Trots korrekt diagnostik av total hjärninfarkt avbröts organdonation
När det intrakraniella trycket (ICP) når upp till eller överstiger medelartärtrycket (MAP) upphör blodflödet till hjärnan, och det cerebrala perfusionstrycket (CPP) blir 0 eller negativt (CPP = MAP–ICP) [1]. Det är denna formel som ligger till grund för händelseförloppet som leder fram till total hjärninfarkt och till att en människa kan dödförklaras enligt direkta kriterier [2].
Det finns flera tillstånd som kan orsaka ett stigande ICP som leder fram till cerebral herniering och totalt upphävd cerebral cirkulation. I samband med att trycket i det slutna hålrum som kraniet utgör stiger får patienten ett flertal symtom. Ett sent symtom på högt ICP är kraftig blodtrycksstegring och bradykardi, den så kallade Cushing-reflexen [3, 4]. Denna uppträder när pons blir ischemisk och därmed ger upphov till både vagal och sympatisk stimulering. När ischemin fortskrider ner i medulla oblongata blir vasomotor- och vaguskärnorna ischemiska, vilket leder till ohämmad sympatikusaktivitet med blodtryck upp mot 200–300 mm Hg och takykardi. Nivån av cirkulerande katekolaminer under inklämningsprocessen stiger mycket kraftigt. Man talar om begrepp som autonom eller sympatisk storm som bland annat leder till en maximal vasokonstriktion [4]. När inte ens maximalt blodtryck kan ge ett adekvat CPP och ischemin består kommer neuronen i vasomotorcentrum att inaktiveras. Detta leder till ett markant blodtrycksfall, ibland ner mot 50 mm Hg systoliskt, då den sympatiska stimuleringen av kärltonus försvinner. Att respiratorbehandlade patienter som avlidit till följd av cerebral herniering ofta blir hypotona beror i huvudsak på sympatikusförlust, hypovolemi till följd av diabetes insipidus samt hjärtsvikt [4]. Inte sällan är potentiella donatore i behov av blodtryckshöjande medicinering (inotropi, vasopressorer, hormoner), utöver adekvat vätsketerapi, för att kroppens övriga vävnader ska hållas väl perfunderade. Det aktuella patientfallet beskriver en blodtrycksreaktion som föreföll sällsynt, eller rent av unik, och som ledde till tveksamhet kring huruvida diagnostiken av total hjärninfarkt enligt direkta kriterier var korrekt utförd och huruvida den är tillförlitlig i fall av okontrollerad hypertoni.
Fallbeskrivning
En 61-årig normalviktig kvinna med tiazidbehandlad hypertoni insjuknade i kraftig huvudvärk med yrsel och blev medvetslös. Vid ankomsten till primärsjukhuset konstaterades att hennes medvetandegrad var 3 enligt Reaction level scale (RLS), och datortomografi visade en subaraknoidal blödning, Fisher grad 4 (subaraknoidal blödning med ventrikelgenombrott eller parenkymal komponent) [5]. På grund av andningsuppehåll och sjunkande medvetandegrad genomfördes intubation innan patienten transporterades till neurokirurgiska kliniken. Efter ankomsten dit var patientens medvetandegrad RLS 8 och pupillerna små, symmetriska och reagerade på ljus. Angiografisk datortomografi visade ett cirka 3 mm stort främre kommunikantaneurysm och påspädning av den intraventrikulära blödningen, samt tecken på tilltagande hydrocefalus. En intraventrikulär tryckmätare anlades, som dränerade blodig likvor vid ICP överstigande den inställda tryckgränsen (cirka 25 mm Hg). Under kvällen steg medvetandegraden till RLS 4 och propofolsedering startades.
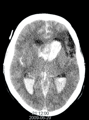
Nästa dag genomfördes framgångsrikt endovaskulär embolisering (coiling) av aneurysmet. I samband med behandlingen uppstod en embolisering till en större arteria cerebri media-gren, vilken inte kunde lösas med vare sig trombolys eller trombektomi. Under ingreppet fick patienten en 15 sekunders asystoli, som behandlades med atropin. Försämrad intrakraniell tryckmätarkurva med tecken på ett högre ICP föranledde förnyad datortomografi, vilken visade fortsatt progress av blödningen (Figur 1) och begynnande tecken på ischemi i området som motsvarade den trombotiserade mediagrenen. Beslut fattades att inte vidta ytterligare neurokirurgiska åtgärder. En förnyad medvetandekontroll visade RLS 8, och sederingen återinsattes inte. Under kvällen/natten dilaterades pupillerna maximalt, kroppstemperaturen sjönk och en Cushing-reflex följd av blodtryckssänkning noterades (Figur 2).
