningen skulle även kunna ytterligare stimulera den pågående läkningsprocessen, även om bristande läkningsaktivitet inte är huvudproblemet).

En svårighet med metoden skulle vara att pricka rätt: Man ser inte alltid frakturen med blotta ögat i såret, men däremot är kallusreaktionen oftast tydlig och distinkt lokaliserad. Jämfört med märgspikning är hålborrning ett harmlöst ingrepp.   

Än så länge bygger denna behandling på teoretiska resonemang och antagandet att teorin från Davos [17] gäller. I en datoriserad modell av en stressfraktur i tibia har man dock kunnat visa att vanlig gång orsakar deformationer i fraktursprickan som förhindrar läkning [30]. Samma modell visade också att en vidgning av frakturspalten (genom att borra upp frakturen) skapar gynnsamma mekaniska läkningsbetingelser utan att försvaga benet. 

Till syvende och sist finns det dock bara ett sätt att ta reda på om behandlingen är bra – att prova inom ramen för ett forskningsprojekt. Vi har opererat ett antal patienter enligt denna metod, och de preliminära resultaten verkar lovande. För att kunna visa effekten av behandlingen behövs dock ett större material.

Potentiella bindningar eller jävsförhållanden: Inga uppgivna.

Fakta 2. Föreslagna riskfaktorer för stressfraktur. 

Träningsvolym

  • Stor träningsvolym
  • Snabb ökning
  • Inadekvat återhämtning
  • Hårt underlag

Typ av sport

  • Långdistanslöpning, orientering, gymnastik, dans

Kvinnligt kön

  • Biometriska förhållanden
  • Kvinnlig idrottstriad (anorexi, amenorré och osteoporos)

Figur 1. Stressfraktur i illa tillverkad höft­protes.

Fakta 1. Utmattningsbrott och tågolyckor.

Figur 3. Våra kunskaper om mikroanatomin i stressfrakturer i ben kommer än så länge mest från biopsier av bisfosfonatassocierade stressfrakturer. Överst: Atypisk femurfraktur. Ovan: Borrbiopsi av atypisk fraktur i 3-dimensionell rekonstruktion (mikro­datortomografi; mikro-DT).

Figur 4. Borrbiopsi av atypisk femurfraktur (hematoxylin–eosinfärgning). I sprickan syns ett amorft material. Det finns en tydlig kallusformation periostalt (C).

Figur 5. Stressfraktur med tvärgående frakturlinje och kallusreaktion i tibia (överst) och femte metatarsalbenet (ovan).

Mer om Tema Motions- och idrottsskador

Mer att läsa

Mer att läsa