Gå till innehållet
Gå till startsidan

Denna webbplats vänder sig till läkare

Sök

Strukturell hjärnavbildning kan förbättra diagnostiken vid demens

Läs artikel som PDF

Demenssjukdomar ökar i prevalens beroende på ökande medelålder; andelen 80-åringar och äldre ökar kraftigt. Vikten av att utreda personer med misstänkt demenssjukdom är uppenbar och i Socialstyrelsens nya riktlinjer för vård och omsorg vid demenssjukdom betonas att en hjärnavbildning ska ingå i alla basala utredningar.

Kunskapen kring demenssjukdomar, framför allt Alzheimers sjukdom, har ökat väsentligt de senaste åren, inte minst då det gäller avbildande metoder och hur dessa kan skärpa differentialdiagnostiken. Emellertid har denna kunskap inte fullt ut implementerats i det kliniska radiologiska rutinarbetet, sannolikt på grund av en bristande kommunikation mellan akademi och klinisk praxis. I nedanstående artikel beskriver vi hur man med datortomografi (DT) och magnetisk resonanstomografi (MRT) kan bedöma typiska hjärnförändringar vid de vanligaste demenssjukdomarna.

I ett samarbete mellan Karolinska institutet, Akademiska sjukhuset i Uppsala och andra universitetssjukhus i Sverige och Norge presenterar vi i denna artikel ett förslag till kliniskt användbara bedömningsinstrument för utvärdering av hjärnförändringar vid de vanligaste demenssjukdomarna. Vi hoppas att detta kan leda till en säkrare diagnostik inte minst vid utredning inom primärvården.

Bakgrund

Kognitiv svikt är vanlig vid hög ålder. Vid normalt åldrande reduceras de flesta kognitiva funktionerna i varierande grad, men i en del fall blir reduktionen mer uttalad. I dessa fall beror det oftast på en sjukdomsprocess som leder till funktionsnedsättning. Om funktionsnedsättningen blir tillräcklig omfattande uppfylls kriterierna för demenssjukdom [1]. En av de vanligaste orsakerna till demenssjukdom är den neurodegeneration som orsakar Alzheimers sjukdom (60–70 procent). Denna neurodegeneration är kopplad till en abnorm omsättning av ett protein, beta-amyloid, som inlagras i hjärnvävnaden i s k plack [2, 3]. Även nedbrytning och destruktion av cellulära stödjestrukturer ses vid sjukdomen. Denna patologi orsakas av en fosforylering av det s k tauproteinet [4]. Dessa förändringar ligger troligen bakom den omfattande celldestruktion som utvecklas under sjukdomsförloppet. Detta leder i sin tur till att man tidigt ser en atrofi av hjärnan, oftast med början i de mediala temporalloberna [5, 6]. Atrofin breder sedan ut sig med ett typiskt regionalt förlopp under sjukdomens utveckling. Sjukdomsförloppet och atrofin utvecklas under flera år, upp till decennier [7]. Med DT och MRT kan denna atrofi visualiseras och kvantifieras. Tidigare har diagnosen baserats på uteslutningsdiagnostik där man ställde klinisk alzheimerdiagnos först när andra orsaker uteslutits, och diagnosen var definitiv först vid histopatologisk undersökning post mortem. Fortfarande gäller att demens är en diagnos som ställs på kliniska grunder. Dock föreslår många numera att diagnosen inte bara baseras på förekomst av typiska symtom utan också stöds av biomarkörer: medial temporallobsatrofi (som kan detekteras med hjälp av MRT), glukosomsättning eller amyloidinlagring (som kan detekteras med positronemissionstomografi, PET) eller betaamyloid och tau i cerebrospinalvätskan [8]. Vikten av hjärnavbildningsfynd vid demensutredning nämns numera även i de nationella riktlinjerna från Socialstyrelsen, där DT förordas vid basal demensutredning och MRT vid utvidgad utredning [9].

Kognitiv svikt kan också vara sekundär till försämrad kärlförsörjning i hjärnan på grund av arterioloskleros, vilket kan ge vaskulär demens. Det anses vara den näst vanligaste demenssjukdomen efter Alzheimers sjukdom och ses hos ungefär 30 procent av alla demenssjuka. Andra neurodegenerativa sjukdomar med kognitiv svikt är frontotemporala demenssjukdomar och Lewykroppsdemens. Kognitiv svikt kan även förekomma vid t ex depression och som följd av hjärntumör eller hjärnblödning. DT och framför allt MRT ger värdefull information i dessa fall. De vaskulära skadorna som finns i den vita substansen ses tydligt på MRT och, om de är tillräckligt stora, även på DT. I kriterierna för vaskulär demens ingår bedömning av vit substans samt förekomsten av genomgången ischemi eller blödning.