Under nästkommande förmiddag var CPP negativt och transkraniell dopplermätning (TCD) visade upphävt blodflöde i höger och vänster arteria cerebri media och i arteria basilaris. Inget av de kriterier som kräver cerebral angiografi uppfylldes [2], och första diagnostiken för bestämmande av döden enligt direkta kriterier var klar kl 11.05. Det förelåg inga oklarheter vid diagnostiken. Under apnétestet steg paCO2 från 5,7 till 9,1 kPa. Timmen efter första diagnostiken steg det systoliska blodtrycket från 84 mm Hg till 169 mm Hg (invasiv blodtrycksmätning). På grund av den oväntade blodtrycksstegringen genomfördes ytterligare en TCD-undersökning som fortfarande talade för upphävt cerebralt blodflöde både supra- och infratentoriellt.
Andra diagnostiken genomfördes cirka 3 timmar efter den första. Inte heller vid denna förelåg några oklarheter. Vid andra apnétestet steg koldioxidnivån från 5,5 till 10,5 kPa. Det systoliska blodtrycket var då 222 mm Hg. Blodtryck mätt med manschett vid samma tidpunkt var 218 mm Hg. Patienten dödförklarades enligt direkta kriterier kl 14.20. Anhöriga informerades om dödsfallet och lät meddela att de var positiva till organdonation, vilket också patienten varit, enligt Donationsregistret.
Sedvanliga förberedelser initierades. Under eftermiddagen och kvällen gjordes försök att sänka donatorns blodtryck med betablockad, nitroglycerin, natriumnitroprussid och fentanyl. Alla försök hade dock kortvarig, dålig eller helt utebliven effekt. Runt midnatt fördes donatorn till operation. Blodtrycket låg under operationsförberedelserna mellan 155/95 och 185/95 mm Hg med pågående betablockad och natriumnitroprussidinfusion. Blodtrycket upplevdes av operationsteamet som bekymmersamt, och som ett onormalt fenomen hos en donator.
Frågan väcktes huruvida donatorn verkligen var avliden, och man valde att låta donatorn återgå till neurointensivvårdavdelningen utan att uttagsoperationen påbörjats. Vätske- och blodtrycksbehandlingen avslutades och respiratorn ställdes in på luftandning. Under natten sjönk blodtrycket till en nivå kring 95 mm Hg systoliskt. På morgonen var de vitala parametrarna fortfarande stabila. Diures förelåg trots avslutad vätskebehandling. Optimeringen av organen återupptogs, och på 1 000 ml Ringer-acetat och 250 ml albumin 50g/l steg det systoliska blodtrycket till 162 mm Hg. Beslut fattades om cerebral angiografi.
Angiografin visade totalt upphävt cerebralt blodflöde vid två tillfällen, med 30 minuters mellanrum (Figur 3). Donation aktualiserades åter, och uttagsoperationen påbörjades inom 24 timmar efter den kliniska diagnostiken. Blodtrycket under uttagsoperationen låg (helt utan vasoaktiva läkemedel) kring 130/80 men maximalt på 215/125 mm Hg (Figur 4). Hjärtfrekvensen följde i stort sett blodtrycket under hela förloppet, från 60–80 slag/minut före hypertonin (35–50 under Cushing-reflexen) och från 90–145 slag/minut under hypertonin.
Diskussion
Att på ett intellektuellt men framför allt på ett känslomässigt plan ta till sig att en människa kan vara avliden trots att hjärtat fortfarande slår och huden är varm kan vara svårt inte bara för anhöriga, utan också för den vårdpersonal som är inblandad i händelserna kring en potentiell organdonator.
Efter att den nya lagen om hur en människas död ska definieras i Sverige trädde i kraft 1 januari 1988 [6] har sjukvården diagnostiserat och handlagt ett stort antal donationspatienter och skaffat sig en växande erfarenhet av hur dessa ter sig kliniskt och hur de ska hanteras. Enligt lagen räcker inte enbart den kliniska diagnostiken vid tillstånd som innefattar hypotermi eller intoxikation eller då orsaken till den misstänkta totala hjärninfarkten inte är klarlagd [2]. I dessa situationer ska den kliniska diagnostiken bekräftas med cerebral angiografi. En svensk fallbeskrivning från 2006 [8] beskriver ett fall med en potentiell donator med process i bakre skallgropen. Cirkulationen till hjärnstammen var upphävd enligt den första kliniska diagnostiken, men kvarvarande supratentoriell cerebral cirkulation sågs vid efterföljande angiografi. Rekommendationen blev att vid processer i bakre skallgropen bör cerebral angiografi alltid göras för att bekräfta den kliniska diagnostiken.
