Gå till innehållet
Gå till startsidan

Denna webbplats vänder sig till läkare

Sök

Trigeminus­neuralgi

Läs artikel som PDF

Trigeminusneuralgi är ett relativt sällsynt tillstånd som ofta ger en ansiktssmärta som är värre än något patienten tidigare upplevt och ibland därför kallas självmordssjukan. Samtidigt är trigeminusneuralgi tillräckligt vanlig för att man som distriktsläkare ska träffa enstaka patienter [1, 2]. 

Under de senaste åren har det kommit flera litteraturöversikter som mynnar ut i rekommendationer som avspeglar en förändrad syn på handläggningen av trigeminusneuralgi och som innebär mer utredning av bakomliggande orsaker samt kirurgisk behandling [1, 3-11]. Detta är välkommet, eftersom det fortfarande finns missuppfattningar kring symtomatologin och behandlingen. 

Syftet med denna artikel är att på ett överskådligt sätt erbjuda uppdaterad kunskap om trigeminusneuralgi. Det vetenskapliga underlaget på området är otillräckligt för evidensbaserade slutsatser, men det råder i huvudsak konsensus bland experter [5, 6, 11-14].   

Diagnostik och utredning

Trigeminusneuralgi är en klinisk diagnos. Smärtan begränsas till trigeminusnervens innervationsområde. Smärtan kommer i plötsliga attacker, är blixtrande och varar vanligtvis bara några sekunder och sällan mer än 2 minuter. En refraktärperiod mellan attackerna är karakteristisk. Smärtan kan utlösas av lätt beröring av ansiktet eller vardagliga aktiviteter som att tala, tvätta ansiktet, borsta tänderna, tugga, raka sig eller sminka sig, av blåst och kyla samt av vibrationerna från att röra på sig. I uttalade fall undviker patienten att borsta tänderna och äta, med viktnedgång och dålig munhygien som följd. 

Perioderna med smärtattacker slutar vanligen lika plötsligt som de började och följs av en remissionsperiod som kan vara allt från någon vecka till flera månader eller år [1, 8, 9, 11]. Numera accepteras att vissa patienter har en kvarstående kontinuerlig ansiktssmärta mellan attackerna [1, 11]. 

Trigeminusneuralgi bör inte förväxlas med andra smärttillstånd i huvud och ansikte, t ex Hortons huvudvärk och temporalisarterit. Vissa ögonsjukdomar som optikusneurit och akut glaukom kan också ge intensiv smärta i ansiktet. Patienten söker ofta tandläkare, och det händer att tandingrepp utförs innan korrekt diagnos ställs. 

Andra kranialnervsneuralgier är mer sällsynta än trigeminusneuralgi, och smärtan är då förlagd till andra lokaler. Glossofaryngeusneuralgi ger smärta i svalget, och intermediusneuralgi ger smärta i hörselgången [1, 6, 8, 10, 11, 15, 16]. 

Ett neurologiskt status med noggrann undersökning av kranialnerverna är viktigt för att utesluta bakomliggande orsaker till smärtan. Vid klassisk trigeminusneuralgi accepteras att patienten har en lätt sensorisk påverkan i ansiktet, men vid mer omfattande statusfynd måste man misstänka andra patologier, t ex herpes zoster-infektion, trauma, multipel skleros (MS) eller tumörer. Tidigare användes benämningen symtomatisk eller sekundär trigeminusneuralgi vid tydliga bakomliggande orsaker till smärtan, men i den nya versionen av den internationella klassifikationen av huvudvärk (ICHD-III) [15] är benämningen smärtsam trigeminusneuropati. 

Vanligtvis skiljer sig anamnesen vid smärtsam trigeminusneuropati från klassisk trigeminusneuaralgi, och smärtan varierar i både kvalitet och intensitet beroende på bakomliggande orsak. Skador på trigeminusnervens grenar, t ex efter trauma som mindre operationer i ansiktet eller mindre tandingrepp, ger oftare kontinuerliga smärtor med dysestesi eller hyperestesi. Detta tillstånd kan utveckla sig till det som i ICHD-III benämns »persisterande idiopatisk ansiktssmärta« [15]. Här har smärtan ofta en mer diffus utbredning och är mer molande. Vid persisterande idiopatisk ansiktssmärta behöver det inte finnas någon tydlig utlösande faktor, neurologiska bortfall saknas och odontogen orsak har uteslutits. 

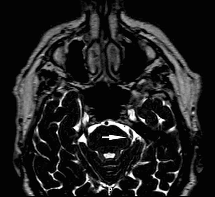
Om neurologiska statusfynd noteras, ska undersökning med MRT göras för att utreda om det finns en bakomliggande patologi. Även i fall utan statusfynd rekommenderas MRT-undersökning hos yngre patienter eller när man inte får ett prompt svar på farmakologisk behandling, eftersom man funnit bakomliggande patologi hos upp till 15 procent [5] av patienter utan andra symtom än smärta. MRT-undersökning är också viktig inför en diskussion om kirurgisk behandling, för att utröna huruvida något kärl trycker på nerven. För att se både nerv och kärl ska MRT-undersökningen omfatta en extremt T2-viktad sekvens (CISS [constructive interference in steady state] eller DRIVE [driven equilibrium) med tunna snitt över pons och mesencefalon. 