Morfologisk hjärnavbildning är självklart nödvändig för diagnostik i de fall där den kognitiva svikten orsakas av andra patologiska förändringar som tumör, subduralblödning, normaltryckshydrocefalus och liknande tillstånd. Som nämnts finns nu evidens för att atrofi i de mediala temporalloberna utgör ett tidigt tecken på Alzheimers sjukdom. I en SBU-rapport om demenssjukdom framkom att radiologisk undersökning av hjärnan med MRT signifikant ökade den diagnostiska säkerheten vid Alzheimers sjukdom. Även om samma goda evidensläge inte rapporterades för skador i vit substans [10] visar ett stort antal rapporter från den sameuropeiska studien LADIS  (leukoaraiosis and disability) att förekomst av skador i den vita substansen utgör en ökad risk för bl a kognitiv svikt [11]. Även uppskattning av kortikal atrofi bör ingå i den radiologiska bedömningen då specifik regional atrofi kan förekomma vid flera demenstillstånd, t ex frontal atrofi vid frontallobdemens och parietal atrofi hos yngre patienter med Alzheimers sjukdom.

Strukturerad bedömning av DT och MRT

För att ge klinikern optimal information krävs en strukturerad bedömning av bilderna med beskrivning av fynden i utlåtandet. Vidden på fåror och ventriklar, grad av medial temporallobsatrofi, grad av vitsubstansförändring samt förekomst av infarkter, expansiviteter eller andra förändringar som kan ge sekundär demens måste beskrivas. Jämförelse med tidigare radiologiska undersökningar är mycket viktig, eftersom relativt snabb progress av atrofi kan stärka misstanken om neurodegenerativ demenssjukdom. 

Imaging Cognitive Impairment Network (ICINET)

Imaging Cognitive Impairment Network (ICINET) bildades i december 2010 i samarbete mellan Karolinska institutet och Uppsala universitet. I dag är flera av universiteten i Sverige med i ICINET, och även universitet i Norge deltar i nätverket. Det primära målet för nätverket är att standardisera MRT-protokoll och de kliniska utvärderingsverktyg (visuella skattningsskalor för MRT/DT) som finns för demensutredningar.

ICINET-rekommendationer för MRT-protokoll

Tre sekvenser rekommenderas ingå i ICINET-protokollet: En T1-viktad 3D-sekvens för att detektera strukturella förändringar, en T2-viktad FLAIR (fluid attenuated inversion recovery)-sekvens och en T2-viktad turbospinnekosekvens för att påvisa andra patologiska förändringar, i första hand förändringar i vit substans. Protokollet bygger på sekvenser som är framtagna för ADNI (Alzheimers Disease Neuroimaging Initiative) [12], en stor multicenterstudie i Nordamerika. Sekvenserna är speciellt framtagna för att ge jämförbara resultat mellan MR-kameror av olika märken (Siemens, General Electric och Philips). 

ICINET-rekommendationer för skattningsskalor

Internationellt vedertagna och validerade skattningsskalor finns för att uppskatta graden av medial temporallobsatrofi, global atrofi och förändringar i vit substans. Användning av dessa skalor skulle leda till mer enhetlig bedömning av radiologiska fynd vid demensutredning och rekommenderas därför.

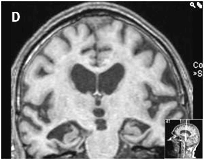
Medial temporallobsatrofi (Scheltens skala). En metod för att visuellt uppskatta graden av atrofi i mediala temporalloben, MTA, togs fram av Philip Scheltens forskningsgrupp i Amsterdam 1992 [13, 14]. Bedömningen av den mediala temporallobsatrofin sker vid denna metod genom att uppskatta form och storlek, utan att mäta några strukturers storlek eller volym. Hippocampus höjd bedöms. Även vätskespalten ovanför hippocampus bedöms avseende vidd. Vätskespalten utgörs av fissura choroidea medialt och sidoventrikelns temporalhorn lateralt i olika grad beroende på snittposition.

Bedömningen sker enligt en femgradig skala, 0–4, där MTA 0 och MTA 1 visar normala förhållanden och MTA 2–4 ökande grad av atrofi. MTA 2 är patologiskt hos patienter yngre än 70 år och MTA 3 är patologiskt hos alla patienter under 80 år, medan MTA 4 alltid måste uppfattas som patologiskt oavsett patientens ålder (Figur 1) [15].

Metoden togs ursprungligen fram för bedömning av MR-bilder men kan även användas för bedömning av medial temporallobsatrofi med dagens DT-teknik och för jämförelse mellan MRT och DT [16] (Figur 2). Resultat från denna metod har visats vara signifikant korrelerade med manuella mätningar av hippocampus [15], och sensitiviteten och specificiteten är jämförbara med automatiska metoder för volymberäkningar och mätning av kortikal tjocklek [17]. När det gäller reliabilitet (intra- och inter-) över tid är den mycket hög för en erfaren bedömare. Dock är reliabiliteten något lägre mellan två bedömare om de inte arbetar tillsammans. Den är också starkt beroende av erfarenhet hos bedömaren [18].