Hemodynamiska »avvikelser« i form av hypertoni och takykardirespons på smärtsam stimulering hos hjärndöda beskrevs första gången 1985 [9]. Man misstänkte då spinala reflexbågar mellan afferenta smärtstimuli och sympatikusmedierade efferenter men övervägde också en reflexbåge innefattande stimulering av binjuremärgen.
I en senare publicerad fallrapport mättes cirkulerande katekolaminer hos två organdonatorer i samband med kraftig hypertonirespons efter hudincision vid uttagsoperationerna [10]. I båda fallen var nivåerna förhöjda jämfört med referensvärdena; det ena fallet med mer än fyra gånger så hög noradrenalinkoncentration, mer än fyrtio gånger så hög adrenalinkoncentration och dubbelt så hög dopaminkoncentration som referensnivåerna. Båda dessa dödsfall var angiografiskt konfirmerade.
Även om litteraturen på området inte är omfattande så är hypertensiva reaktioner på smärtsam stimulering hos avlidna donatorer välbeskrivna. Det som utifrån sökningar i större databaser gör det beskrivna fallet unikt är det persisterande mycket höga blodtrycket under mer än 12 timmar utan uppenbar smärtsam stimulering. Endast kortvariga sänkningar av blodtrycket noterades under denna tidsperiod, och det skedde i samband med kraftig antihypertensiv medicinering. Det höga blodtrycket uppstod dessutom inte förrän cirka 12 timmar efter den noterade Cushing-reflexen och den autonoma stormen, närmare bestämt 55 minuter efter den första kliniska diagnostiken (som inte innefattade någon perifer smärtstimulering), och där TCD antydde upphörd infra- och supratentoriell cirkulation.
Den kliniska diagnostiken uppfyllde samtliga kriterier och innehöll inga oklarheter. Två läkare var närvarande vid båda diagnostiktillfällena, varav den ene är erfaren inom neurointensivvård och i klinisk diagnostik enligt direkta kriterier. Mot bakgrund av vad som förefaller vara en tidigare icke beskriven reaktion hos en donator får beslutet på operationssalen samma natt, att inte fortskrida med uttagning av organen när tvivel uppstått huruvida donatorn verkligen var avliden, anses som klokt. Hur man väljer att gå vidare efter det beslutet är kanske inte helt givet: Omgående cerebral angiografi, eventuell angiografi efter viss tidsbegränsad reflexion och diskussion kring fallet, direkt kontakt med ansvarig för hjärndödsdiagnostiken, successiv avveckling av intensivvårdsåtgärder eller omedelbar avstängning av respiratorn är några tänkbara alternativ.
I detta fall valde man att trappa ner intensivvårdsåtgärderna, inklusive vätsketillförseln, vilket fick det intressanta förlopp som beskrivits där blodtrycket under ett antal timmar sakta normaliserades ner till för en avliden donator normala nivåer utan vasoaktiva läkemedel. När processen återupptogs följande morgon, med ökade syrgaskoncentrationer i respiratorn och återinsatt vätskebehandling, steg blodtrycket prompt igen. Det steg dock inte till tidigare extrema nivåer, men till höga nivåer utifrån vad som förväntas hos en avliden donator.
Den cerebrala angiografi som senare genomfördes (cirka 20 timmar efter den kliniska diagnostiken) var konklusiv. Etiologin till den observerade hemodynamiska responsen är okänd. Möjligheten av ett bakomliggande oupptäckt feokromocytom diskuterades, men vid uttagsoperationen var binjurarna utan suspekta fynd, och ingen av de båda patienter som transplanterades med en njure från donatorn har haft några oväntade bekymmer med sina transplantat. Fyra patienter transplanterades direkt med organ från donatorn, och vävnad tillvaratogs för senare transplantationer. Samtliga kända mottagare mår väl i skrivande stund.
Vår slutsats av denna fallbeskrivning är att hos en patient med stor supratentoriell blödning och ett kliniskt förlopp som tyder på inklämning är diagnostik av total hjärninfarkt enligt direkta kriterier pålitlig även om kraftig hypertoni föreligger. I detta fall blev upphörd cerebral cirkulation ytterligare styrkt av transkraniella dopplerundersökningar och det faktum att det cerebrala perfusionstrycket var 0. När även erfaren transplantationspersonal kan vilseledas av avvikande beteende hos donatorn bör minsta tveksamhet kring den kliniska diagnostiken medföra att man gör en cerebral angiografi, för att en fördröjning med risk för organen ska undvikas.
*
Potentiella bindningar eller jävsförhållanden: Inga uppgivna.