Farmakologisk behandling

Första linjens behandling är alltid farmakologisk [1, 5, 11]. Karbamazepin lanserades för 50 år sedan för behandling av trigeminusneuralgi och är egentligen det enda läkemedlet som i kontrollerade studier har visat dokumenterad effekt [12]. Placebokontrollerade studier gjordes på slutet av 1960-talet, varav två studier (med totalt 98 patienter) var randomiserade och dubbelblindade [12]. Från dessa studier har NNT (number needed to treat) beräknats till 1,7 för att få en signifikant smärtlindring [5]. 

Oxkarbazepin har i studier visat sig ha en smärtkontrollerande effekt jämförbar med effekten av karbamazepin [5, 12]. 

Karbamazepin har flera väl kända biverkningar, som ofta är lindriga, övergående och dosberoende. Man bör vara särskilt försiktig när man behandlar hjärt-, lever-, eller njursjuka patienter. Trigeminusneuralgi är vanligare hos äldre, hos vilka man kan behöva vara extra försiktig. En dosanpassning kan bli nödvändig, eftersom njurens elimination av karbamazepin minskar vid hög ålder. Av vikt – inte minst hos äldre – är att karbamazepin interagerar med många läkemedel, bl a warfarin. 

När läkemedelsbehandling påbörjas trappar man upp dosen gradvis för att minska risken för biverkningar, främst från CNS. Hos normalviktiga med bra njur- och leverfunktion rekommenderas en startdos av karbamazepin på 100–200 mg × 2 och av oxkarbazepin på 150–300 mg × 2. Dygnsdosen för båda dessa preparat kan ökas med ca 100 mg var tredje dag till dess man når effekt eller får oacceptabla biverkningar. När en lämplig underhållsdos har uppnåtts bör karbamazepin ges som depåtablett (vanligen 400–600 mg per dag). Ibland kan doser upp till 1 400 mg eller ännu högre behöva ges. Blodstatus, elektrolyter, lever- och njurfunktion ska kontrolleras före och under behandlingen. Vid remission i 3–6 månader bör man långsamt trappa ned och sätta ut behandlingen. 

Diagnosen bör bekräftas av en neurolog, särskilt vid atypisk bild eller otillräckligt behandlingssvar. Upprepade byten eller tillägg av läkemedel brukar sällan ge önskad effekt, och risken att utveckla en mer utbredd, svårbehandlad smärta ökar sannolikt med tiden. Därför ska patienter med otillräcklig eller utebliven effekt av förstahandsbehandling efter det att diagnosen bekräftats av neurolog erbjudas kontakt med neurokirurg [1, 5, 11, 13]. I väntan på detta och i de fall där kirurgi bedöms som olämplig, t ex på grund av dåligt allmäntillstånd, kan man pröva att lägga till tricykliskt antidepressivum eller byta till gabapentin [5, 6, 11-14). 

Baklofen och fenytoin är äldre andrahandsläkemedel med biverkningsproblem. Det finns mycket begränsade vetenskapliga belägg för att dessa preparat fungerar vid trigeminusneuralgi som monoterapi eller i kombination [5, 6, 11, 12, 14]. 

Kirurgisk behandling

I de senast publicerade riktlinjerna för handläggning av trigeminusneuralgi rekommenderas tidig kontakt med neurokirurg [1, 5] – tidig kirurgisk behandling ger bättre resultat än sen [17, 18], eftersom sjukdomen ofta progredierar och läkemedelsbehandlingens effekt försämras med tiden [8, 19, 20]. Majoriteten av de patienter som fått kirurgisk behandling önskar att den givits tidigare.

De kirurgiska behandlingsmetoderna indelas i destruerande och icke-destruerande. Den icke-destruerande kirurgin representeras av mikrovaskulär dekompression, som innebär att trigeminusnervens rot dekomprimeras från ett blodkärl som trycker på den vid inträdet till hjärnstammen i förekommande fall. Den destruerande kirurgin består av 

  • perkutana ingrepp där trigeminusgangliet (Gassers ganglion) nås genom foramen ovale och skadas partiellt genom ballongkompression, glycerolblockad eller termokoagulation
  • stereotaktisk strålbehandling (s k gammakniv), där nervroten skadas av joniserande strålning. 

Mikrovaskulär dekompression och de perkutana ingreppen ger smärtfrihet direkt efter behandlingen, men effekten av stereotaktisk strålbehandling kan dröja upp till 6 månader [21].  

