Syrgas som felkopplats till urinkateter orsakade subkutant emfysem
I litteraturen finns åtminstone två tidigare fall av subkutant emfysem efter syrgasinsufflation i urinblåsan beskrivna, båda från Sahlgrenska Universitetssjukhuset i Göteborg [1]. I båda fallen insjuknade patienten på en sjukvårdsinrättning, och ett av symtomen var smärta i nedre delen av buken. I ett av de båda fallen uppvisade patienten dessutom peritonitstatus. Vi beskriver ett parallellfall från S:t Görans sjukhus i Stockholm, där en äldre man av misstag i hemmet kopplat syrgas till sin urinkateter, varefter han i närvaro av anhöriga svullnat upp över hela kroppen.
Fallet
Patienten är en 90-årig före detta storrökande man med progredierande kroniskt obstruktiv lungsjukdom, hypertoni, hjärtsvikt och transitoriska ischemiska attacker i anamnesen. Han har kateter à demeure (KAD) sedan drygt åtta månader på grund av prostatahyperplasi. DT skalle har visat lättare degenerativa förändringar, men patienten är alert och orienterad. Hjärtsvikten är inte uttalad, och den obstruktiva lungsjukdomen medför ingen koldioxidretention.
Patienten ordineras i december, via lungmedicinsk klinik, syrgas, 3 liter per minut, för hemmabruk via syrgaskoncentrator, att användas 16 timmar per dygn utan uppehåll. Elva dagar senare anländer han med ambulans till akutmottagningen massivt svullen med övre luftvägshinder och dålig syresättning. Han har under dagen haft besök av närstående och då mått bra. Vid halv fem får han ånyo besök av en anhörig och mår då inte bra. Han blåses bokstavligen upp inför ögonen på den anhörige och får andningssvårigheter. Ambulans tillkallas, och ambulanspersonalen konstaterar att syrgasslangen är kopplad till patientens urinkateter.
Vid ankomsten till akutmottagningen är patienten stridorös med en syrgasmättnad på 78 procent trots tillförsel av extra syrgas. Patienten har uttalade, krepiterande, ödematösa förändringar över hela framsidan av kroppen. Han är klar och vaken men kan inte öppna ögonen på grund av uttalad periorbital svullnad. Patienten ges injektion med antihistamin, steroider och adrenalin, och saturationen stiger till 98 procent med 10 liter syrgas på mask. Åtskilliga 10-milliliterssprutor luftfylls vid försök till aspiration av ögonlockssvullnaden så att patienten skall kunna öppna ögonen, men ögonlocksvävnaden gasfylls ånyo på ett fåtal sekunder. Patienten har inga smärtor i buken, som är helt mjuk och oöm. Makroskopisk hematuri noteras.
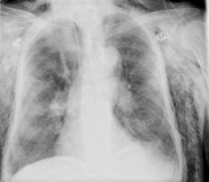
Patienten tas till intensivvårdsavdelningen. Han har ett pCO2 på 6–7 kPa och en andningsfrekvens strax under 40 andetag per minut. Cirkulatoriskt är patienten helt stabil. Röntgen av torax visar mycket stora mängder luft i mjukdelarna utanför torakalväggen men ingen pneumotorax (Figur 1). Denna undersökning upprepas fyra timmar senare med samma resultat.
Patientens stridor klingar av, varför man avvaktar med intubation, vilket diskuterats vid patientens ankomst. Toraxkirurg konsulteras angående anläggande av dränage via subkutana snitt. Toraxkirurgen rekommenderar att avvakta med detta såvida inte försämring sker.
Patienten övervakas sedan under totalt 18 timmar på intensivvårdsavdelningen, varvid emfysemet successivt går i regress. Under vårdtiden finns inga tecken till bukkomplikationer tydande på perforation. Hematuri kvarstår. Patienten skrivs ut till vårdavdelning med en saturation på 94 procent på en och en halv liter syrgas på grimma. Patienten stannar ytterligare fyra dagar på sjukhuset. Hematurin avtar, emfysemet går helt i regress och patienten skrivs ut i sitt habitualtillstånd till geriatrisk klinik.
Diskussion
Vad som är hönan och ägget är i detta fall litet oklart. Har patienten av misstag kopplat sin syrgasslang fel, eller har han på grund av försämrad lungfunktionen i hypoxisk förvirring anslutit sina slangar på ett felaktigt sätt? Har en anhörig – i ett försök att hjälpa honom – kopplat syrgasen till hans kateter?
Det är sällan man behöver intubera patienter med subkutant emfysem på grund av luftvägshinder [2]. Om intubation krävs bör man i möjligaste mån använda sig av någon form av vakenintubation med lokalanestesi, gärna given med nebulisator. Vid nedsövning utan säkrade luftvägar finns annars risk för att man inte kan ventilera patienten före intubationen, som kan vara svår på grund av submuköst emfysem i hals och svalg.
Patienten hade inget bukstatus tydande på perforation men väl nytillkommen hematuri, som spontant gick i regress. I ett av Göteborgsfallen beskrivs peritonitstatus, men vid laparotomi fann man varken rift i urinblåsa eller tecken till urinläckage.
Möjligt är att insufflation av syrgas under övertryck till urinblåsan kan orsaka dissektion via blåsväggens lager med utträde av syrgas till bukhålan eller retroperitonealt utan att urinläckage föreligger när det intraluminala trycket sjunker. Konservativ behandling med fortsatt blåsdränering via KAD samt exspektans torde således vara den adekvata behandlingen med avseende på eventuellt urinvägstrauma.
Att subkutant emfysem är så uttalat att det ger symtom från övre luftvägar är enligt litteraturen mycket ovanligt. I det aktuella fallet rörde det sig om en övergående påverkan. Vid en kvarstående emfysemgenererande process, såsom pneumotorax, kan det dock bli aktuellt att dränera luft från subkutis via en tunn slang [3], exempelvis en perifer venkateter, eller att lätta på trycket med hjälp av hudincisioner.
*
Potentiella bindningar eller jävsförhållanden: Inga uppgivna.