Global kortikal atrofi, GCA. Visuell bedömning av kortikal atrofi speglar inte bara den totala cerebrala atrofigraden utan även den lobära och den regionala atrofigraden. Vidgning av sulci på MR eller DT kan vara sekundär till atrofi av kortex och/eller vit substans, varför beteckningen kortikal atrofi egentligen endast bör användas när man mäter tjockleken på kortex. Vidgning av sulci och volymförlust av gyri bedöms enligt en 4-gradig skala, GCA 0–3 [19]. Normala förhållanden utan vidgning av sulci är GCA 0, lätt vidgning av sulci är GCA 1, volymförlust i gyri är GCA 2 och uttalad vidgning av sulci med uttalad volymförlust är GCA 3 (Figur 3).

Förändringar i vit substans (Fazekas skala). Av flera publicerade skalor för visuell gradering av förändringar i vit substans i hjärnan är en modifierad version av Fazekas ursprungliga skala enklast [20], varför vi rekommenderar den för klinisk bedömning vid DT och MRT. Grad 0 har ingen eller enstaka punktformig förändring i vit substans och grad 1 har multipla punktformade förändringar i vit substans, som kan ses i alla åldrar och är vanliga hos patienter äldre än 65 år. Förekomst av ett litet antal sådana förändringar saknar oftast klinisk betydelse. Grad 2 innebär begynnande sammanflytning (konfluens) av punktformade förändringar och grad 3 konfluerande förändringar. Grad 2 betraktas som patologiskt hos patienter yngre än ca 70 år medan grad 3 alltid är patologiskt (Figur 4).

Sammanfattande bedömning av radiologiska fynd

Förutsatt att undersökningen har utförts som ett led i utredning av demens bör en beskrivning av fynden med hjälp av ovan beskrivna skattningsskalor följas av en bedömning av om fynden är patologiska eller inte. Atrofi av mediala temporalloberna kan stödja en klinisk misstanke om Alzheimers sjukdom, i synnerhet om det föreligger progress jämfört med tidigare. Observera dock att atrofi av mediala temporalloberna även kan förekomma vid andra sjukdomar än Alzheimers sjukdom, t ex Lewykroppsdemens och frontotemporal demens. Vaskulär kognitiv svikt kan anses vara osannolik om det saknas tecken på cerebrovaskulära skador i form av förändringar i vit substans eller tecken på genomgången ischemi eller blödning. Blandform av vaskulärt utlöst kognitiv svikt och Alzheimers sjukdom förekommer. Bedömningen ska vara en sammanfattning av fynden med tolkning i relation till klinisk misstanke och andra utförda undersökningar, t ex PET (glukosomsättning) eller enfotonstomografi, SPECT (regionalt blodflöde).

Potentiella bindningar eller jävsförhållanden: Inga uppgivna.

Tack till alla medlemmar i ICINET, Imaging Cognitive Impairment Network, som står bakom förslaget i denna artikel.

Fakta 1. Radiologiskt utlåtande

Radiologiskt utlåtande vid demens bör omfatta följande:

  • ŸSulci (generell eller lokal vidgning, GCA-grad med förklaring)
  • Ventriklar (vidd)
  • Medial temporallobsatrofi (grad enligt Scheltens skala, med förklaring)
  • Förändringar i vit substans (grad enligt Fazekas skala, med förklaring)
  • Infarkter (storlek, läge)
  • Andra förändringar (expansivitet, normaltryckshydrocefalus, subduralhematom etc)
  • Jämförelse med tidigare undersökningar (framför allt progress av atrofi)
  • Bedömning: Sammanfattning av fynden med tolkning i relation till klinisk misstanke och andra utförda undersökningar, t ex PET (glukosomsättning) eller SPECT (regionalt blodflöde).

Figur 1. MTA-graderna 0 (A), 1 (B), 2 (C), 3 (D) och 4 (E).

Figur 2. MR från år 2009 (A) och DT från år 2012 (B) på samma patient med diagnosen Alzheimers sjukdom. Notera progress av såväl medial temporallobsatrofi som ventrikeldilatation.

Figur 3. Global kortikal atrofi: GCA 0 (A) , GCA 1 (B) , GCA 2 (C)  och GCA 3 (D),  endast bifrontalt.

Figur 4. Förändringar i vit substans: grad 0 (A), grad 1 (B), grad 2 (C) och grad 3 (D) enligt modifierad Fazekas skala.

Mer att läsa

Mer att läsa