Trots att de flesta kirurgiska metoderna har använts sedan flera decennier, ger den vetenskapliga litteraturen ingen tydlig hänvisning till vilken metod som är att föredra [13], men man är ense om att mikrovaskulär dekompression är den metod som ger störst sannolikhet till långsiktig smärtfrihet utan samtidigt känselbortfall i ansiktet [4, 5, 8, 11, 22-25]. Skälet till att vetenskapligt underlag saknas är att den information vi har kommer från operationsserier där enhetlighet saknas avseende utfallsmått och redovisning av komplikationer. Sammanfattningsvis kan man emellertid säga att resultaten visar att samtliga metoder är effektiva och säkra med låg mortalitet och liten risk för bestående komplikationer. 

Sammantaget blir 80–90 procent av patienterna smärtfria direkt efter behandlingen [1, 5, 13, 17, 26]. De skillnader som finns mellan metoderna är att effekten av mikrovaskulär dekompression kvarstår längre tid än med de andra metoderna och att stereotaktisk strålbehandling oftast ger fördröjd effekt med en mediantid till effekt på 2 veckor [5, 27]. Mikrovaskulär dekompression har en årlig återfallsfrekvens på 4 procent, vilken sjunker till 1–2 procent efter 6 år. De destruerande metoderna har en återfallsfrekvens på 50 procent efter 3–5 år. 

Komplikationer

Det finns mortalitet och komplikationer efter all typ av behandling av trigeminusneuralgi, även med läkemedel. Studier av registret Nationwide Inpatient Sample«, som innefattar 20 procent av alla inneliggande patienter från slumpmässigt utvalda sjukhus i USA, ger en övergripande bild av komplikationer och dess konsekvenser vid kirurgisk behandling av trigeminusneuralgi. Här ses en mortalitet på 0,22 procent efter mikrovaskulär dekompression, 0,42 procent efter perkutana ingrepp och 0,12 procent efter stereotaktisk strålbehandling [28]. Mikrovaskulär dekompression orsakade fler komplikationer än de andra metoderna, men de flesta av komplikationerna var lindriga och övergående. Man såg ingen signifikant skillnad mellan behandlingsmetoderna i hur stor andel av patienterna som krävde mer än förväntad vårdtid (mikrovaskulär dekompression 3,1 procent; perkutana tekniker 2,9 procent; stereotaktisk strålbehandling 2,8 procent [28]). 

I samma register sågs att patientvolymen per kirurg och sjukhus hade stor betydelse för risken för komplikation efter mikrovaskulär dekompression [29]. 

Val av metod

Patientens ålder har betydelse för valet av kirurgisk metod på många centra. I vissa studier har man visat ökad risk vid högre ålder [30], vilket emellertid ifrågasätts av andra som menar att det är samsjukligheten som är viktig, inte åldern i sig [28, 30]. Det har skett en förändring i vilken metod som föredrogs i USA från 1988 till 2008; mikrovaskulär dekompression blev betydligt vanligare samtidigt som perkutana ingrepp minskade. Stereotaktisk strålbehandling ökade i popularitet efter det att gammakniven hade introducerats i USA 1988, men efter 2004 har sådan behandling minskat drastiskt.

Inför valet av kirurgisk behandling bör man komma ihåg att en äldre patient kanske inte värderar nyttan av lång behandlingseffekt på samma sätt som en yngre patient och samtidigt kan ha liten acceptans för risken för komplikationer. Den rådgivande läkarens roll blir att pedagogiskt informera patienten om risker och nytta med olika behandlingar och lyhört hjälpa patienten att komma till beslut utifrån individens preferenser. Ibland är detta en komplicerad process, och man bör vara generös med att erbjuda patienten möjligheten att komma till en enhet där man behärskar hela arsenalen av behandlingsmöjligheter och där man har stor volym av patienter.

Potentiella bindningar eller jävsförhållanden: Inga uppgivna.

Konsensus

De flesta är ense om att

  • behandlingsriktlinjerna för trigeminusneuralgi i stor utsträckning baseras på expertutlåtanden, eftersom det vetenskapliga underlaget på området är otillräckligt för evidensbaserade slutsatser
  • MRT-undersökning av hjärna alltid ska göras vid neurologiska statusfynd
  • första linjens behandling är farmakologisk, och att förstahandspreparaten är karbamazepin och oxkarbazepin
  • patienter med otillräcklig eller utebliven effekt av första linjens behandling ska erbjudas kontakt med neurokirurg
  • mikrovaskulär dekompression är den kirurgiska behandling som oftast resulterar i långsiktig smärtfrihet. 

Åsikterna går isär vad gäller 

  • hos vilka patienter och när i sjukdomsförloppet det är aktuellt med MRT-undersökning.

Nervus trigeminus tre grenar, som svarar för ansiktets känsel.

Magnetresonanstomografi med extremt T2-viktad sekvens (DRIVE [driven equilibrium]). På patientens vänstra sida syns arteria cerebelli superior trycka mot trigeminus­nerven vid dess inträde i hjärnstammen (pil).

Operationsområdet sett genom operationsmikroskop. Arteria cerebelli superior (vit stjärna) komprimerar trigeminusnerven (svart stjärna) vid dess inträde i hjärnstammen. Artären delar sig i två grenar som hålls isär med hjälp av en mikrodissektor.

Jobb i fokus

Mer att läsa

Mer att läsa